Autores: Heideman Castaño, Nubia López, Julieth Salas, Salomón Londoño, Joaquín Cueto
Resumen
La intususcepción es una patología poco frecuente en adultos y de difícil diagnóstico, que requiere de una amplia sospecha diagnóstica. La tomografía es el estudio de elección para el diagnóstico de la intususcepción intestinal, sin embargo, la verdadera causa de intususcepción se diagnostica con precisión mediante el estudio histopatológico.
Solo alrededor del 5% de las intususcepciones que causan obstrucción intestinal se producen en adultos, el 80% son secundarias a un proceso patológico, como tumores, líneas de sutura o adherencias. Una invaginación intestinal como identificación inicial de un cáncer de intestino ciego es infrecuente. En la presentación origen benigno o maligno no existen diferencias significativas, tanto en sintomatología como en imagen. El principal síntoma de presentación es el dolor abdominal, que se caracteriza por ser intermitente y con calambres.
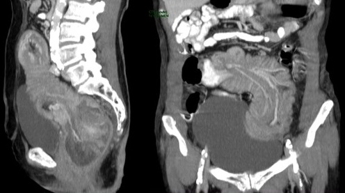
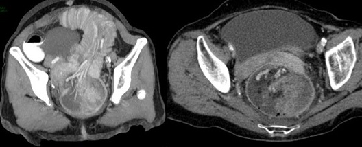
Se presenta el caso de una paciente femenina de 71 años, que ingresa por guardia con dolor abdominal en fosa iliaca derecha y deposiciones diarreicas sanguinolentas. Al examen físico, abdomen blando depresible, con masa palpable, y doloroso a la palpación en FID. En la TC de abdomen y pelvis con contraste oral y EV se observó el pasaje del contraste oral hasta colon derecho. Ángulo derecho descendido de topografía, donde se observa área redondeada de engrosamiento parietal con realce. Distalmente se observa intususcepción, que compromete el resto de colon hasta el recto con ligero realce parietal en dichos segmentos en relación con hiperemia. No se observó dilatación de asas delgadas.
Palabras clave: ciego, colon, invaginación intestinal, intususcepción intestinal, adenocarcinoma.
Introducción
La intususcepción intestinal es la invaginación de un segmento del intestino y su mesenterio (intussusceptum) en la luz de un segmento intestinal adyacente (intussuscipiens). La mayoría de los casos se presenta en niños y solo entre un 5% y un 16% ocurre en adultos, en una proporción de 20:1, y representa entre el 1% y el 5% de las causas de oclusión intestinal en adultos. Con base en la localización del punto de inicio de la intususcepción, esta se puede clasificar como entérica, ileocólica, colocólica, colorrectal y rectorrectal.
El dolor abdominal es el síntoma que se presenta con mayor frecuencia, aunque pueden ocurrir otras manifestaciones, como náuseas, emesis, estreñimiento, melena o diarrea. En la exploración se encuentra una masa tumoral palpable en el abdomen. Por lo general, la intususcepción intestinal en el adulto está relacionada con patología intestinal, y entre el 38% y el 45% de los casos ocurre en el colon, en tanto que entre el 52% y el 55% afecta al intestino delgado. En la literatura se ha reportado que del 33% al 77% de los casos de intususcepción en el colon se asocian a lesiones malignas. Por lo tanto, entre un 70% y un 90% de estos requieren tratamiento definitivo, siendo la resección quirúrgica el de elección.
Tenemos la presentación de una paciente femenina de 71 años, que ingresa por guardia con dolor abdominal en fosa iliaca derecha y deposiciones diarreicas sanguinolentas. Al examen físico, abdomen blando depresible, con masa palpable, y doloroso a la palpación en FID. La paciente fue sometida a una laparotomía exploradora por datos compatibles con abdomen agudo y oclusión intestinal, mediante abordaje de la línea media supra e infraumbilical, encontrándose tumor de ciego más intususcepción colónica; el resultado de anatomía patológica remitido como colon derecho + íleon terminal biopsia: hallazgos morfológicos e inmunofenotípicos vinculables adenocarcinoma invasor bien diferenciado de ciego que invade la muscular propia sin alcanzar la serosa y con límites quirúrgicos libres de actividad tumoral pT2N0M0 (etapa II) con 15 ganglios negativos disecados.
Hallazgos imagenológicos
En la TC de abdomen y pelvis con contraste oral y EV se observó el pasaje del contraste oral hasta colon derecho. Ángulo derecho descendido de topografía, donde se observa área redondeada de engrosamiento parietal con realce. Distalmente se observa intususcepción que compromete el resto del colon hasta el recto, con ligero realce parietal en dichos segmentos en relación con hiperemia. No se observa dilatación de asas delgadas.
Discusión
Solo alrededor del 5% de las intususcepciones que causan obstrucción intestinal se producen en adultos, el 80% son secundarias a un proceso patológico, como tumores, líneas de sutura o adherencias. Una invaginación intestinal como identificación inicial de un cáncer de intestino ciego es infrecuente. En la presentación origen benigno o maligno no existen diferencias significativas, tanto en sintomatología como en imagen. El principal síntoma de presentación es el dolor abdominal, que se caracteriza por ser intermitente y con calambres.
Conclusión
En la intususcepción durante la infancia predomina la etiología idiopática y se manifiesta con la clásica tríada de dolor, sangrado (hematoquecia) y tumoración palpable, en tanto que en los adultos tiene una causa mecánica definida y una sintomatología inespecífica.
La intususcepción ocurre rara vez en los adultos y casi la mitad de sus causas son de origen maligno. La tomografía computarizada es una herramienta útil para identificar el sitio de la intususcepción. En la población infantil, realizar la reducción puede beneficiar al paciente como tratamiento, pero en los adultos se debe efectuar la resección sin reducción, conservando un margen quirúrgico cuando exista sospecha de actividad tumoral.
La intususcepción es una patología poco frecuente en adultos y de difícil diagnóstico, que requiere de una amplia sospecha diagnóstica. La tomografía es el estudio de elección para el diagnóstico de la intususcepción intestinal, sin embargo, la verdadera causa de intususcepción se diagnostica con precisión mediante el estudio histopatológico.
Bibliografía
Liano, G., Xeropotamos, N., Bali, C. et al. (2013). Adult bowel intussusception: presentation, location, etiology, diagnosis and treatment. G Chir, 34, 280-283.
Ríos, C., Ramírez, M., López, P., Quiroz, M., Bezares, B. (2014). Invaginación intestinal: un dilema diagnóstico en el adulto. Reporte de dos casos y revisión de la bibliografía. Cir Cir, 82, 436-41.
Zubaidi, A., Al-Saif, F., Silverman, R. (2006). Adult intussusception. A retrospective review. Diseases of the Colon & Rectum, 49, 1546-1551.


