Autora: Eurithmia Manjarrez Fuentes
Tutora: Dra. Rosina Arbucci
Directora de la tesis: Dra. Marta Kura
Resumen
En los últimos años, la detección de tumoraciones renales ha aumentado debido al incremento en pruebas radiológicas. La tomografía computarizada (TC) ha resultado fundamental para diferenciar entre masas quísticas no quirúrgicas y quirúrgicas, consolidando su importancia en el manejo de estas lesiones. Este estudio tuvo como objetivo evaluar el rol de la TC y su impacto en la clasificación Bosniak para la identificación y estadificación de lesiones quísticas renales (LQR) en pacientes atendidos en el Centro de Diagnóstico Bioimágenes entre 2022 y 2023.
La clasificación Bosniak, desarrollada en 1986 y basada en hallazgos de TC, ha facilitado el consenso en el manejo terapéutico de los pacientes según la categoría de sus quistes renales. En esta investigación se realizó un análisis retrospectivo de pacientes diagnosticados con quistes renales en el centro Bioimágenes entre mayo de 2022 y marzo de 2023, utilizando la última actualización de Bosniak (v2019) para una detección temprana y un adecuado tratamiento.
Los resultados muestran que el 90% de las LQR se clasifican en Bosniak I y II, siendo el 80% halladas incidentalmente mediante TC. Un 10% correspondió a quistes Bosniak IIF, III y IV. El grupo etario más afectado fue el de 60 a 75 años, representando el 80% de los casos. La incidencia aumenta con la edad, y las LQR pueden estar asociadas a factores genéticos y no genéticos o a diversas enfermedades.
La TC permite un diagnóstico preciso de LQR, siendo clave para determinar si requieren cirugía o solo seguimiento. Además, contribuye en la planificación prequirúrgica y en la evaluación de la respuesta al tratamiento, reafirmando su papel esencial en el manejo de estas lesiones.
Palabras clave: quiste renal, quiste renal complejo, cáncer de riñón, tomografía computada, clasificación de Bosniak.
Introducción
La tomografía con contraste endovenoso es una técnica con alto rendimiento para evaluar lesiones quísticas renales, permitiendo diferir una práctica invasiva cuando es posible llevar un adecuado control evolutivo del paciente. Las lesiones quísticas renales en nuestra comunidad son lesiones muy comunes, incidentales y asintomáticas en la mayoría de los casos; su detección va cada día en aumento gracias a las imágenes proporcionadas por métodos de diagnóstico no invasivos.
En Argentina, más del 4% de la población adulta tiene quistes renales simples, que son fáciles de diagnosticar. Estos quistes se caracterizan por tener contenido uniforme y paredes delgadas, y no muestran calcificaciones, ni partes sólidas o cambios con el uso de contraste en una tomografía. Por otro lado, los carcinomas quísticos, que son un tipo de tumor, también son fáciles de identificar porque tienen paredes gruesas, con nódulos o partes sólidas que se destacan con el contraste.
Sin embargo, existen quistes que no cumplen con las características de los quistes simples ni de los carcinomas. Por esta razón, la clasificación más útil para evaluar las lesiones quísticas renales continúa siendo la de Bosniak. Fue desarrollada por Morton Bosniak en 1986 con el objetivo de estandarizar los hallazgos y las opciones terapéuticas de las lesiones quísticas renales, fundamentalmente orientada a las complejas, lo cual permite analizar los hallazgos de cada categoría para así lograr diferenciar lesiones complicadas pero benignas de aquellas malignas que deben ser extirpadas. Las LQR se caracterizan y se diferencian según sus características imagenológicas en la TC teniendo en cuenta el grado de captación del material de contraste y la presencia de calcificaciones, septaciones, tamaño y material sólido en su interior.
Este trabajo busca destacar cómo las lesiones quísticas renales son un hallazgo común en la práctica médica diaria, presentando distintos comportamientos según su morfología y apariencia en estudios de imagen, y señalar la importancia que tiene la clasificación de Bosniak para estratificar dichas lesiones según la probabilidad de malignidad sobre la base de sus características imagenológicas en la tomografía computada (TC).
La TC se convirtió en un método diagnóstico de vital importancia para definir una conducta terapéutica en LQR, permitiendo diferir una práctica invasiva cuando es posible llevar un adecuado control evolutivo del paciente con lesiones complejas. Por tal motivo, mediante este estudio se quiere resaltar la utilidad de la clasificación de Bosniak en la identificación y categorización de las lesiones quísticas renales en los diferentes hallazgos tomográficos.
El objetivo de este trabajo es evaluar la clasificación de Bosniak para diferenciar los quistes renales complejos de los simples aparecidos en el Centro Diagnóstico por Imágenes Bioimágenes entre mayo de 2022 y marzo de 2023 y proponer una guía de manejo según cada categoría.
Diagnóstico
El presente estudio analiza la incidencia de quistes renales, que en su mayoría son asintomáticos y se detectan de forma incidental en estudios por imagen. No obstante, en el Centro de Diagnóstico por Imágenes Bioimágenes, un 90% de los pacientes con quistes renales presentan síntomas como dolor en el flanco o abdomen, hematuria o infecciones urinarias recurrentes. Cuando la sintomatología o el tamaño del quiste sugieren malignidad, se recomienda una evaluación exhaustiva mediante tomografía computada (TC) con contraste yodado, herramienta esencial en el diagnóstico de estas lesiones.
La TC con contraste permite una caracterización detallada de los quistes renales, evaluando sus características internas y el grosor de sus paredes, lo que facilita la distinción entre quistes simples y complejos. Esto resulta fundamental para clasificar las lesiones según su riesgo de malignidad.
Este trabajo tiene como objetivo resaltar la importancia de la clasificación de Bosniak y su evaluación mediante TC con contraste yodado, lo que permite al equipo médico de Bioimágenes diferenciar quistes benignos de aquellos que requieren tratamiento o seguimiento, optimizando así el manejo de los pacientes.
Además de subrayar la relevancia del sistema Bosniak, este estudio busca describir las características distintivas de cada categoría, proporcionando una guía clara sobre el estado y riesgo de malignidad de los quistes renales.
Objetivos
Objetivo general
Identificar y establecer la importancia de la clasificación Bosniak y sus categorías en el manejo y diferenciación de lesiones quísticas renales complicadas benignas de malignas, sobre la base de resultados imagenológicos.
Objetivos particulares
- Reconocer las características tomográficas representativas de cada categoría de la clasificación Bosniak para lesiones quísticas renales.
- Determinar el rol de la tomografía en la detección y caracterización de las lesiones renales mediante la clasificación de Bosniak.
- Enumerar las categorías del Bosniak y la conducta asociada a cada una.
- Conocer la incidencia de las lesiones quísticas renales benignas y malignas en pacientes de entre 40 y 75 años que acudieron al Centro de Diagnóstico Bioimágenes.
Marco teórico y antecedentes
Las lesiones quísticas renales (LQR) son estructuras encapsuladas llenas de líquido que se desarrollan en los riñones y representan hallazgos comunes en los estudios radiológicos de pacientes adultos, en especial en personas mayores. La mayoría de las LQR son quistes simples, benignos y clínicamente asintomáticos, descubiertos de manera incidental en estudios de imagen realizados por otras razones. Sin embargo, algunas lesiones quísticas presentan características complejas y un potencial de malignidad, lo que hace fundamental una correcta clasificación para determinar el manejo y tratamiento adecuados de cada caso.(1, 2)
La clasificación de Bosniak, propuesta por primera vez en 1986 y actualizada con posterioridad, es el sistema estándar utilizado para categorizar las LQR según su apariencia en tomografía computarizada (TC). Esta clasificación estratifica las lesiones en cinco categorías (Bosniak I, II, IIF, III y IV), de acuerdo con características específicas, como el grosor de la pared, la presencia de septos, calcificaciones, realce tras el uso de contraste y el grado de complejidad de la estructura interna. Bosniak I y II se consideran categorías benignas que no requieren tratamiento ni seguimiento, mientras que Bosniak IIF, III y IV representan lesiones más complejas y con mayor riesgo de malignidad, lo que conlleva la necesidad de un seguimiento más riguroso o intervención quirúrgica en casos de sospecha de cáncer.(3, 4)
La TC es la modalidad de imagen preferida para la clasificación de Bosniak, debido a su alta precisión en la evaluación de las características estructurales y funcionales de las LQR. Aunque otras técnicas, como la ecografía y la resonancia magnética (RM), también se utilizan para evaluar estas lesiones, la TC proporciona una mejor resolución espacial y permite una mejor discriminación entre quistes benignos y lesiones malignas. Estudios han mostrado que el uso de la clasificación de Bosniak permite optimizar el manejo clínico de los pacientes con LQR, evitando tratamientos innecesarios en lesiones benignas y priorizando la intervención en aquellos casos con sospecha de malignidad.(5)
Epidemiología
Las enfermedades renales poliquísticas (ERP), afectan a nivel mundial a alrededor de doce millones de personas. Presentan variaciones en cuanto a su epidemiología, que dependen de condiciones étnicas, geográficas. También se ha logrado evidenciar que se presentan con mayor frecuencia en hombres que en mujeres. Tienen una prevalencia estimada entre 1/1.000 y 1/2.500 personas.
En Estados Unidos la prevalencia se encuentra entre 1/400 y 1/1.000 nacidos vivos. En este país se estima que alrededor de 600.000 personas presentan esta condición. Anualmente, en Estados Unidos se estima la necesidad de trasplante renal secundario a esta patología en 2.144 casos. En Japón se ha establecido que alrededor de 100.000 personas presentan esta patología. En la Unión Europea, se ha logrado realizar la caracterización epidemiológica con una prevalencia estimada de 2,4 a 3,9 casos por 10.000 habitantes.
Es importante resaltar que existe variación entre los datos registrados mediante estudios epidemiológicos y los obtenidos mediante reporte de biopsias, en los que tiende a ser mayor.
En la Argentina la prevalencia estimada con información obtenida del SIVER/INC sobre la base de los datos de Globocan2020(6) Argentina, 2021, fue que el 3,9% (Anexo 1) de los pacientes con enfermedad renal crónica y hallazgos de tumores renales los que se asociaron a enfermedad renal poliquística, correspondiente a 5.093 pacientes en la encuesta. El impacto real es importante, sobre todo se evidencia la prevalencia de esta enfermedad en personas del sexo masculino, correspondientes a 3.370 pacientes, y en pacientes de sexo femenino corresponden a 1.723. Esto se debe a que muchos pacientes, a pesar de tener alguna patología renal y ser asintomáticos, pasan muchos años sin intervenciones terapéuticas y de esta manera contribuyen al deterioro severo en la función renal, llegando a la insuficiencia, generando una carga mórbida relevante.
Dado el alto impacto de la progresión de la enfermedad renal poliquística hacia la necesidad de terapia renal sustitutiva, así como la carga que esta condición general, sumado a la escasa información sobre su caracterización epidemiológica en Argentina, tiene impacto clínico y de salud pública. La ERC con terapia de reemplazo se llega a detectar en cerca del 50% de las personas que presentan esta patología a los 60 años. La situación de la enfermedad renal crónica en Argentina es compleja, con una prevalencia de 1,7% y una incidencia de 3,05 casos nuevos por 1.000 habitantes, aclarando que hay un importante subregistro.(6)
Factores de riesgo asociados a quistes renales
Los quistes renales son comunes y su prevalencia aumenta con la edad. Diversos factores de riesgo han sido identificados en la literatura médica para el desarrollo de quistes renales:
- Edad. La prevalencia de quistes renales aumenta significativamente con la edad. Estudios han mostrado que la prevalencia puede ir desde un 14% en personas jóvenes hasta un 55% en personas mayores de 70 años.(7)
- Sexo masculino. Los hombres tienen una mayor prevalencia de quistes renales en comparación con las mujeres. En un estudio se encontró que el 34% de los hombres presentaban quistes renales, frente al 21% de las mujeres.
- Hipertensión. Existe una asociación significativa entre la hipertensión y la presencia de quistes renales. La hipertensión puede ser tanto un factor de riesgo como una consecuencia de los quistes renales.
- Disfunción renal. Niveles elevados de creatinina sérica y una función renal deteriorada se han asociado con una mayor prevalencia de quistes renales.
- Tabaquismo. Tanto el tabaquismo actual como el pasado se han asociado con un mayor riesgo de desarrollar quistes renales.
- Diabetes mellitus. Aunque no siempre se encuentra en todos los modelos multivariados, la diabetes ha sido identificada como un factor de riesgo en algunos estudios.
Estos factores de riesgo sugieren que los quistes renales pueden ser un marcador de otras condiciones subyacentes, como la hipertensión y la disfunción renal, y su prevalencia y características pueden variar según el perfil demográfico y clínico del paciente.(7)
Historia de la clasificación Bosniak
El sistema de clasificación de Bosniak, introducido por primera vez en 1986, se utiliza en la práctica clínica para la estratificación del riesgo de masas renales quísticas (MRC) y la comunicación de dicho riesgo entre radiólogos y médicos referentes.(8, 10) El sistema estratifica las MRC según la probabilidad de malignidad, clasificando las lesiones en una de cinco categorías (I, II, IIF, III y IV) sobre la base de las características de la TC. La categoría asignada juega un papel importante en la orientación del manejo clínico.(11) Generalmente, las MRC de clase I y II de Bosniak no requieren seguimiento, las MRC de clase IIF justifican un seguimiento mediante imágenes y las MRC de clase III y IV justifican una resección quirúrgica.
Hasta hace poco, la actualización más reciente del sistema de clasificación de Bosniak era la versión 2005.(9) A pesar de su uso clínico generalizado, los estudios han sugerido limitaciones de la versión 2005. Específicamente, se ha encontrado que la versión 2005 tiene una alta variabilidad entre lectores y conduce a una alta frecuencia de resección de CRM benignos.(10, 11) Por ejemplo, cuando se utiliza la versión 2005, la concordancia absoluta entre lectores en la clasificación de CRM de clase II, IIF y III varía del 6% al 75%,(11) y aproximadamente la mitad de los CRM de clase III son benignos(11, 12) a pesar de que la resección quirúrgica es la estrategia recomendada para tales lesiones.(10) Estos problemas han llevado a desafíos en la identificación consistente y precisa de CRM que justifican cirugía utilizando el sistema de clasificación de Bosniak. Una limitación adicional de la versión 2005 es que se basa únicamente en los hallazgos de la TC y no proporciona criterios para la RMN.
Para abordar estas deficiencias, en 2019 se propuso un sistema de clasificación Bosniak revisado. Los principales objetivos de la versión 2019 son mejorar la concordancia entre lectores a través de definiciones más claras de los descriptores del sistema y mejorar la especificidad para predecir la malignidad, reduciendo así la cirugía innecesaria.(10) En consecuencia, la versión 2019 define de forma más explícita los términos que describen el realce, el número de septos y el grosor de la pared o los septos, todos los cuales carecían de definiciones precisas en la versión 2005. Además, la versión 2019 incorpora formalmente los criterios de MRI. Hasta la fecha, solo un pequeño número de estudios(13) han investigado la versión 2019, de los cuales un número limitado ha evaluado su rendimiento diagnóstico tanto para la TC como para la MRI o su concordancia de intermodalidad entre la TC y la MRI.(14, 15)
Técnicas diagnósticas
Existen tres técnicas posibles de estudio para la caracterización de las masas renales:(16)
Ecografía: es la primera técnica diagnóstica que se suele realizar debido a su gran accesibilidad, el bajo coste, la ausencia de radiaciones ionizantes y el amplio grado de caracterización.
TC: es la técnica de elección para la caracterización de las lesiones renales. El protocolo para el estudio de lesiones renales constará de:
- Estudio basal sin contraste IV: es imprescindible para la valoración del realce en fases posteriores. Asimismo, permite caracterizar las lesiones grasas y la presencia de calcificación.
- Fase córtico-medular: a los 25-70 segundos de la administración del contraste. Es especialmente útil para las lesiones hipervasculares (carcinoma de células claras y metástasis).
- Fase nefrográfica o parenquimatosa: a los 80-120 segundos. Es la fase más eficaz en el estudio de masas renales de menor tamaño.
- Fase excretora (opcional): a partir de los 180 segundos. Útil en sospecha de invasión del aparato excretor y para la planificación quirúrgica en cirugías conservadoras.
RM: Estará indicada fundamentalmente en pacientes embarazadas, alergia a contraste yodado o cuando la TC no es concluyente. Un ejemplo de protocolo podría ser:
- T2 coronal o sagital como localizador.
- T2 eco de espín rápido axial.
- T1 axial gradiente de eco en fase y fase opuesta.
- T1 gradiente de eco fatsat sin contraste IV y dinámico, con fase basal, córtico-medular y nefrográfica.
- Difusión.
En la TC se considerará realce, un incremento de las UH de al menos 20 UH. Sin embargo, es importante tener en cuenta que en lesiones de pequeño tamaño puede existir un artefacto por pseudo realce causado por el endurecimiento del haz de rayos X.(16)
TC o RMN: ventajas y desventajas
La TC con contraste es la modalidad de elección para evaluar masas renales quísticas. El grosor estrecho del detector (<1 mm) y la administración intravenosa de agente de contraste son obligatorios para detectar tabiques delgados y nódulos pequeños que realzan. Además, la demostración de áreas realzadas ayuda a diferenciar los componentes sólidos de la hemorragia o los desechos. La RMN se utiliza cuando la TC está contraindicada (p. ej., pacientes con alergia al agente de contraste yodado) o como una modalidad de resolución de problemas para hallazgos equívocos. De hecho, la RMN puede mostrar algunos tabiques que son menos evidentes en la TC y demostrar un realce definitivo en aquellos quistes que solo muestran un realce equívoco en la TC. Como consecuencia, los quistes renales pueden colocarse en una categoría Bosniak más alta con RMN que con TC.(5)
Clasificación Bosniak 2019
La actualización de la clasificación de Bosniak en 2019 introdujo cambios significativos en la evaluación de masas renales quísticas, con el objetivo de mejorar la especificidad y reducir el sobretratamiento. La versión 2019 de la clasificación de Bosniak mostró una mayor especificidad en comparación con la versión 2005, aunque a costa de una menor sensibilidad.(17) En concreto, utilizando tomografía computarizada (TC), la especificidad fue del 73,3% y 70,0% para los lectores 1 y 2, respectivamente, con la versión 2019, en comparación con el 50,0% y 56,7% con la versión 2005. Sin embargo, la sensibilidad disminuyó de 85,1-87,8% con la versión 2005 a 75,7% con la versión 2019.(17)
Se destaca de igual manera que la versión 2019 de la clasificación de Bosniak mejoró la especificidad, lo que podría ayudar a reducir el tratamiento innecesario de masas renales quísticas, pero esto se logró a expensas de una disminución significativa en la sensibilidad.(18) Estos cambios reflejan un enfoque más conservador en la gestión de las masas quísticas, permitiendo una mayor recomendación de vigilancia por imagen en lugar de intervenciones quirúrgicas inmediatas.
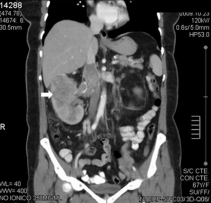
La lesiones quísticas renales simples son las más frecuentes. No obstante, una lesión quística puede complicarse por infección o hemorragia (Anexo 2) y mostrar manifestaciones radiológicas complejas que hacen necesario un diagnóstico diferencial y protocolos diagnósticos de imagen complementarios al inicial.
Bosniak efectuó una clasificación de las lesiones quísticas renales por categorías, hallazgos y tipos de control o seguimiento de tales lesiones.(19)
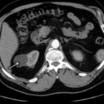
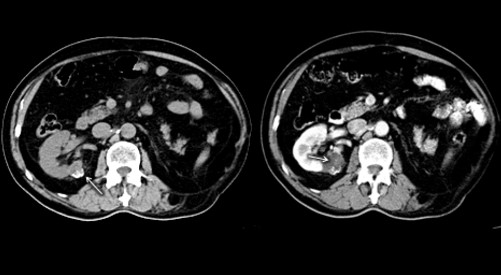
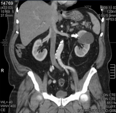
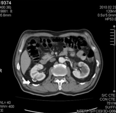
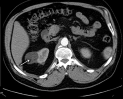
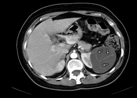
La Categoría I define la lesión como densidad agua (0-20 UH), sin septos o calcificaciones, ausencia de polos sólidos y sin realce a la administración de medio de contraste yodado IV.(19, 20) Su clasificación sería de quiste simple benigno y no requeriría ningún tipo de evaluación posterior. Son lesiones asintomáticas que rara vez requieren tratamiento. No es necesario realizar controles posteriores (Anexos 3 y 4).
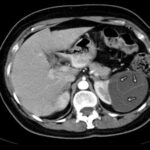
La Categoría II define una lesión con septos finos lisos (< 1mm), calcificaciones lineales continuas o discontinuas o lesiones densas homogéneas en la pared o tabique pero que no experimentan realce a la administración de medios de contraste yodado IV en TC o paramagnéticos en RMI. Su clasificación es de lesión benigna (proteáceos, hemorrágicos, infecciosos).(19, 20) Estos quistes son hiperdensos (40-90 UH < 3cm), mínimamente complicados y no precisan cirugía, deben ser controlados (Anexos 5 y 6).
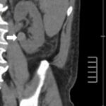
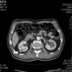
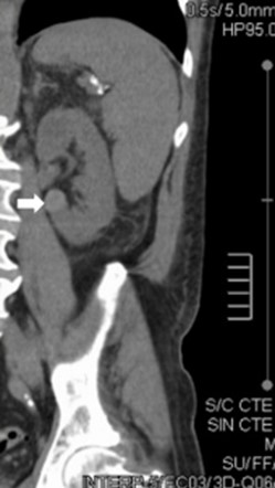
La Categoría IIF exhibe múltiples septos finos en su interior, realce evidente en paredes o septos, mínimo grado de engrosamiento de la pared, calcificación grosera o nodular, lesiones intra renales densas sin realce o con realce de septos o pared, siendo este realce no medible en las lesiones descubiertas con incremento de la densidad radiológica cuando se comparan las imágenes sin y con contraste yodado IV. Se consideran masas quísticas moderadamente complicadas y precisan seguimiento con controles cada seis meses.(19, 20) No requieren tratamiento quirúrgico inmediato y el riesgo de evolucionar a quistes malignos es del 5%, quistes con aspecto hiperdenso > 3 cm (Anexos 7 y 8).
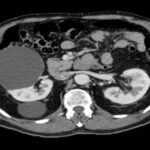
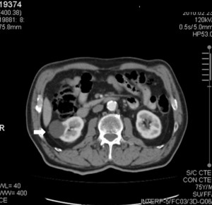
La Categoría III muestra engrosamientos lisos o irregulares de la pared o de los septos intra quísticos y existencia de realce medible en TC y RMI. Se consideran masas indeterminadas y precisan de primera instancia cirugía, nefrectomía parcial o ablación por radiofrecuencia, salvo contraindicaciones clínicas.(19, 21) Aproximadamente el 40%-60% son lesiones malignas (carcinomas renal quístico), siendo el restante benignas, que incluyen quistes hemorrágicos, infectados crónicos o calcificaciones parietales, nefrona quístico multiloculado, quistes multilobulados, quistes con tabiques complejos, etc. (Anexos 9 y 10).
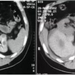
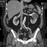
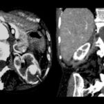
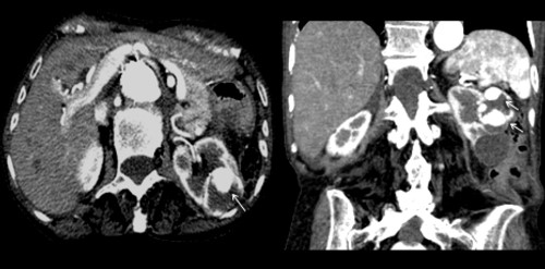
La Categoría IV presenta captación de un componente sólido intra quístico, muestra realces nodulares fuera de la pared y de los septos interpuestos en el área quística compleja, calcificaciones gruesas, vascularizadas con un importante realce con contraste yodado IV. En realidad, son lesiones malignas con componente quístico. Se trata de neoplasias quísticas, y precisan cirugía y estadificación.(19, 21) (Anexos 11 y 12).
Radiología de las lesiones atípicas
Cuando estamos frente a una lesión quística que presenta alguno de los siguientes hallazgos:
- Densidad superior a 20 UH.
- Calcificación.
- Presencia de septos.
- Múltiples locus quísticos.
- Engrosamiento parietal.
- Nodularidad o realce al contraste yodado intravenosa o paramagnético en RMI.
Se debe de hablar de masa quística y puede corresponderse con algunas de las formas del carcinoma de células renales, por lo que se debe hacer un diagnóstico diferencial entre quiste complicado y el carcinoma quístico de células renales.(19)
La formaciones quísticas que responden a las categorías I, II y IV son fáciles de diagnosticar y de determinar su protocolo de actuación, pero en las categorías IIF y III, moderadamente complicadas o indeterminadas y que requieren cirugía en la mayoría de las ocasiones, es difícil de establecer una decisión en primera instancia; precisan de un protocolo de diagnóstico por imagen y toma de muestras histológicas por biopsia con frecuencia. El diagnóstico diferencial es relevante.
La clasificación de Bosniak, aunque se estableció sobre la base de los hallazgos en TC sin y con medio de contraste, debe hacerse extensiva a los parámetros que analiza la ultrasonografía y la RMI sin y con medio de contraste paramagnético. La RMI suele precisar mejor los septos, el engrosamiento y las características parietales que la TC, y en casos complejos se debe recurrir siempre a esta técnica de imagen para la mayor precisión en la categorización de las masas quísticas según la clasificación de Bosniak.
Los quistes pequeños y no complejos suelen ser asintomáticos.(19) Los de gran volumetría pueden provocar sensación de presión, episodios de hematuria, policitemia y ectasia de vías excretoras, y deben ser punzados, esclerosados o intervenidos por vía laparoscópica.
Los quistes renales complicados incluyen a los quistes hemorrágicos, quistes infectados y quistes con calcificación parietal. La hemorragia se presenta en un 6% de todos los quistes renales. En pacientes con riñones poliquísticos se observa la hemorragia en un 68%. La hemorragia aguda provoca un incremento homogéneo de la densidad (40-90 UH) y disminuye a lo largo de los días. Estos cambios de densidad no se afectan por el medio de contraste yodado IV. La sangre en el interior del quiste puede provocar una reacción inflamatoria en la pared y desarrollar un tejido de granulación vascular que puede mostrar realce al medio de contraste, engrosar la pared del quiste y causar, finalmente, su calcificación. El incremento de densidad en el quiste también puede deberse a un alto contenido en proteínas y a quistes con leche cálcica.
La RMI diferencia estas formaciones hemorrágicas de tumor. La aspiración del material del quiste y su análisis citológico y bioquímico es fundamental. Contenidos en sangre coagulada, alta concentración de proteínas y LDH, citología positiva e irregularidades en la pared de la formación quística son indicativos de tumor.(19)
Alrededor del 3% de las formaciones quísticas tienen calcificación parietal, habitualmente en forma de cáscara de huevo. Se observan en combinación con incrementos homogéneos del grosor parietal. La mayor parte de estos hallazgos se corresponden con los cambios que un quiste simple experimenta por sangrado o infección previa. En un 20% las calcificaciones parietales pueden expresar una transformación maligna. Los quistes calcificados benignos tienen una membrana externa calcificada y no se acompañan de realces al medio de contraste yodado IV. (19-21)
Eficiencia de la TC y la clasificación Bosniak en la caracterización de la LQR
La tomografía computarizada (TC) es una herramienta fundamental en la clasificación de quistes renales utilizando el sistema de Bosniak, en especial en la evaluación de masas renales quísticas complejas. La TC permite una evaluación detallada de las características internas de los quistes, como la presencia de septos, nódulos, y el realce de las paredes, que son cruciales para determinar la probabilidad de malignidad según la clasificación de Bosniak.
La literatura médica destaca que la TC es altamente precisa para la clasificación de masas renales quísticas, con una capacidad significativa para diferenciar entre lesiones benignas y malignas. Un metaanálisis sistemático encontró que la clasificación de Bosniak mediante TC es una herramienta precisa para estratificar el riesgo de malignidad en lesiones quísticas renales, con tasas de malignidad que aumentan con la complejidad de la masa.(22) Además, la TC es considerada el estándar de oro para la clasificación de Bosniak, debido a su capacidad para proporcionar imágenes detalladas que permiten una categorización precisa de las masas.(23)
Estudios han demostrado que la TC tiene una alta sensibilidad y especificidad en la clasificación de masas renales quísticas, aunque la especificidad puede ser moderada en algunas categorías.(22) La TC también permite la medición de diferencias de realce en fases específicas, lo que puede mejorar la precisión diagnóstica al diferenciar el carcinoma de células renales de quistes benignos.(24)
En comparación con otras modalidades de imagen, como la resonancia magnética (RM) y la ecografía con contraste, la TC sigue siendo una herramienta confiable y ampliamente utilizada, aunque la RM puede ofrecer ventajas en ciertos casos debido a su capacidad para caracterizar mejor algunas características internas de los quistes.(23, 25) Sin embargo, la TC sigue siendo preferida en muchos contextos clínicos debido a su disponibilidad y eficacia comprobada en la clasificación de Bosniak.
Diagnóstico diferencial
El diagnóstico diferencial de los quistes renales es amplio y abarca tanto enfermedades hereditarias como adquiridas, así como neoplasias y condiciones infecciosas. A continuación, se presenta una descripción detallada basada en la literatura médica relevante:
1. Enfermedades hereditarias:
- Enfermedad renal poliquística autosómica dominante (ADPKD): caracterizada por múltiples quistes bilaterales y una historia familiar positiva. Puede asociarse con aneurismas intracraneales y quistes hepáticos.(26-28)
- Enfermedad renal poliquística autosómica recesiva (ARPKD): generalmente se presenta en la infancia con quistes renales y fibrosis hepática congénita.(26, 28, 29)
- Nefronoptisis (NPH): enfermedad idiopática que se presenta con quistes córtico medulares y progresión a insuficiencia renal en la infancia o adolescencia.(26, 29, 30)
- Síndrome de Von Hippel-Lindau (VHL): asociado con quistes renales, hemangioblastomas del sistema nervioso central y feocromocitomas.(26, 28, 30)
- Esclerosis tuberosa (TSC): caracterizada por quistes renales, angiomiolipomas y manifestaciones extrarrenales como tumores cerebrales y facomatosis.(26, 28, 30)
2. Enfermedades adquiridas:
- Enfermedad renal quística adquirida (ACKD): común en pacientes con enfermedad renal crónica en diálisis, caracterizada por múltiples quistes renales. (26, 28, 31)
- Nefropatía inducida por litio: puede presentar quistes renales como parte de la toxicidad renal crónica.(31)
3. Neoplasias quísticas:
- Carcinoma de células renales quístico: puede presentarse como una masa quística compleja y requiere diferenciación de otras lesiones quísticas benignas.(31, 32)
- Nefroma quístico/multilocular: lesión benigna que puede confundirse con neoplasias malignas debido a su apariencia quística.(26, 31, 32)
4. Enfermedades infecciosas:
- Absceso renal: puede presentarse como una masa quística con paredes gruesas y contenido purulento, a menudo asociado con síntomas sistémicos de infección.(31)
5. Otras condiciones:
- Enfermedad quística medular: incluye la enfermedad de la esponja medular, caracterizada por quistes en los túbulos colectores medulares.(28)
- Displasia renal multiquística (MCDK): generalmente unilateral, se presenta en la infancia con múltiples quistes de diferentes tamaños.(26, 29)
La evaluación de los quistes renales debe incluir una historia clínica detallada, estudios de imagen como la tomografía computarizada (TC) y la resonancia magnética (RM), y en algunos casos, pruebas genéticas para identificar enfermedades hereditarias.(26-32)
Medios de contraste
El uso de medios de contraste yodados es fundamental para la evaluación de quistes renales según la clasificación de Bosniak. Esta clasificación se utiliza para determinar la probabilidad de malignidad de los quistes renales, y se tiene en cuenta de manera fundamental la presencia de características como nódulos, paredes o septos horribles que realzan. La tomografía computarizada (TC) sin y con contraste intravenoso es generalmente necesaria.(33)
El contraste yodado permite una mejor visualización de las estructuras internas del quiste, lo que es crucial para identificar características, Por ejemplo, en la clasificación de Bosniak, los quistes de categoría I son simples y no requieren seguimiento, mientras que los de categoría IV tienen un alto riesgo de malignidad y suelen requerir intervención quirúrgica. Las categorías intermedias (IIF y III) tienen riesgos variables de malignidad. Además, el ultrasonido con contraste (CEUS) también se ha utilizado para evaluar masas renales quísticas y, en algunos casos, ha llevado a una reclasificación de estas. Sin embargo, la TC con contraste sigue siendo el estándar para la clasificación de Bosniak debido a su capacidad para proporcionar una evaluación detallada de los quistes y poder proceder con un tratamiento óptimo para el paciente.(33)
Protocolo para descripción de quistes renales por TAC
La TAC es la técnica de elección para la caracterización de las lesiones renales. El protocolo de TC incluye imágenes sin medio de contraste y con medio de contraste en dos fases:
- Arterial y diferenciación cortico-medular.
- Nefrográfica. La TC nos permite la observación de:
- Celda renal y estado morfológico y en densidad de las fascias renales, espacio perinéfrico y de los septos-puente cápsulo-fasciales, cápsula-capsulares y transversos.
- Morfología, contornos y volumetría del órgano.
- Presencia de abombamientos y distorsiones del eje renal.
- Densidad basa y presencia de calcificaciones puntiformes.
- Estado basal de la vía excretora urinaria.
- Análisis de la masa renal y afectación de espacios: a) renal, b) renal y sinusal, c) perinéfrico, d) fascial, e) a distancia.
- Análisis del comportamiento vascular arterial y venoso.
- Análisis de afectación linfática local, loco-regional y a distancia.
- Análisis de afectación venosa trombótica local, loco-regional y a distancia.
- Análisis de afectación metastásica visceral.
El estudio sin medio de contraste yodado no permite clasificar, definitivamente, una masa como candidata a cirugía o no. Sugiere etiología y comportamiento biológico. El realce de una masa con medio de contraste yodado es el criterio más determinante para establecer si una masa es quirúrgica o no.(34) En TC se puede medir con la comparación de la densidad basal y con el medio de contraste yodado intravenoso. Se considera realce positivo cuando la masa incrementa sus coeficientes de atenuación por encima de 20 unidades Hounsfield. Realces en densidad TC indeterminados e inferiores a 10 unidades Hounsfield deben de someterse a control o a protocolos de diagnóstico que incluyan otros estudios para su filiación.
En las masas sólidas y homogéneas se puede utilizar el análisis densitométrico o mapa de la distribución de los coeficientes de atenuación a la radiación X en una región amplia de interés, pero en lesiones complejas de tipo quístico, necrótico o hemorrágico pueden existir problemas de caracterización. En estos casos se requieren varias medidas y el asegurarse de que la marca de la región de interés se efectúe con los mismos parámetros en la TC sin y con medio de contraste yodado IV. De cualquier forma, las mediciones de densidad en las masas renales pueden, en ocasiones, ser inconsistentes y poco específicas, y el problema se agrava con lesiones de poco diámetro incluidas en el parénquima renal, sin abombamiento de los contornos y escasamente visible en los estudios TC basales.(34)
Este problema se agrava con el denominado pseudorrealce con incrementos superiores a 10 UH que experimentan los quistes intraparenquimatosos con diámetro inferior a 20 mm en determinadas ocasiones.
Pronóstico
El pronóstico de vida de los quistes renales varía significativamente según la naturaleza de estos, su clasificación de acuerdo con el sistema de Bosniak y la presencia de comorbilidades.
Para los quistes renales simples (Bosniak I y II), el pronóstico es generalmente excelente. Estos quistes son benignos y rara vez requieren intervención. Un estudio a largo plazo mostró que los quistes simples tienden a aumentar de tamaño con el tiempo, pero no se asocian con un riesgo significativo de malignidad.(35)
En cuanto a los quistes renales complejos (Bosniak IIF, III y IV), el pronóstico puede variar. Un estudio retrospectivo de 336 pacientes con quistes complejos mostró que la supervivencia específica por cáncer fue muy alta, con solo una muerte específica por cáncer registrada (0,3%) durante un seguimiento medio de 67,1 meses. La mortalidad general fue del 6,2%, y la mayoría de las intervenciones quirúrgicas se realizaron en pacientes más jóvenes y con quistes más complejos.(36) Otro estudio de cohorte basado en la población encontró que la mortalidad específica por cáncer renal fue del 1,7% a un seguimiento medio de 76 meses, pero la supervivencia general fue pobre en pacientes mayores de 70 años y con dos o más comorbilidades significativas.(37)
En el caso de los quistes renales en la población pediátrica, la mayoría sigue un curso benigno. Un estudio encontró que menos del 1% de los quistes simples se convirtieron en complejos y solo el 1,8% de los quistes complejos desarrollaron carcinoma de células renales.(38)
Para los neoplasmas epiteliales quísticos renales de bajo grado, como el carcinoma renal quístico multilocular, el pronóstico es excelente. Un estudio mostró que la supervivencia específica por cáncer a 10 y 20 años fue del 100% en todos los subtipos después de la resección quirúrgica.(39)
Enfoque metodológico
El siguiente estudio se abordó bajo una muestra poblacional que incluyó 523 pacientes que presentaron LQR, de los cuales 340 pacientes de sexo masculino conformaron el 75% de la muestra y 183 pacientes de sexo femenino conformaron el 25% restante. Estos pacientes acudieron al Centro Diagnóstico por Imágenes Bioimágenes durante el tiempo comprendido entre mayo de 2022 y marzo de 2023, refiriendo dolor abdominal, citas por control y, en algunos casos, se trató de pacientes con insuficiencia renal en conjunto con HTA.
Se trabajó bajo un diseño no experimental, lo que significa que no hubo manipulación de variables, bajo un enfoque horizontal retrospectivo, descriptivo y observacional, donde se empleó la tomografía computada como método diagnóstico principal para el diagnóstico de lesiones quísticas renales. Se utilizó el tomógrafo PHILIPS ACCESS CT (Anexos 13, 14 y 15), emitiendo 16/32 cortes, realizado por médicos especialistas en diagnóstico por imágenes, siguiendo la clasificación Bosniak para categorizar cada uno de los 523 quistes estudiados y poder distinguir por medio del uso de contrastes si correspondían a quistes simples ubicados en la categoría I o a quistes complicados o malignos, los cuales se ubican en las categorías III y IV de Bosniak.
Cabe destacar que para la interpretación de resultados imagenológicos, descripción y posterior reporte de cada tomografía se utilizó el sistema de datos SYNAPSE, realizada por médicos especialistas en diagnóstico por imágenes con más de 20 años de experiencia basándose en la clasificación Bosniak para categorizar cada una de las lesiones quísticas.
Recopilación de datos
La recolección de datos se efectuó por medio de una revisión exhaustiva de la información, leyendo informes de las tomografías de abdomen y pelvis e imágenes del Sistema de Gestión de Radiología Bioimágenes ITSOS RIS (Anexo 16). Se tuvieron en cuenta las siguientes variables para poder filtrar y clasificar cada una de las lesiones revisadas:
- Datos demográficos: edad, sexo y antecedentes médicos relevantes.
- Características de lesiones quísticas renales.
El análisis se llevó a cabo utilizando Microsoft Excel para la tabulación de los datos recolectados y análisis de cada una de las variables, para luego redactar en Word. De esta manera se pudo observar cada una de las tomografías en pacientes con sospecha o diagnóstico de quistes renales y aquellos con cáncer renal e insuficiencia renal crónica.
Criterios de inclusión
- Pacientes entre los 40 y 75 años.
- Pacientes de sexo masculino y femenino que experimentaron dolor abdominal inespecífico y aquellos que solicitaron tomografía de abdomen y pelvis con contraste IV por control.
- Pacientes atendidos en el Centro Diagnóstico por Imágenes Bioimágenes.
- Pacientes con antecedentes de HTA, tabaquismo, hematuria, proteinuria, DBT e insuficiencia renal, quienes presentaron en el estudio tomográfico hallazgos de lesiones quísticas renales que permitieron la clasificación Bosniak.
Criterios de exclusión
- Pacientes menores de 40 años o mayores de 75 años.
- Pacientes con estudios ecográficos y RM previas.
- Pacientes sin antecedentes personales y/o factores de riesgo asociados a lesiones quísticas renales.
- Pacientes que se realizaron tomografías de abdomen y pelvis sin contraste IV.
Interpretación y análisis de resultados
La interpretación de los resultados se llevó a cabo mediante el análisis retrospectivo, observacional y transversal, a través del uso del sistema de archivo y transmisión de imagen SYNAPSE del Centro Diagnóstico de Imágenes Bioimágenes. Dicha lectura y reporte estuvo a cargo de médicos especialistas en diagnóstico por imágenes por medio de ITSOSris/DCI Sistema de Gestión de Radiología.
La fiabilidad de los datos obtenidos puede ser verificada mediante la utilización de equipos y protocolos publicados para la tomografía computada, considerando el uso de la clasificación Bosniak como pieza fundamental empleada por los médicos para la descripción y categorización de los quistes encontrados en los 523 pacientes.
Resultados
En el siguiente estudio se incluyó una muestra de 523 pacientes en la que se tuvieron en cuenta las siguientes variables: edad, antecedentes o factores de riesgo, sexo, motivo de consulta. Se obtuvieron los resultados que se presentan a continuación.
Motivo consulta
En el siguiente esquema se detalla el motivo por el que los 523 pacientes evaluados en nuestra institución consultaron al Servicio de Tomografía. El principal motivo de consulta fue dolor abdominal (50%), seguido de hematuria con recurrencia de infecciones urinarias (24%). Por otra parte, se encuentran las pacientes que consultaron por control anual sin presentar ninguna sintomatología (26%).
Factores de riesgo
Gráfico 2
Se observa que dentro de los factores de riesgos personales analizados el principal es IRC (37%), coincidiendo con la epidemiología a nivel mundial, seguido de hipertensión arterial (19%). Ocupa el tercer puesto la obesidad (13%), en concordancia con las revisiones bibliográficas.
Incidencia por grupo etario
Los resultados de este estudio arrojaron que los pacientes de entre 60 y 75 años tuvieron el 80% de manifestaciones quísticas renales, descritos de la siguiente manera: 418 pacientes, de los cuales el 60% eran de sexo masculino (correspondiente a 249 pacientes) y el 40% de sexo femenino (168 pacientes). Luego se ubica el grupo etario de pacientes de entre 50 y 60 años, que el muestreo arrojó una incidencia de 15% perteneciente a 79 pacientes, de los cuales 67 de sexo masculino ocuparon el 85% de la muestra y solo hubo manifestación de 12 pacientes de sexo femenino que tuvieron visualización de quistes renales. Y en muy baja cantidad, ocupando el 5% del total de la muestra, aparecen quistes renales en la población entre los 40 y 50 años, que corresponde a 26 pacientes, de los cuales 24 son de sexo masculino y 2 de sexo femenino. Esto demuestra, según la bibliografía médica actual, la incidencia de quistes renales en personas mayores de 50 años, siendo entre los 65 y 75 la mayor prevalencia y predominio en hombres.
Resultados según clasificación Bosniak
- Bosniak I: el 80% de los quistes (418 pacientes) fueron clasificados como Bosniak I, es decir, quistes simples hallados incidentalmente en tomografía computada (TC) y sin necesidad de seguimiento adicional. De estos, 268 pacientes eran de sexo masculino y 150 de sexo femenino (Anexos 17 y 18).
- Bosniak II: el 10% de los quistes (55 pacientes) fueron catalogados como Bosniak II, correspondientes a quistes benignos. Esta categoría incluyó a 36 pacientes de sexo masculino y 19 de sexo femenino (Anexos 19 y 20).
- Bosniak IIF: en esta categoría, el 4% de los quistes (20 pacientes) presentaron complicaciones. De estos, el 70% (14 pacientes) presentaron quistes hemorrágicos, mientras que los restantes presentaron calcificaciones parietales. En un caso (2% de esta categoría) se observó evolución hacia malignidad, con realce en la TC (Anexo 21).
- Bosniak III: el 3% de los quistes (15 pacientes) fueron clasificados como Bosniak III, con 11 pacientes de sexo masculino y 4 de sexo femenino (Anexo 22).
- Bosniak IV: finalmente, el 3% de los quistes (15 pacientes) fueron clasificados como Bosniak IV, de los cuales 12 pacientes eran de sexo masculino y 3 de sexo femenino. Estos quistes presentaron características de neoplasia quística renal y carcinoma renal quístico, lo que requirió intervención quirúrgica inmediata (Anexo 23).
Discusión
Los resultados de esta investigación retrospectiva, observacional y transversal, evaluados por tomografías de abdomen y pelvis con contraste, en una muestra de 523 pacientes atendidos en el Centro de Diagnóstico Bioimágenes, revelaron una alta prevalencia de quistes renales en pacientes mayores de 50 años, en especial en el grupo etario de 60 a 75 años. Esto concuerda con la bibliografía actual, que muestra una tendencia similar en cuanto a la incidencia de quistes renales en edades avanzadas, con predominancia en hombres. Esto es consistente con estudios previos que relacionan el envejecimiento con una mayor probabilidad de desarrollar quistes renales.
En cuanto a los factores de riesgo, los resultados reflejaron una incidencia significativa de insuficiencia renal crónica (IRC), hipertensión arterial y obesidad, factores que se han asociado con la aparición y progresión de patologías renales. La alta prevalencia de IRC en esta muestra coincide con las tendencias observadas a nivel mundial, lo cual subraya la importancia de este factor en el desarrollo de quistes renales.
Por último, la clasificación de Bosniak fue fundamental para categorizar los quistes encontrados, donde la mayoría de los casos correspondieron a la categoría I (quistes simples, sin seguimiento necesario), hallados incidentalmente en estudios por otras razones. Sin embargo, los casos clasificados en categorías III y IV, que incluyen neoplasia quística renal y carcinoma renal, destacaron la importancia de esta clasificación para identificar lesiones con potencial maligno que requieren intervención quirúrgica. La proporción de quistes con características malignas fue baja (2%), lo cual es acorde con estudios que indican que la mayoría de los quistes renales son benignos.
Conclusiones
Este estudio destaca la utilidad de la tomografía computarizada (TC) en la identificación y clasificación de lesiones quísticas renales (LQR) mediante la clasificación Bosniak, un sistema de referencia en el manejo de estas patologías. Con una muestra de 523 pacientes (340 hombres y 183 mujeres), se evidenció una prevalencia elevada de LQR en individuos de entre 60 y 75 años, lo que coincide con estudios previos que subrayan la relación entre la edad avanzada y el desarrollo de estas lesiones. La mayoría de los casos (90%) correspondieron a quistes Bosniak I y II, de carácter benigno y encontrados incidentalmente en TC, mientras que el 10% restante se clasificó como quistes más complejos (Bosniak IIF, III y IV), con riesgo potencial de malignidad y necesidad de un manejo clínico más riguroso.
El uso de TC en la clasificación de Bosniak ha demostrado ser fundamental para distinguir quistes quirúrgicos de no quirúrgicos, proporcionando una precisión superior en la estadificación y planificación terapéutica en comparación con otras técnicas de imagen, como la ecografía y la resonancia magnética. La ecografía, aunque es una herramienta accesible y de bajo costo, presenta limitaciones en la evaluación detallada de las LQR, especialmente en quistes complejos. La resonancia magnética, si bien aporta información adicional en algunos casos, no es tan accesible ni específica en la caracterización de lesiones quísticas como la TC.
La realización de este estudio no solo reafirma la utilidad de la TC y la clasificación de Bosniak en la evaluación y seguimiento de LQR, sino que también subraya la importancia de contar con una herramienta diagnóstica precisa para mejorar la detección y manejo adecuado de las LQR en una población en crecimiento. Estos hallazgos resaltan la importancia de realizar un adecuado seguimiento en pacientes con factores de riesgo renal y realizar estudios preventivos en grupos etarios susceptibles, incluso en ausencia de síntomas. Aunque la mayoría de los quistes observados fueron benignos, la detección y clasificación adecuada es clave para manejar oportunamente los casos que presentan un riesgo oncológico potencial.
Recomendaciones
- Es crucial realizar un seguimiento regular en pacientes con factores de riesgo elevados, tales como IRC, hipertensión arterial y obesidad, para detectar a tiempo lesiones renales que puedan requerir una intervención o seguimiento específico.
- Se recomienda el uso sistemático de la clasificación de Bosniak en estudios de tomografía para establecer un protocolo de manejo estandarizado de los quistes renales, identificando aquellos que requieren intervención o seguimiento.
- Implementar campañas de detección temprana en pacientes mayores de 50 años y en personas con antecedentes de hipertensión y enfermedades renales crónicas puede contribuir a un diagnóstico oportuno y a una mejor calidad de vida para los pacientes.
- Se sugiere realizar estudios longitudinales que permitan analizar la evolución de los quistes renales clasificados en categorías superiores de Bosniak para una mejor comprensión de los factores que podrían predecir su progresión a malignidad.
Estas recomendaciones pueden contribuir a mejorar el manejo de las lesiones renales quísticas, mejorando los protocolos diagnósticos y de seguimiento en beneficio de los pacientes y su calidad de vida.
Anexos




Bibliografía
- Terada, N., Arai, Y., Kinukawa, N. y Yoshimura, K. (2008). Historia natural de los quistes renales simples. The Journal of Urology, 167(1), 21-23. https://www.researchgate.net/publication/11614053_The_natural_history_of_simple_renal_cysts
- Chandrasekar, T., Ahmad, A. E., Fadaak, K., Jhaveri, K. et al. (2018). Historia natural de los quistes renales complejos: evidencia clínica que respalda la vigilancia activa. J Urol, 199(3), 633-640. https://pubmed.ncbi.nlm.nih.gov/28941915/
- Bosniak, M. A. (1986). El abordaje radiológico actual de los quistes renales. Radiology, 158(1), 1-10. https://pubs.rsna.org/doi/10.1148/radiology.158.1.3510019?url_ver=Z39.88-2003&rfr_id=ori:rid:crossref.org&rfr_dat=cr_pub%20%200pubmed
- Smith, A. D. et al. (2019). Clasificación bosnia de masas renales quísticas, versión 2019: propuesta de actualización y evaluación de necesidades. Radiology, 292(2), 475-488. https://pmc.ncbi.nlm.nih.gov/articles/PMC6677285/
- Agnello, F., Albano, D., Micci, G. et al. (2020). Imágenes por TC y RM de lesiones renales quísticas. Insights into imaging, 11, 5. https://insightsimaging.springeropen.com/articles/10.1186/s13244-019-0826-3
- Instituto nacional del Cáncer (s. f.). Estadísticas – Incidencia de Cáncer en la Argentina. https://www.argentina.gob.ar/salud/instituto-nacional-del-cancer/estadisticas/incidencia
- Terada, N., Arai, Y., Kinukawa, N., Yoshimura, K., Terai, A. (2004). Factores de riesgo de los quistes renales. https://bjui-journals.onlinelibrary.wiley.com/doi/10.1111/j.1464-410X.2004.04844.x
- Bosniak, M. A. (1986). El abordaje radiológico actual de los quistes renales. Radiology, 158, 1-10. https://pubs.rsna.org/doi/10.1148/radiology.158.1.3510019?url_ver=Z39.88-2003&rfr_id=ori:rid:crossref.org&rfr_dat=cr_pub%20%200pubmed
- Israel, G. M., Bosniak, M. A. (2005). Una actualización del sistema de clasificación de quistes renales de Bosniak. Urology, 66, 484-488. https://linkinghub.elsevier.com/retrieve/pii/S0090-4295(05)00503-0
- Silverman, S. G., Pedrosa, I., Ellis, J. H. et al. (2019). Clasificación de Bosniak de masas renales quísticas, versión 2019: propuesta de actualización y evaluación de necesidades. Radiology, 292,475-488. https://pubs.rsna.org/doi/10.1148/radiol.2019182646?url_ver=Z39.88-2003&rfr_id=ori:rid:crossref.org&rfr_dat=cr_pub%20%200pubmed
- Schoots, I. G., Zaccai, K., Hunink, M. G., Verhagen, P. (2017). Reevaluación de la clasificación de Bosniak para quistes renales complejos: una revisión sistemática. J Urol, 198, 12-21. https://www.auajournals.org/doi/10.1016/j.juro.2016.09.160
- Mousessian, P. N., Yamauchi, F. I., Mussi, T. C., Baroni, R. H. (2017). Tasa de malignidad, grado histológico y progresión de lesiones renales quísticas complejas de categoría III y IV de Bosniak. AJR, 209, 1285-1290. https://www.ajronline.org/doi/10.2214/AJR.17.18142
- Tse, J. R., Shen, J., Yoon, L., Kamaya, A. (2020). Clasificación de Bosniak versión 2019 de masas renales quísticas evaluadas con resonancia magnética. AJR, 215, 413-419. https://www.ajronline.org/doi/10.2214/AJR.19.22740
- Pacheco, E. O., Torres, U. S., Alves, A., Bekhor, D., D’Ippolito, G. (2020). La clasificación bosnia de masas renales quísticas versión 2019 no aumenta la concordancia interobservador ni la proporción de masas categorizadas en clases bosnias inferiores para lectores no subespecializados en TC o RM. European Journal of Radiology, 131, 109270. https://linkinghub.elsevier.com/retrieve/pii/S0720-048X(20)30459-9
- Tse, J. R., Shen, J., Shen, L., Yoon, L., Kamaya, A. (2021). Clasificación de Bosniak de masas renales quísticas versión 2019: comparación de la categorización mediante TC y RM. AJR, 216, 412-420. https://www.ajronline.org/doi/10.2214/AJR.20.23656
- Fernández García, J., Martínez Sánchez, R. T., García Milanés, A. et al. Caracterización de las masas renales: revisión de los principales hallazgos en TC y RM (2022). Complejo Hospitalario Universitario de Badajoz. https://piper.espacio-seram.com/index.php/seram/article/view/8601/7067
- Park, M. Y., Park, K. J., Kim, M. H., Kim, J. K. (2021). Bosniak Classification of Cystic Renal Masses Version 2019: Comparison with Version 2005 for Class Distribution, Diagnostic Performance, and Interreader Agreement Using CT and MRI. AJR, 217(6), 1367-1376. https://www.ajronline.org/doi/10.2214/AJR.21.25796
- Zhang, Q., Dai, X., Li, W. (2022). Diagnostic Performance of the Bosniak Classification, Version 2019 for Cystic Renal Masses: A Systematic Review and Meta-Analysis. Front Oncol, 12, 931592. https://pmc.ncbi.nlm.nih.gov/articles/PMC9623069/
- Rodríguez Godoy, C., Comellas Cruzado, S., Milán Rodríguez, M., Sánchez Paré, D., Fernández Prudencio, L., Guerrero Martínez, G. (2018). Clasificación de Bosniak. Lo que todo radiólogo debe saber. https://www.piper.espacio-seram.com/index.php/seram/article/view/147/136
- Tse, J. R., Shen, L., Shen, J., Yoon, L., Kamaya, A. (2021). Prevalencia de malignidad y asociación histopatológica de masas renales quísticas de clase III y IV de la clasificación de Bosniak, versión 2019. The Jorunal of Urology, 205(4), 1031-1038. https://www.auajournals.org/doi/10.1097/JU.0000000000001438
- Elbaset, M. A., Ashour, R., Elgamal, M. et al. (2023). Eficacia de la nueva clasificación Bosniak v.2019 en la predicción de lesiones benignas dentro de las clases superiores de quistes Bosniak. Urologic Oncology,41(10), 434.e1-434.e7. https://www.sciencedirect.com/science/article/abs/pii/S1078143923002223?via%3Dihub
- Sevcenco, S., Spick, C., Helbich, T. H. et al. (2017). Tasas de malignidad y rendimiento diagnóstico de la clasificación de Bosniak para el diagnóstico de lesiones renales quísticas en tomografía computarizada: una revisión sistemática y un metanálisis. European Radiology, 27(6), 2239-2247. https://link.springer.com/article/10.1007/s00330-016-4631-9
- Graumann, O., Osther, S. S., Karstoft, J., Hørlyck, A., Osther, P. J. (2016). Sistema de clasificación de Bosniak: una comparación prospectiva de la TC, la ecografía con contraste y la RM para categorizar masas quísticas renales complejas. Sage Journals, 57(11), 1409-1417. https://journals.sagepub.com/doi/10.1177/0284185115588124?url_ver=Z39.88-2003&rfr_id=ori:rid:crossref.org&rfr_dat=cr_pub%20%200pubmed
- Song, C., Min, G. E., Song, K. et al. (2009). Diagnóstico diferencial de masa renal quística compleja mediante tomografía computarizada multifásica. The Journal of Urology, 181(6), 2446-50. https://www.auajournals.org/doi/10.1016/j.juro.2009.01.111
- Almalki, Y. E., Basha, M., Refaat, R. et al. (2023). Clasificación bosnia versión 2019: una comparación prospectiva de TC y RM. Eur Radiol, 33(2), 1286-1296. https://link.springer.com/article/10.1007/s00330-022-09044-3
- Sekine, A., Hidaka, S., Moriyama, T. et al. (2022). Enfermedades renales quísticas que requieren un diagnóstico diferencial con la enfermedad renal poliquística autosómica dominante (ERPAD). J. Clin. Med, 11(21), 6528. https://www.mdpi.com/2077-0383/11/21/6528
- Hanna, C., Iliuta, I. A., Besse, W., Mekahli, D., Chebib, F. T. (2023). Enfermedades renales quísticas en niños y adultos: diferencias y lagunas en el tratamiento clínico. Seminars in Nephrology, 43(4), 151434. https://www.seminarsinnephrology.org/article/S0270-9295(23)00144-4/abstract
- Katabathina, V. S., Kota, G., Dasyam, A. K., Shanbhogue, A. K., Prasad, S. R. (2010). Enfermedad quística renal en adultos: una introducción genética, biológica y del desarrollo. RadioGraphics, 30(6), 1509-23. https://pubs.rsna.org/doi/10.1148/rg.306105513?url_ver=Z39.88-2003&rfr_id=ori:rid:crossref.org&rfr_dat=cr_pub%20%200pubmed
- Raina, R., Chakraborty, R., Sethi, S. K. et al. (2021). Diagnóstico y tratamiento de la enfermedad quística renal del recién nacido: plan de estudios básico 2021. AJKD, 78(1), 125-141. https://www.ajkd.org/article/S0272-6386(20)31194-X/fulltext
- Dillman, J. R., Trout, A. T., Smith, E. A., Towbin, A. J. (2017). Trastornos quísticos renales hereditarios: imágenes de los riñones y más. RadioGraphics, 37(3), 924-946. https://pubs.rsna.org/doi/10.1148/rg.2017160148?url_ver=Z39.88-2003&rfr_id=ori:rid:crossref.org&rfr_dat=cr_pub%20%200pubmed
- Wood, C. G., Stromberg, L. J., Harmath, C. B. et al. (2015). Imágenes por TC y RM para la evaluación de lesiones y enfermedades renales quísticas. RadioGraphics, 35(1), 125-41. https://pubs.rsna.org/doi/10.1148/rg.351130016?url_ver=Z39.88-2003&rfr_id=ori:rid:crossref.org&rfr_dat=cr_pub%20%200pubmed
- Ding, Y., Chen, L., Deng, F. M. et al. (2013). Enfermedad quística localizada del riñón: distinción entre neoplasias quísticas y enfermedades poliquísticas hereditarias The American Journal of Surgical Pathology,37(4), 506-13. https://journals.lww.com/ajsp/abstract/2013/04000/localized_cystic_disease_of_the_kidney_.4.aspx
- Kim, M. H., Yi, R., Cho, K. S., Choi, H. J. (2012). TC multidetector con contraste trifásico en la evaluación de quistes renales complicados: comparación de la combinación de fases poscontraste. Sage Journal, 199(5), 1026-34. https://journals.sagepub.com/doi/10.1177/0284185113495837?url_ver=Z39.88-2003&rfr_id=ori:rid:crossref.org&rfr_dat=cr_pub%20%200pubmed
- Fernández Mena, J., Zuluaga Gómez, A., Valle Díaz de la Guardia, F. (2009). Imaging characterization of renal masses. Image atlas. Actas Urol Esp, 33(5). https://scielo.isciii.es/scielo.php?script=sci_arttext&pid=S0210-48062009000500005
- Terada, N., Arai, Y., Kinukawa, N., Terai, A. (2008). Historia natural de 10 años de los quistes renales simples. Urology, 71(1), 7-11. https://www.goldjournal.net/article/S0090-4295(07)02240-6/abstract
- Chandrasekar, T., Ahmad, A. E., Fadaak, K. et al. (2018). Natural History of Complex Renal Cysts: Clinical Evidence Supporting Active Surveillance. The Journal of Urology, 199(3), 633-640. https://www.auajournals.org/doi/10.1016/j.juro.2017.09.078
- Lucocq, J., Pillai, S., Oparka, R., Nabi, G. (2020). Complex Renal Cysts (Bosniak ≥ IIF): Outcomes in a Population-Based Cohort Study. Cancers (Basel), 12(9), E2549. https://pubmed.ncbi.nlm.nih.gov/32911632/
- O’Kelly, F., McAlpine, K., Abdeen, N. et al. (2019). The Prevalence, Clinicodemographics, and Outcomes of Incidental and Symptomatic Renal Cysts in a Pediatric Cohort Undergoing Ultrasonography. The Journal of Urology, 2202(2), 394-399. https://www.auajournals.org/doi/10.1097/JU.0000000000000264
- Westerman, M. E., Cheville, J. C., Lohse, C. M. et al. (2019). Long-Term Outcomes of Patients with Low Grade Cystic Renal Epithelial Neoplasms. Urology, 133, 145-150. https://linkinghub.elsevier.com/retrieve/pii/S0090-4295(19)30652-1






















