Autores: Salomón Londoño, Julieth Salas, Joaquín Cueto, Nubia López, Heideman Castaño
Resumen
El feocromocitoma es un tumor de células cromafines que puede localizarse en los territorios derivados de la cresta neural, o en el trayecto que siguen estas células hasta su localización definitiva. Por lo general se ubican en el abdomen (90% de los casos), particularmente en las glándulas suprarrenales y en el órgano de Zuckerkandl. Pueden causar una amplia variedad de síntomas, dada su capacidad de secretar catecolaminas, en especial, noradrenalina y adrenalina, en cantidades variables e intermitentes. Clínicamente, pueden ser asintomáticos o presentarse con hipertensión arterial paroxística, o permanente con o sin paroxismos, acompañados de la tríada clásica de cefalea, hiperhidrosis y taquicardia.
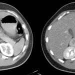
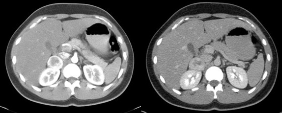
Se presenta el caso de un paciente masculino de 18 años sin antecedentes, que consulta por dolor en hipocondrio derecho de un año de evolución, asociado a palpitaciones, y episodios de HTA. El examen de orina de 24 horas mostró niveles elevados de catecolaminas. En la ecografía abdominopélvica y TAC abdominal, se objetiva una formación de aspecto nodular sólida hipoecoica de contornos bien delimitados, de aproximadamente 43 mm x 39 mm, que no muestra vascularización a la señal Doppler color, asociado a la TC abdomen con contraste EV: masa sólida de 38 mm x 31 mm, reemplazando el parénquima de la glándula suprarrenal derecha que realza de forma ávida y heterogénea en fase arterial a expensas de área central con degeneración necrótica. Se prepara con alfa bloqueador, se realiza adrenalectomía total izquierda laparoscópica. La anatomía patológica evidencia feocromocitoma.
Palabras clave: feocromocitoma, adrenalectomía, catecolaminas, hipertensión, suprarrenal.
Introducción
El feocromocitoma es un tumor productor de catecolaminas que procede de las células cromafines del sistema nervioso simpático. Representa aproximadamente el 0,2% de los casos de hipertensión de causa curable. El 80%-85% se localiza en la médula adrenal y el 15%-20% son de localización extraadrenal y se denominan “paragangliomas”. Pueden originarse en cualquier lugar donde exista tejido cromafín: a lo largo de la cadena ganglionar simpática paraaórtica, en el órgano de Zuckerkandl (en el origen de la arteria mesentérica inferior), en la pared de la vejiga urinaria y en la cadena ganglionar simpática en el cuello o el mediastino.
La incidencia de esta enfermedad es de dos casos por millón de habitantes y representa entre 0,3%-1,9% de las causas secundarias de hipertensión arterial en la población general. Afecta con igual frecuencia a ambos sexos, salvo en la población infantil, donde se encuentra con más frecuencia entre los varones (60%). La incidencia aumenta con la edad, que al diagnóstico oscila entre los 30 y 50 años.
Los feocromocitomas suponen el 6,5% de los incidentalomas suprarrenales. Pueden ser esporádicos o encontrarse asociados a varias enfermedades genéticas, como son la neoplasia endocrina múltiple, la enfermedad de Von Hippel-Lindau, la neurofibromatosis de tipo 1 y el paraganglioma familiar con mutaciones en la succinato deshidrogenasa.
Las manifestaciones clínicas son producto de la secreción excesiva de catecolaminas. Se le ha llamado “el gran imitador”, ya que da síntomas muy variados, dependiendo de la catecolamina en exceso. Aparecen en forma de crisis paroxísticas de 15 a 60 minutos de duración y resolución lenta, cuya frecuencia aumenta con el tiempo de evolución. La tétrada clásica consiste en cefalea (80%), palpitaciones (64%), diaforesis (57%) e hipertensión arterial (85%). La hipertensión puede ser mantenida en la mitad de los pacientes y paroxística en un tercio, mientras el resto de los sujetos presentan normotensión. Además de estos síntomas pueden aparecer dolor abdominal, vómitos, dolor torácico, taquicardia, nerviosismo, irritabilidad, pérdida de peso, temblor de manos, palidez, frialdad y humedad de las manos, aumento de la temperatura y flushing. Las crisis se siguen habitualmente de intensa fatiga.
Discusión
El feocromocitoma es una entidad que afecta a pacientes jóvenes y tiene diversos hallazgos imagenológicos, siendo los más característicos por ecografía como masas grandes sólidas o quísticas con calcificaciones, de bordes bien definidos, dependiente de una glándula suprarrenal, en la TAC suelen ser heterogéneas, frecuente la calcificación, hemorragia y necrosis, con marcado realce tras la administración de contraste. Siendo este el gold standard con el protocolo de lavado suprarrenal se compone de una fase sin contraste, una exploración contrastada con un retraso de 60-90 segundos y una tardía a los 15 minutos con densidad > 10UH.
Conclusión
El feocromocitoma debe incluirse entre los diagnósticos diferenciales de glándulas suprarrenales. Para el médico radiólogo es importante conocer los hallazgos objetivos imagenológicos para la caracterización de estas lesiones y determinación del diagnóstico temprano.
Bibliografía
Corral De La Calle, D. M. Ángel, Encinas De La Iglesia, D. J., Fernández Pérez, D. G. C., Fidalgo Hernández, D. S., Vicente Mérida, D. D., Sánchez Sánchez, D. B. (2021). Feocromocitoma adrenal. Lo que el radiólogo debe conocer. Seram, 1(1). https://piper.espacio-seram.com/index.php/seram/article/view/3891
Farrugia, F. A. (2019). Pheochromocytoma. Anestis Charalampopoulos. Endocrine Regulations, 53(3), 191–212. doi:10.2478/enr-2019-0020
Sbardella, E., Grossman, A. B. (2020). Pheochromocytoma: An approach to diagnosis. Best Pract Res Clin Endocrinol Metab, 34(2), 101346. doi: 10.1016/j.beem.2019.101346. Epub 2019 Oct 22. PMID: 31708376.


