Autor: Dr. Edilberto José Montenegro Martínez
Directora de la carrera: Dra. Marta Luján Kura
Tutora de TFI: Dra. Rosina Arbuci
Resumen
El edema óseo constituye un hallazgo vinculado a múltiples procesos inflamatorios que afectan la médula ósea, que puede definirse como un patrón de imagen en resonancia magnética caracterizado por una señal, en la zona medular del hueso, de contorno por lo general impreciso e irregular, relativamente homogénea y no como una lesión en sí, asociado a acumulación de líquidos inflamatorios en zona medular, cuyo síntoma principal es el dolor. Algunos de estos hallazgos presentan características que permiten su diferenciación por imagen, pero en muchos casos conocer los datos clínicos contribuye a establecer un diagnóstico adecuado.
El edema óseo es un hallazgo prevalente en estudios de resonancia magnética de rodilla tras lesiones traumáticas. En el presente trabajo doctoral se exponen los diferentes patrones de edema óseo de origen traumático, analizando su correlación con las lesiones de partes blandas y los mecanismos de lesión más frecuentemente implicados. Los resultados muestran una fuerte asociación entre el edema óseo y el daño ligamentario. Se destaca el impacto diagnóstico y terapéutico de la resonancia magnética como la modalidad de imagen diagnóstica por elección, convirtiéndose en una herramienta de gran valor para la toma de decisiones.
Palabras clave: edema óseo, patrones, rodilla, traumático, resonancia magnética, lesiones de tejidos blandos, mecanismos de lesión, diagnóstico.
Introducción
La gonalgia representa un motivo frecuente de consulta clínica general y de urgencias, en especial en los casos de traumatismos, en particular porque es una articulación muy expuesta, altamente susceptible a lesiones, constituye una causa importante de discapacidad en la población general y en deportistas, ya sea de origen agudo o de presentación crónica, por lo cual es crucial comprender los mecanismos involucrados.
El médico radiólogo desempeña un rol fundamental en el diagnóstico de las lesiones que implican a esta articulación, proporcionando una correlación de los patrones de imagen obtenidos en resonancia magnética y los principales mecanismos subyacentes por los cuales se produce una lesión, así como sus biomecánicas implicadas; es aquí donde el estudio de los patrones de edema óseo se convierte en un indicador clave para predecir y detectar lesiones asociadas en los tejidos blandos.
El edema óseo constituye una condición clínica con frecuencia inespecífica, asociado a múltiples causas, con una evolución variable cuya principal manifestación es el dolor. Este hallazgo implica la investigación de sus múltiples etiologías, tanto reversibles como aquellas que no lo son, siendo las más comunes los traumatismos y las sobrecargas físicas.
El diagnóstico se realiza principalmente mediante resonancia magnética; esta herramienta se convierte en la prueba de elección no invasiva capaz de evaluar y detectar con alto nivel de sensibilidad las lesiones traumáticas de rodilla. Esta técnica de imágenes ofrece una visualización detallada del tejido óseo, permitiendo la identificación de líquido inflamatorio clave para la evaluación precisa, esencial para establecer el diagnóstico, evolución y tratamiento apropiado.
Diagnóstico
El patrón de edema óseo como una huella que se deja al sufrir una la lesión permite, mediante su análisis y distribución, comprender los mecanismos implicados en la lesión, por lo tanto, predecir con exactitud las anormalidades de tejidos blandos asociadas que pueden estar presentes, sumado a la resonancia magnética como herramienta avanzada con gran capacidad de formación de imágenes de gran utilidad para la evaluación de esta condición.
Las principales fuerzas que actúan sobre la articulación de la rodilla incluyen la traslación (anterior y posterior), angulación (varo y valgo), rotación (interna y externa), hiperextensión, carga axial y golpe directo. La mayoría de las lesiones de la rodilla son el resultado de dos o más fuerzas ejercidas en una posición reflexionada o extendida. Cinco patrones de contusión con lesiones de tejidos blandos asociados ocurren en la rodilla, en muchos casos el mecanismo de la lesión se puede determinar mediante el estudio de la distribución del edema de médula ósea, que entonces permite predecir con precisión las anormalidades específicas de los tejidos blandos que pueden estar presentes.[i]
Se establece que la resonancia magnética (RM) es la modalidad de imagen óptima para identificación de lesiones de tejidos blandos, superficie cartilaginosa y lesiones óseas alrededor de la rodilla. La RM ha sido la técnica de elección desde la década de 1990. Es una herramienta valiosa en el proceso de toma de decisiones y la modificación del plan de tratamiento en los pacientes con lesiones meniscales o lesiones de superficie contrarias, permite la intervención quirúrgica de forma más temprana por los diagnósticos más precisos. Varios autores y estudios han validado que la artroscopia diagnóstica puede ser evitada por el alto valor predictivo negativo de una RM. Un estudio encontró que la RM tiene un valor predictivo positivo dos veces mayor al de los exámenes clínicos para lesiones por desgarro meniscal.[ii]
Las radiografías en el trauma agudo no evalúan de manera confiable todas las lesiones importantes, y los resultados en el 25% de las radiografías de rodilla obtenidas para trauma agudo no se correlacionan con los resultados clínicos. Además de las fracturas clínicamente significativas, se debe considerar otro tipo de lesiones. La mayoría de los pacientes que se presentan con lesión por trauma de rodilla en sala de emergencias presentan afectación de tejidos blandos en lugar de lesiones óseas. Incluso en pacientes con fracturas, concomitantemente existen lesiones de tejidos blandos. En un estudio se comprobó que hasta en un 90% de los pacientes con fractura de la meseta tibial que ameritaron tratamiento conservador, presentaron importantes lesiones de tejidos blandos, que son diagnosticadas con RM, incluyendo desgarros de ligamentos y meniscos. La ruptura del LCA es responsable de más del 70% de todas las hemartrosis en atletas jóvenes, y el 17% en población sedentaria.
El bloqueo, la presencia de un cuerpo libre en radiografías y hemartrosis dentro de las primeras 12 horas de la lesión se han registrado previamente como las indicaciones para realizar artroscopia en lugar de RM. Sin embargo, se constató que en el 48% de los pacientes que se presentan con una rodilla bloqueada aguda, el manejo se cambió de quirúrgico a manejo conservador a partir de los hallazgos en la RM.
Las lesiones por torsión son responsables de tres cuartas partes de todas las lesiones de rodilla. Sin embargo, el 86% de todas las fracturas de rodilla son resultado de un traumatismo directo. El riesgo de fractura aumenta con la edad, una fractura es cuatro veces más probable en los pacientes mayores de 50 años, presumiblemente secundaria a osteoporosis, aumento de la frecuencia de traumatismo, y a su incapacidad para proteger la rodilla durante la caída.[iii]
La RM es más sensible para la detección de dislocación papilar lateral que las radiografías, incluyendo los daños a la articulación parte, la femoral medial, ligamento, contusiones óseas y lesión osteocondral. La RM tiene una alta precisión, lo que demuestra que puede reemplazar de forma eficaz una artroscopia diagnóstica para evaluar lesiones meniscales y desgarros de ligamentos mediante el enfoque biomecánico; en la interpretación de la RM rodilla, se podrán utilizar las lesiones detectadas, como contusión ósea y ruptura de ligamento, para predecir anomalías sutiles pero importantes, que de otra manera pudieran pasar desapercibidas.
Marco teórico
La gonalgia es el principal síntoma clínico en el edema óseo, hace referencia al “dolor de rodilla”. Este se clasifica según la temporalidad de inicio, si fue traumático. Se habla de gonalgia aguda cuando el dolor es menor a seis semanas de evolución, y crónica cuando es mayor o igual a seis semanas. La segunda clasificación es identificar si hubo trauma asociado: si fue de alta o baja energía y si la lesión fue con o sin contacto. Otra de las clasificaciones, más útil, al revisar los diagnósticos diferenciales de gonalgia, es según la localización del dolor.(30)
El concepto de edema óseo fue descrito por primera vez por Wilson en 1988, como un cuadro clínico doloroso que muestra en la imagen de RM una señal hipointensa en las secuencias T1 e hiperintensa en las T2, y fue interpretado como un aumento del contenido de agua en la médula ósea.(4) Actualmente, se considera más correcto emplear el término “lesiones de médula ósea”, que engloba un amplio grupo de condiciones clínicas que comparten el dolor como síntoma principal e imagen similar en la RM, pero con gran variabilidad etiopatogénica e histológica.[iv]
Las lesiones musculoesqueléticas a menudo conducen a un edema de la médula ósea, que se detecta de manera óptima mediante la RM ponderada en T1 y con supresión de grasa. Aunque los cambios histopatológicos observados en la RM no están claramente definidos, las alteraciones en la intensidad de la señal de la RM después de una lesión pueden incluir alteración de elementos celulares, necrosis, hemorragia, microfracturas óseas trabeculares y edema, los patrones únicos de edema óseo sirven como una herramienta importante para dilucidar el mecanismo y el tipo de lesión musculoesquelética. Además, el patrón de edema puede llevar al clínico a centrar su atención en las áreas asociadas a la lesión, que de otro modo podrían pasarse por alto.(5)
La estabilidad de la rodilla se sustenta principalmente en los tejidos de partes blandas y una pequeña parte en las estructuras óseas (cóndilos femorales y meseta tibial), siendo los ligamentos, meniscos, músculos, fascias y tendones la base tanto de la estabilidad dinámica como de la estática. En este contexto, hay que destacar las esquinas posteromedial y posterolateral de la rodilla como dos zonas críticas, la primera, conformada por el tendón del semimembranoso, la cápsula articular posteromedial y el ligamento oblicuo posterior, tienen como función principal la resistencia a la traslación posteromedial de la tibia, mientras que la segunda, constituida principalmente por el ligamento arcuato, cápsula articular posterolateral, el tendón y músculo poplíteo, y el ligamento popliteofibular, resisten a la rotación posterolateral de la tibia y secundariamente limitan su traslación en relación con el fémur. La lesión de estas estructuras origina una marcada inestabilidad rotacional, sobre todo en extensión, siendo más severa la pérdida traumática de la esquina posterolateral. Sin embargo, hay que destacar que, debido a su disposición, en ocasiones puede ser difícil una adecuada visualización de todos sus componentes en un estudio de RM convencional, lo que obliga a que su valoración sea realizada de manera metódica y sistemática.[v]
Es necesario definir los elementos que ayudarán a la sospecha diagnóstica y guiarán la evaluación posterior, ya que orientan a las estructuras anatómicas posiblemente lesionadas. Estos son: la temporalidad de la lesión, si es traumática o no, y el tipo de mecanismo de la lesión. El tipo de mecanismo de la lesión se refiere a la cantidad y dirección de la fuerza aplicada sobre la articulación y su posición anatómica al recibirla. Las principales fuerzas que actúan sobre la rodilla son la angulación en varo o valgo, rotación interna o externa, hiperextensión, traslación anterior o posterior y el trauma directo. La mayoría de las lesiones son el resultado de la combinación de una o más de estas fuerzas, con la rodilla posicionada en flexión o extensión.[vi]
Biomecánica de la rodilla
En cuanto a la biomecánica, la articulación de la rodilla se considera una de las más complejas, debido a que soporta la mayor parte del peso del cuerpo, ya sea para conseguir la estabilidad en extensión máxima como para disipar y transferir las cargas entre los huesos en cada uno de los movimientos. Por lo tanto, esta articulación es la que recibe todo el peso del cuerpo en el despegue y la recepción de los saltos. Esto demarca la importancia que tiene la articulación para las distintas funciones encargadas de llevar a cabo las actividades de la vida diaria, como la marcha y la carrera. A su vez, esta articulación debe estar dotada de gran movilidad para orientar eficazmente al pie en relación con las irregularidades del terreno. En definitiva, debe conciliar una buena estabilidad en extensión completa para poder soportar el peso del cuerpo y brindar una buena estabilidad y, por otro lado, debe poseer una buena movilidad en flexión para para orientar de manera correcta el pie durante la marcha.
Es necesario dar una breve reseña de la anatomía de esta articulación, de esta forma se tienen las bases para conocer la articulación a fondo y poder entrar así en el terreno de la RM en la rodilla.
Anatomía de la rodilla
La articulación de la rodilla se compone de cuatro huesos: fémur distal, tibia proximal, peroné proximal y rótula. Se clasifica como una articulación de tipo troclear y se puede diferenciar en tres compartimentos: femorotibial medial, lateral y femoropatelar. Se trata de una articulación con gran incongruencia ósea; aun así, cuenta con gran estabilidad, proveniente de las estructuras ligamentosas y meniscos.
La articulación femorotibial medial es más estable, debido a que el cóndilo femoral medial es convexo y el platillo tibial cóncavo, que, junto con el menisco, el cual está íntimamente anclado al platillo tibial, le aporta mayor estabilidad a la rodilla que la articulación femorotibial lateral, con un menisco más móvil y un platillo tibial convexo.[vii]
Las estructuras que comprende la rodilla son las siguientes:
- Huesos.
- Ligamentos y tendones.
- Músculos.
La rodilla está conformada en particular por tres huesos: el fémur, la tibia y la patela o rótula, como se la conoce en forma común. Existe otro hueso que se une a la tibia sin entrar directamente en la articulación y que presenta muy poco movimiento cuando la rodilla se mueve: el peroné.
La articulación de la rodilla es una articulación sinovial, esto quiere decir que la articulación está envuelta en una cápsula que contiene líquido sinovial, que sirve como lubricante. La rodilla se forma mediante la unión del extremo distal del fémur, donde se encuentran los cóndilos femorales, con el extremo proximal de la tibia. Este extremo es casi plano y se conoce como meseta tibial o platillos tibiales, que pueden ser externos e internos, siendo el externo el más alejado de la otra rodilla. La rótula se desliza por en medio de los cóndilos en que se le conoce como escotadura intercondílea. En la zona de contacto todos los huesos son protegidos por un cartílago. Sin estos cartílagos, el hueso pierde su protección y puede sufrir daños estructurales.[viii]
Huesos
En la realidad la rodilla es una articulación compuesta por tres articulaciones más pequeñas; se trata de dos articulaciones del tipo femorotibiales, entre fémur y tibia; y una de tipo femoropatelar, entre fémur y rótula. Como ya se mencionó con anterioridad, los tres huesos principales que conforman la rodilla es son el fémur, la tibia y la rótula.
Fémur
EI fémur distal forma parte de las tres articulaciones dentro de la rodilla: femorotibial medial, lateral y femoropatelar. Los cóndilos femorales son asimétricos entre sí, tanto en tamaño como en curvatura; el medial es el más grande y con la concavidad más simétrica. Entre ellos se separan por la fosa intercondílea, donde se alojan los ligamentos cruzados. En cada uno de los cóndilos hay varias referencias anatómicas importantes, dos de ellas son los epicóndilos lateral y medial, donde se insertan el ligamento colateral lateral y medial, respectivamente. Proximal a este último se encuentra el tubérculo del aductor, en el que se inserta el tendón del músculo aductor mayor.[ix]
EI fémur se conecta en su parte superior con la cadera y cuenta con las siguientes partes anatómicas:
- Cabeza.
- Cuello.
- Trocánter mayor.
- Trocánter menor.
EI fémur continúa desde su parte superior, en el cuerpo de este, presenta una estructura tubular que sirve de inserción para los músculos del muslo, transmitiendo las líneas de carga o fuerza desde el tronco hasta la rodilla. En la parte inferior termina en los cóndilos y junto con la tibia conforman la articulación.
Rótula
Es un hueso de forma plana, de apariencia redonda u ovalada, que se prolonga hacia abajo por su polo o vértice inferior. Lo conforman dos caras:
- Cara anterior. Tiene forma convexa y sirve de polea para los tendones del cuádriceps y rotuliano.
- Cara posterior. Se orienta hacia el interior de la articulación. Tiene dos aspectos, interno y externo, que contactan con los cóndilos femorales, ajustando su forma cóncava con la forma convexa de los cóndilos.
Tibia
Conforma junto con el peroné a la pierna, siendo el más robusto de los dos, es el que soporta el peso corporal y se encarga de transmitir las fuerzas de la rodilla al tobillo. En su extremo superior se encuentran los platillos tibiales, interno y externo, en los cuales se apoyan los cóndilos femorales. En su extremo inferior se encuentra el maléolo interno del tobillo, que junto con el maléolo externo encontrado en el peroné conforma una abrazadera que soporta al astrágalo.
También en su parte superior, la tibia y el peroné forman una articulación prácticamente fija; esta solo realiza movimientos de deslizamiento.[x]
Meniscos
Los meniscos, semilunares, externo y externo, son otras formas de estructuras cartilaginosas que se encuentran en el interior de la rodilla y son de suma importancia en el desplazamiento entre el fémur y la tibia. Se hallan entre los cóndilos y los platillos tibiales y, debido a su elasticidad, actúan como amortiguadores al momento de transmitir el peso a través de los huesos de la articulación. Al estar paralelos a los platillos tibiales tienen forma de “C”, para adaptarse a estos últimos, el menisco interno es de mayor tamaño y ligeramente más amplio, mientras que el externo cuenta con mayor grosor.
Para mantenerse en su posición los meniscos se encuentran anclados a la cápsula de la rodilla, además de estar sujetos entre sí y con los cóndilos por los ligamentos.[xi]
El menisco interno está fuertemente unido a la cápsula articular con la ayuda de los ligamentos meniscocapsular y meniscotibial. También están presentes en el menisco lateral, pero tienden a ser discontinuos debido a la inserción del tendón poplíteo.
Ligamentos
Son tiras de tejido que conectan los extremos de los huesos. Existen dos ligamentos importantes a los lados de la rodilla: el ligamento lateral externo (LLE) y ligamento lateral interno (LLI). Por adentro de la rodilla, entre el fémur y la tibia, existen otros dos ligamentos, estos son, el ligamento cruzado posterior (LCP) y ligamento cruzado anterior (LCA). Los ligamentos laterales previenen que la rodilla se mueva demasiado hacia los lados, mientras que los cruzados controlan el movimiento atrás-adelante de la articulación. A detalle, el LCA evita que la tibia se desplace muy por delante del fémur, el LCP evita lo contrario, es decir, que la tibia se desplace muy por detrás del fémur.
RM de rodilla en el diagnóstico de edema óseo
Las afecciones de la médula ósea son difíciles de detectar mediante el uso de la radiografía simple y la tomografía axial computarizada. Por su parte, la gammagrafía ósea es capaz de detectar esta afección de forma temprana, pero su especificidad es muy baja.
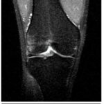
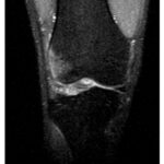
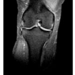
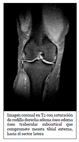
La RM constituye el examen imagenológico de elección para el diagnóstico del edema óseo por su alta especificidad y sensibilidad. La imagen en T1 muestra baja intensidad de señal al compararlas con la médula sana y es de color negro, en T2 en especial con el uso de técnicas de saturación de grasa se detecta intensidad de señal alta que se observa de color blanco. El STIR (Short-Tau Inversion Recovery) es la secuencia universal para detectar el edema óseo al suprimir la señal de la grasa y evidenciar los focos de edema óseo, Por otra parte, la RM permite detectar otras lesiones asociadas en la articulación.[xii] La clasificación de Bartl, citada por Livia et al., divide el edema óseo alrededor de la rodilla en cuatro grados según aparece en la Tabla 1:
La RM es una técnica eficaz para valorar las anomalías óseas y de partes blandas postraumáticas, en especial en la búsqueda de lesiones ocultas, usando como guía fundamental los patrones de edema de la médula ósea asociados a cada mecanismo lesional.
Etiologías
Actualmente, existen datos contradictorios en la literatura sobre las causas de la detección del edema óseo en la RM. Por lo general, una etiología traumática aguda pura es la principal causa de esta en atletas, aunque en algunos casos esta condición también puede resultar de trauma repetitivo o crónico, el estrés repetido desencadena una reacción de estrés en el hueso, lo que puede resultar en hipertrofia y remodelación trabecular. De hecho, las trabéculas sometidas a este proceso forzado presentan microfracturas, acompañadas de la presencia de edema óseo en la RM. El trauma leve provoca la aparición de edema óseo sin daño detectable a los elementos celulares, mientras que un trauma más severo causa la aparición de microfracturas y hemorragia en el hueso trabecular.
Biológicamente, el hueso responde al estrés repetitivo con un desequilibrio entre la actividad de los osteoclastos y los osteoblastos, lo que provoca una alteración en el recambio óseo y, por lo tanto, un debilitamiento del propio hueso. Al inicio, el hueso se adapta formando nuevo hueso periosteal para proporcionar soporte estructural. Si la fuente de estrés persiste, hay un aumento significativo en la actividad osteoclástica en detrimento de la actividad osteoblástica, lo que resulta en microfracturas.[xiii]
Es probable que el edema de la médula ósea esté causado por fuga capilar, ya sea por un cambio local en la pared capilar (por ejemplo, traumatismo, tumor) o por un aumento de la presión intravascular. El aumento de la presión intravascular puede ser hiperémico, debido al incremento del flujo sanguíneo a la médula, o congestivo, debido a la disminución del aclaramiento venoso del tejido de la médula ósea.[xiv]
Las causas isquémicas de edema óseo por lo general se presentan de forma combinada e incluyen cuatro entidades: osteonecrosis, síndrome de edema óseo medular, osteocondritis disecante y el síndrome doloroso regional complejo. La osteonecrosis se caracteriza por la presencia de isquemia en zonas óseas. La rodilla es la segunda articulación más afectada después de la cadera. En específico en la articulación de la rodilla, existen dos variedades o tipos de osteonecrosis, la espontánea y la secundaria. La secundaria es observada por lo general en pacientes jóvenes, de entre 20 y 55 años, que tienen asociados factores de riesgo para esta entidad. En ellos se observan múltiples zonas de isquemia en ambas rodillas y en otras articulaciones. Por otra parte, la osteonecrosis espontánea es detectada en pacientes por encima de 55 años, sin factores de riesgo, y se localiza por lo general en el cóndilo femoral medial. El síndrome de edema óseo medular es causado por isquemia difusa subaguda, a la radiografía simple no se detectan alteraciones entre cuatro o seis semanas, luego se observa un área de desmineralización y debido a estas características algunos autores la definen como una osteoporosis transitoria. El diagnóstico es realizado por RM y de forma típica involucra un cuadrante entero de la rodilla. La principal característica de esta entidad es su comportamiento difuso, la ausencia de alteraciones de la morfología ósea, sin antecedentes de trauma, y tiene un curso reversible en la mayoría de los pacientes entre tres y doce meses con un promedio de seis.[xv]
Recomendaciones para evaluar el patrón de edema óseo en las imágenes de RM:
Primero: confirmar el patrón típico de edema óseo con las imágenes en T1 e intentar diferenciar entre el verdadero “Síndrome de edema óseo” y otras entidades en las que este edema es un hallazgo asocia do a otra entidad, como en algunos tumores, infecciones, osteonecrosis o artrosis.
Aspectos a tener en cuenta para diferenciar osteonecrosis (ON) y síndrome de edema óseo transitorio (SEOT):
a) Las alteraciones focales transitorias en RM, incluyendo zonas hipointensas (edema óseo) no evolucionan a osteonecrosis, pero cuando la zona tiene cambios similares al anillo de baja señal el valor predictivo para ON es de casi del 70%.
b) La fase precoz de la ON dura pocos días (en cinco días la necrosis es completa), por lo que el signo del anillo es precoz. Por esto, la presencia de edema óseo aislado, sin signos de anillo ni doble línea, en una RM realizada varias semanas después del inicio de los síntomas, descartaría ON o, al menos, sería un indicador de buen pronóstico.
Segundo: con las imágenes en T2, evaluaremos el cartílago articular, la superficie ósea subcondral y la médula ósea subcondral. Si el cartílago está alterado significa que la lesión es irreversible (artrosis, ON). Si la superficie ósea subcondral está interrumpida o la epífisis ha perdido esfericidad, la lesión también es irreversible. Cuando se observa una imagen lineal con señal de líquido debajo del con torno epifisario, es compatible con fractura, y la lesión sería irreversible (ON, artrosis).[xvi]
Finalmente, tras descartar lesión cartilaginosa y fractura subcondral, es útil detectar y cuantificar los posibles cambios focales subcondrales (áreas hipointensas en T2 o hiperintensas en T1). El pronóstico es favorable si no hay cambios focales subcondrales adicionales (lesión reversible, SEOT, fractura por insuficiencia). En cambio, la presencia de un área subcondral con señal hipointensa en T2 de espesor igual o superior a 4 mm, es decir mayor que el espacio articular, sugiere una lesión irreversible: ON o artrosis, con una especificidad en torno al 92%. Cuando la señal hipointensa es menor de 4 mm el pronóstico es incierto (fractura por insuficiencia u ON). En aquellos casos en los que el pronóstico no se puede establecer, la reevaluación con una nueva RM a los tres meses es una opción adecuada.[xvii]
Las causas mecánicas de edema óseo están relacionadas por lo general con eventos traumáticos, que pueden ser definidos en ocasiones por la radiografía simple y la tomografía axial computarizada. Sin embargo, existen pacientes con dolor inespecífico que no responde de forma adecuada al tratamiento después de recibir un trauma, y la radiografía simple es normal. Las entidades que responden a este grupo son la contusión ósea, la microfractura, fracturas de estrés y el edema óseo relacionado con el estrés. La contusión ósea es provocada por un trauma directo sobre el hueso, por compresión o distracción. Se observa en la IRM un área subcortical difusa que coincide con la zona del dolor y no se observan signos de osteonecrosis o fracturas.[xviii]
Dentro del grupo de las causas reactivas estas ocurren en pacientes con antecedentes de alguna entidad en específico o intervención quirúrgica. Podemos encontrar en este grupo la gonartrosis, artritis infecciosas, posoperatorias y las relacionadas con tumores óseos. En caso de pacientes con gonartrosis, la IRM además de identificar el edema óseo es útil para detectar el derrame sinovial, edema subcondral, lesiones de menisco, cuerpos libres, anormalidades en el grosor y el contorno del cartílago articular. La presencia de edema óseo en pacientes con gonartrosis es un factor muy importante de progresión de la enfermedad. El edema óseo reactivo a infecciones como la artritis séptica y la osteomielitis puede ser identificado por IRM, que es capaz de detectar de forma temprana la participación ósea en cuanto a extensión y localización además de la severidad de la enfermedad. En la evolución posoperatoria de pacientes, la IRM es indicada en enfermos que continúan con dolor. El edema óseo posoperatorio es detectado en enfermos a los que se les realiza reconstrucción de los ligamentos cruzados y meniscectomías artroscópicas. La presencia de este edema es observada por lo general de seis a doce meses después de la cirugía. La realización de la meniscectomía en enfermos por encima de los 50 años se asocia a un incremento del edema óseo.[xix]
Incidencia y factores de riesgo
La correlación entre la densidad mineral ósea y las lesiones de la médula ósea en las áreas de mayor estrés mecánico con los cambios en la señal de RM en pacientes con dolor de rodilla y osteoartritis, encontraron que el aumento de la densidad mineral ósea estaba fuertemente asociado con lesiones de la médula ósea en los compartimentos medial y lateral. Esto apoyó la hipótesis de que la densidad mineral ósea local es un reflejo de la carga mecánica dentro de la rodilla. Esta carga articular anormal y las correspondientes lesiones de la médula ósea subcondral están implicadas en la fisiopatología de la artrosis.[xx]
Patrones de edema de medula ósea
La mayoría de las lesiones en musculoesquelético están asociadas a zonas de edema de la médula ósea, que se manifiestan como una alteración de la señal de márgenes mal definidos, hipointensas en secuencias potenciadas en T1 e hiperintensas en secuencias T2. Estos cambios de la intensidad de señal representan áreas de hemorragia, necrosis o hiperemia debido a microfracturas trabeculares. La sensibilidad de la RM para detectar contusiones óseas es de 91%-96% y una especificidad de 86%-96%. La frecuencia de las contusiones en el trauma agudo de la rodilla se sitúa alrededor del 65%, y en el 58% en aquellas asociadas a lesiones serias de partes blandas, tales como roturas ligamentosas y meniscales.
En general, las fuerzas que actúan sobre la rodilla originan una lesión por impactación en el sitio de entrada (por ejemplo, cóndilo femoral interno) y otra por distracción o avulsión en el lado contralateral (por ejemplo, cóndilo femoral y platillo tibial externo). Las contusiones por impactación suelen ser más amplias, mientras que las de contragolpe se manifiestan comúnmente como áreas focales de menor tamaño. El trauma directo es otro mecanismo conocido, originando una contusión sobre las partes blandas y hueso subcondral subyacente.[xxi]
Lesiones inducidas por traumatismos
La alteración o el aumento de la tensión mecánica en el hueso, incluida la biomecánica desordenada y la disfunción articular, es una fuente importante de edema de la médula ósea y dolor.[xxii]
Mecanismos lesionales y patrones de edema de médula ósea asociados
Pivot shift
Es una contusión ósea del labio posterior de la meseta tibial medial. Ocurre durante la reducción de rodilla después de una lesión de cambio de pivote y está altamente asociada con desgarros del LCA y desgarro periférico o separación meniscocapsular del menisco medial posterior del asta. Este patrón se observa en casos de lesiones de la cápsula anterior de la rodilla, se caracteriza por una aparente subluxación de la tibia cuando la rodilla se flexiona y extiende.
Patrones de edema óseo:
- Meseta tibial posterolateral y parte media del cóndilo femoral lateral.
Lesiones de partes blandas:
- Desgarros del ligamento cruzado anterior (LCA).
Hiperextensión
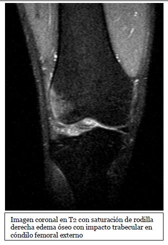
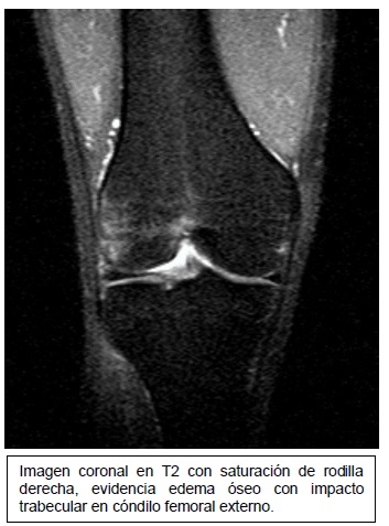
La hiperextensión forzada de la rodilla puede ser el resultado de una fuerza aplicada sobre la vertiente anterior de la tibia mientras el pie está plantado o “bloqueado”, o de una fuerza indirecta, por ejemplo, durante la acción de patear un balón. Las lesiones de mayor severidad en general son secundarias al trauma directo, originando un desplazamiento posterior de la tibia y cóndilos femorales, con distracciones severas en las estructuras posteriores de la articulación, así como la presencia de fracturas. Dependiendo del tipo y grado de fuerza aplicado sobre la articulación, podemos encontrar los siguientes hallazgos.[xxiii]
Hiperextensión pura
Patrones de edema óseo:
- Contusiones en la vertiente anterior de la tibia y/o vertiente anterior de los cóndilos femorales por impactación.
Lesiones de partes blandas:
- Rotura del ligamento cruzado posterior en los casos donde predomina el desplazamiento posterior de la tibia.
- Rotura del ligamento cruzado anterior en los casos donde predomina el desplazamiento posterior del fémur.
Hiperextensión con inclinación en valgo
Patrones de edema óseo:
- Contusiones en la vertiente anterolateral de la tibia, peroné y cóndilo femoral externo por impactación.
- Esquina posteromedial por avulsión/contragolpe.
Lesiones de partes blandas:
- Desgarros del ligamento colateral medial, cápsula posterior, ligamento cruzado posterior.[xxiv]
Hiperextensión con inclinación en varo
Patrones de edema óseo:
- Contusiones en la vertiente anteromedial de la tibia y cóndilo femoral interno por impactación.
- Esquina posterolateral o peroné proximal por avulsión/contragolpe.
Lesiones de partes blandas:
- Desgarros del ligamento colateral lateral, tendón poplíteo, cápsula posterior, ligamento cruzado anterior.
Valgo puro
La lesión por una fuerza en valgo se presenta por lo general sobre una articulación levemente flexionada, originando un desplazamiento medial de la tibia y los cóndilos femorales, con distracciones severas en las estructuras de soporte medial de la articulación.
Patrones de edema óseo:
- Contusiones en la vertiente lateral de la tibia y/o vertiente lateral de cóndilos femorales por impacto.
Lesiones de partes blandas:
- Desgarro del ligamento colateral medial.
- Rotura del ligamento cruzado anterior o posterior, dependiendo del grado de fuerza aplicada, y su predominancia sobre la tibia o fémur, respectivamente.
El traumatismo de la rodilla en valgo, asociado a flexión y rotación externa de la tibia, es considerado como el tipo de presentación más frecuente dentro de las lesiones en valgo. Incluso se ha descrito como el mecanismo traumático más común de las lesiones complejas de rodilla, representando alrededor del 46%.
Este tipo de lesiones se presentan de manera usual en situaciones de rápida desaceleración o cambios súbitos de dirección, por lo que comúnmente se observa en jugadores de fútbol o esquiadores, entre otros. Este tipo de maniobras origina una sobrecarga sobre el ligamento cruzado anterior, que puede dar como resultado su rotura; como consecuencia, se produce una subluxación anterolateral de la tibia, y luego, una impactación del cóndilo femoral lateral con la vertiente posterolateral del platillo tibial. De esta situación podemos encontrar los siguientes hallazgos:[xxv]
Patrones de edema óseo:
- Contusiones en la porción media y/o posterior del cóndilo femoral externo y esquina tibial posterolateral por impactación.
- Contusiones en el cóndilo femoral interno y esquina tibial posteromedial por contragolpe, tras la resolución de la fuerza en valgo.
Lesiones de partes blandas:
- Rotura del ligamento colateral medial y ligamento cruzado anterior.
- Mayor riesgo de lesión del menisco interno o externo. De manera ocasional, desgarro de la cápsula posterior y ligamento arcuato/poplíteo.
Ante la presencia de este patrón de edema óseo, es importante valorar la integridad del LCA, teniendo en cuenta que, por su localización y trayecto desde el cóndilo femoral lateral en la escotadura intercondílea hasta su inserción distal en la espina tibial anterior, se visualiza mejor en un plano sagital oblicuo, pero nunca olvidar que se debe valorar también en los planos axial y coronal.[xxvi]
Varo
El trauma aislado en varo es un mecanismo lesional poco frecuente, ya que comúnmente lo vemos asociado a diferentes grados de flexión o extensión de la articulación. Está caracterizado por un patrón de contragolpe en el sitio de impacto y lesiones ligamentosas por distracción en el lado contralateral.
Patrones de edema óseo:
- Contusiones en la vertiente medial de la tibia y/o vertiente medial de cóndilos femorales.
Lesiones de partes blandas:
- Desgarros del ligamento colateral lateral y/o banda iliotibial.
Por lo que en general la vemos asociada a flexión y rotación interna de la tibia, donde comúnmente se ven afectados los componentes del cuadrante anterolateral, en especial las fibras posteriores de la banda iliotibial, dando como resultado una inestabilidad anterolateral. Este tipo de lesiones suelen presentarse en un individuo en movimiento, cuando el pie queda “bloqueado” al suelo con cierto grado de rotación medial originando por consiguiente la rotación interna de la tibia y la angulación en varo de la rodilla. En estas situaciones se pueden observar los siguientes hallazgos:
Patrones de edema óseo:
- Contusiones en el cóndilo femoral externo y esquina tibial posterolateral por impactación, secundario a la rotura del ligamento cruzado anterior.
- Edema secundario a fractura-avulsión de la inserción tibial de la cápsula articular lateral (fractura de Segond) o fractura-avulsión de la cabeza del peroné.
Lesiones de partes blandas:
- Rotura del ligamento cruzado anterior y banda iliotibial.
- Mayor riesgo de lesión del menisco externo o interno y de la estructuras ligamentosas y tendinosas de la esquina posterolateral.[xxvii]
Luxación transitoria lateral de la patela
La luxación transitoria lateral de la rótula (LTLR) es una lesión con frecuencia relacionada con la práctica deportiva en adultos jóvenes, representando aproximadamente del 9 al 16% de las lesiones con hemartrosis en jóvenes atletas. El diagnóstico en general se lleva a cabo a través de los antecedentes y el examen físico, aunque en ocasiones el aumento de volumen y el dolor no permite una correcta exploración de la rodilla, demostrándose que hasta un 50%-75% de los casos de LTLR son diagnosticados de manera errónea en el momento inicial. Es en estas situaciones donde se hace necesario el estudio con imagen.[xxviii]
Patrones de edema óseo:
- Contusiones en la vertiente anterolateral del cóndilo femoral externo y superficie medial de la patela.
Lesiones de partes blandas:
- Rotura del retináculo medial, destacando dos de sus componentes, el ligamento femoropatelar medial y el ligamento patelotibial medial. Sin embargo, en la mayoría de los casos no se logra diferenciar las distintas estructuras del retináculo en RM.
- Lesión osteocondral de la superficie patelar o femoral, principalmente de la faceta medial rotuliana.
- Desgarro del ligamento colateral medial y ligamento cruzado anterior ante grandes fuerzas.
Antecedentes
Se cree que los patrones específicos de anomalías de la médula ósea representan la huella de un mecanismo traumático específico. Comprender el mecanismo de la lesión puede ayudar a identificar lesiones intraarticulares más sutiles en la resonancia magnética, ya que cada mecanismo a menudo se asocia con un conjunto predecible de lesiones. En la literatura, se describen cinco mecanismos traumáticos diferentes (desplazamiento de pivot, choque directo con rodilla flexionada, hiperextensión, lesiones en varo o valgo y luxación lateral de rótula) y sus patrones asociados de médula ósea. Sin embargo, los patrones de conversión ósea observados en la práctica clínica habitual no siempre se ajustan a la descripción clásica de uno de estos mecanismos. Solo unos pocos estudios han descrito anomalías traumáticas de la médula ósea y su asociación con lesiones de rodilla de tejidos blandos. En otros estudios, las anomalías de la médula ósea se correlacionaron con uno o varios mecanismos traumáticos diferentes.[xxix]
Un estudio analizó las asociaciones entre las anomalías de la médula ósea en las 20 regiones anatómicas diferentes y el mecanismo de trauma clínico. En este estudio, se evaluaron 220 resonancias magnéticas de pacientes con lesión aguda de rodilla para investigar la asociación entre los patrones traumáticos de anormalidad de la médula ósea y los mecanismos específicos de lesión y lesiones de tejidos blandos, observando una superposición entre las lesiones de las contusiones óseas que afectan a los dos traumatismos más comunes (lesiones en valgo y en el desplazamiento del pivote).
Las regiones de la rodilla más frecuentemente afectadas por cambios en la médula ósea fueron la tibia posteromedial y posterolateral y el fémur lateral. Hallazgos globales concuerdan con estudios descritos por Vellet et al. En su cohorte de 159 pacientes, en los que las anomalías de la médula ósea tras lesiones de rodilla eran más frecuentes en la articulación lateral (en el 41% en el fémur lateral y en el 40% en la tibia lateral). La mayoría de las veces, la tibia posterolateral (34%). También mostraron edema de médula ósea en la tibia medial, en el 14% de los casos.[xxx]
Los mecanismos de lesión asociados entre los pacientes del estudio de Vellet et al. incluyeron el desplazamiento del pivote en el 57% de los casos, con menos casos de lesiones en valgo y en el salpicadero en comparación, debido a las diferentes terminaciones del mecanismo traumático (rotación, valgo, desaceleración); el mecanismo traumático más frecuente es la lesión en valgo, y las localizaciones más frecuentes de las anomalías de la médula ósea fueron la tibia posterolateral y el fémur centrolateral. En una revisión de los mecanismos traumáticos realizada por Sanders et al., que se basó en solo dos casos clínicos y en una revisión de la literatura clínica, las anomalías de la médula ósea se localizaron típicamente en el fémur lateral y la tibia lateral, en el contexto de lesiones en valgo, a las que se refieren como lesiones en clip. Sin embargo, el estudio de Sanders también mencionó anomalías de la médula ósea en el fémur medial.[xxxi]
El segundo mecanismo traumático más común es la lesión por cambio de pivote. Los sitios típicos de las anomalías de la médula ósea fueron la tibia posterior y el fémur centrolateral. Estos hallazgos concuerdan con los artículos de revisión antes mencionados. Los patrones de anomalías de la médula ósea en las lesiones en valgo y en las lesiones por desplazamiento del pivote, con patrones similares en el fémur, afectando sobre todo al cóndilo lateral, pero también en la tibia (principalmente en la tibia posterior y posterolateral). Esto dificulta la obtención de conclusiones y limita la utilización de la huella de las contusiones óseas para inferir el mecanismo de trauma subyacente. De hecho, hay pocas diferencias entre los dos patrones.
Los pacientes con luxaciones rotulianas también presentaban anomalías en la tibia, en especial en las regiones posteromedial y posterolateral, aunque la diferencia en los hallazgos podría deberse a la exclusión de las roturas de ligamentos cruzados, alrededor del 10% presentaban una luxación rotuliana, con anomalías de la médula ósea que afectaban típicamente a la rótula y al fémur anterior y centrolateral.
Las asociaciones entre las diversas lesiones intraarticulares de los tejidos blandos y los diferentes mecanismos. Las asociaciones entre las anomalías de la médula ósea y las lesiones de los tejidos blandos. En el caso del LCA, concuerdan con la mayoría de los estudios publicados, con anomalías típicamente localizadas en la tibia posteromedial y posterolateral y en el fémur centrolateral. También se han reportado anormalidades en la parte medial, pero con una prevalencia mucho menor (24% fémur medial, 26% tibia medial). En la literatura, las lesiones del LCP se han relacionado con anomalías de la médula ósea en la parte anterior de la tibia y el fémur anterolateral, pero también se ha informado que están ampliamente dispersas y asociadas con anomalías extendidas en la tibia. Del mismo modo, una gran disparidad entre la afectación tibial y femoral en las lesiones del LCP, con el fémur afectado solo en dos de las nueve regiones, a saber, la centrolateral y la posterolateral.
Las lesiones del LCM, las anormalidades de la médula ósea se localizaron principalmente en el compartimento lateral, confirmando los resultados de Miller et al., quienes investigaron las anormalidades asociadas en las lesiones aisladas del LCM, y encontraron que estas ocurrieron de modo predominante en el fémur lateral, la tibia lateral o ambas regiones. Los desgarros del LCL se asociaron con anomalías en múltiples regiones de la tibia y del fémur lateral. Un estudio realizado por Geeslin y La Prade reveló una asociación entre lesiones de la esquina posterolateral (incluimos solo el LCL aislado) y anomalías en el fémur anteromedial. Por el contrario, solo en el 2,7% de los casos observamos afectación anteromedial del fémur, lo que sugiere que esta región rara vez se ve afectada.
Objetivos
Objetivos generales
- Analizar la utilidad de la resonancia magnética (RM) para la caracterización de patrones de edema óseo traumático y su correlación con lesiones de partes blandas, evaluando los mecanismos de lesión más frecuentemente implicados, según se evidencia en estudios de RM.
- Establecer la utilidad de la RM en la evaluación de patrones de edema óseo en la rodilla y su correlación con los diferentes mecanismos de lesión.
Objetivos específicos
- Conocer los diferentes patrones de edema óseo y su asociación con los mecanismos de lesión en la valoración de la patología traumática de la rodilla por RM.
- Enfatizar la relevancia del edema óseo como indicador de posibles lesiones en los tejidos blandos de la rodilla.
- Describir los diferentes síntomas asociados al edema óseo de rodilla de causa traumática.
- Distinguir las diferentes causas de edema óseo de origen no traumático en la articulación de la rodilla.
Diseño metodológico
Con la finalidad de establecer los principales patrones de edema óseo y sus mecanismos de lesión, se efectuó estudio retrospectivo, observacional, teniendo en cuenta para su análisis exámenes de RM de la articulación de la rodilla. Así se pretendió buscar datos sobre las variables para su posterior evaluación detallada. Esta investigación a su vez es de tipo transversal, en la cual se utilizó como parte de la recolección de información la revisión de las historias clínicas de referencia. Se tomó una muestra de pacientes, la cual se examinó en un período de tiempo de un año, observándose los eventos que deriven conclusiones en pertinentes.
Materiales
Se realizó un estudio observacional y transversal en el Servicio de Resonancia Magnética del Centro Diagnóstico BIOIMÁGENES, en Lanús, provincia de Buenos Aires, Argentina, durante el período comprendido entre enero y diciembre de 2023, con un muestreo de 400 pacientes desde los 20 años de edad, de ambos géneros, cuya derivación al Servicio de Resonancia Magnética consistió en síntomas clínicos relacionados con dolor persistente y limitación funcional a nivel de la articulación de la rodilla, asociados con antecedente traumático.
Para el estudio de estos pacientes se utilizaron resonadores cerrados Philips Intera de 1.5 Tesla de alto campo. Los estudios se realizaron con paciente en posición decúbito supino. La adquisición de las imágenes se hizo posible con una bobina orientada horizontalmente y en posición neutral, programándose localizadores en el plano coronal sagital y axial.
Los diversos estudios radiológicos fueron obtenidos en el centro de diagnóstico BIOIMÁGENES, y han sido evaluados e informados por médicos especializados en imágenes musculoesqueléticas, quienes poseen un alto nivel de formación y entrenamiento en el diagnóstico de patologías articulares de la rodilla.
Recopilación de datos
Revisión de historias clínicas
Se revisaron las historias clínicas de los pacientes para establecer la causa del traumatismo, tipo de trauma mecánico, antecedentes de cirugía de rodilla y enfermedades crónicas, así como el tiempo entre el trauma y la evaluación por RM, documentándose variables como edad, sexo, tipo de lesión o clínica, con la finalidad de garantizar la fiabilidad de los datos.
Consentimiento
Se ha adquirido la autorización formal de todos los participantes mediante un consentimiento informado para la utilización de sus datos clínicos en investigaciones.
Población de estudio
Durante el período de un año, comprendido entre enero y diciembre de 2023, se estudiaron los patrones de edema óseo de la articulación de la rodilla de pacientes con antecedentes de traumatismo agudo de rodilla, los cuales fueron remitidos al Servicio de Resonancia Magnética, con edad superior a 20 años.
Análisis de imágenes
Se evaluaron de forma independiente los estudios de resonancias magnéticas para detectar la presencia de edema óseo (0 = no, 1 = sí) en la tibia, fémur y la rótula, realizando las adquisiciones de resonancia magnética con reconstrucciones en planos axial, sagital y coronal ponderadas en las secuencias T1, T2, STIR. Para el estudio de la articulación se dividió en 20 regiones anatómicas (Figura 1), utilizando un método de segmentación para la evaluación del edema óseo. La evaluación se realizó por médicos especializados en imágenes musculoesqueléticas, quienes cuentan un alto nivel de formación y entrenamiento en el diagnóstico de patologías articulares de la rodilla, estableciéndose los siguientes protocolos estudio:

Equipos de resonancia magnética
Todos los pacientes se sometieron a resonancia magnética de rodilla en un escáner de resonancia magnética de 1,5 Tesla (Philips Intera de 1.5), siguiendo nuestro protocolo estándar de rodilla, utilizando una bobina de rodilla Knee de cuatro canales de alta resolución, con los pacientes en posición supina, con los pies por delante. El protocolo incluyó secuencias ponderadas en T1, T2, STIR. Axial, sagital y cornal.
Definición de unidades de observación
Se evaluaron pacientes con edad superior a 20 años, sin distinción de género, los cuales presentaron historial traumático en la articulación de la rodilla, referidos al Servicio de Resonancia Magnética del centro diagnóstico BIOIMÁGENES, en la ciudad Buenos Aires, Argentina, debido a la persistencia de síntomas clínicos relacionados con el dolor y limitación funcional.
Criterios de inclusión
- Pacientes que experimentaron dolor en la articulación de la rodilla debido a un antecedente traumático.
- Pacientes mayores de 20 años.
- Sexo indistinto.
- Gonalgia < a 6 semanas de evolución.
Criterios de exclusión
- Pacientes menores de 20 años.
- Pacientes con antecedentes de cirugía.
- Pacientes con cambios degenerativos.
- Gonalgia > a 6 semanas de evolución.
Criterios de eliminación
- Pacientes con reporte de estudio normal.
- Pacientes con lesiones crónicas.
- Pacientes con antecedentes quirúrgicos.
Análisis de datos
La evaluación de la información obtenida se realizó mediante la herramienta de Microsoft Excel, que permite la organización y tabulación de datos. Se efectuó un análisis variable, lo cual facilitó la detección de las variables asociadas con los patrones de edema óseo, así como su relación con lesiones concurrentes de tejidos blandos y los mecanismos de lesión más frecuentemente implicados.
Plan de tabulación y análisis
- Microsoft Excel: esta herramienta se empleó para la organización y el análisis de datos, así como para la creación de tablas y gráficos, que permiten una visualización clara y efectiva.
- Microsoft Word: se utilizó como herramienta para el procesamiento de texto y documentación de los hallazgos, así como la evaluación de los resultados del estudio, estructurando la información de forma clara y organizada.
Diseño del proceso
Planificación del proceso
La metodología implementada comprendió un análisis detallado de imágenes en RM, correlacionándolas con los síntomas clínicos y los antecedentes. El objetivo fue identificar los distintos patrones de edema óseo de origen traumático en la rodilla, analizando para ello 20 regiones anatómicas específicas. Los pacientes derivados al Servicio de Resonancia Magnética de BIOIMAGENES presentaban síntomas clínicos de dolor persistente y restricción funcional en la articulación de la rodilla, vinculados a un historial de trauma, documentándose variables como edad, sexo, tipo de lesión o clínica, con la finalidad de garantizar la fiabilidad de los datos.
Durante el período de un año, entre enero y diciembre de 2023, fueron evaluados por RM los distintos patrones de edema óseo en la articulación de la rodilla, el mecanismo del trauma y las lesiones asociadas en los tejidos blandos. Esta revisión retrospectiva estableció criterios de en la evaluación del edema óseo, así como una sistemática de lectura, la cual contribuye con la diferenciación del proceso inflamatorio.
Actividades desarrolladas
I. Búsqueda y análisis de la información. Se realizó una revisión bibliográfica de artículos y revisiones científicas, se utilizaron bases de datos de PubMed, RadioGraphics, SciELO, ELSEVIER, SERAM, Springer. Se consideraron estudios en pacientes con edema óseo alrededor de la rodilla. Se excluyeron investigaciones en animales y las relacionadas con la artroplastia parcial y total de la rodilla.
II. Revisión de historias clínicas. Se evaluaron las historias clínicas de los pacientes para establecer la causa del traumatismo, tipo de trauma mecánico, antecedentes de cirugía de rodilla y enfermedades crónicas, así como el tiempo entre el trauma y la evaluación por RM, documentándose variables como edad, sexo, tipo de lesión o clínica, con la finalidad de garantizar la fiabilidad de los datos.
III. Selección de población de estudio. Se establecieron las unidades de análisis y las características de la población, utilizado las historias clínicas de derivación al Servicio de Resonancia Magnética de BIOIMAGENES, en Lanús, provincia de Buenos Aires, Argentina, durante el período comprendido entre enero y diciembre de 2023.
IV. Análisis de imágenes. Se revisaron de forma independiente los estudios de resonancias magnéticas para detectar la presencia de edema óseo. Para el estudio de la articulación se dividió en 20 regiones anatómicas como método de segmentación. La evaluación fue realizada por médicos especializados en imágenes musculoesqueléticas, quienes cuentan un alto nivel de formación y entrenamiento en el diagnóstico de patologías articulares de la rodilla.
V. Registro de datos. La evaluación de la información se llevó a cabo utilizando herramientas de ofimática, que permiten gestionar y presentar información de manera eficiente, facilitando la organización y tabulación de datos.
VI. Análisis de datos. Con el objetivo de examinar la información y llegar a conclusiones, y apoyar la toma de decisiones, se estableció relación entre los patrones de edema óseo, el mecanismo de trauma y las lesiones asociadas de tejidos blandos en la rodilla.
VII. Creación de informes. Se elaboraron informes estadísticos en los que se consignó información relevante que permita la comprensión biomecánica de la rodilla y el reconocimiento de los mecanismos implicados en el edema óseo de origen traumático.
Desarrollo del trabajo
Justificación
En Estados Unidos, la gonalgia aguda corresponde al 6% de las consultas en atención primaria; de estas, el 17% tiene una evolución menor a tres días y el 48% menor a un mes. Es la consulta osteomuscular más común secundaria al deporte en los servicios de urgencia. La causa más frecuentes de gonalgia aguda es el esguince de rodilla, con una prevalencia del 42%. Otras causas traumáticas son: lesiones meniscales (9%), lesiones ligamentosas (11%) y fractura (1,2%). La rodilla es la articulación más afectada de todas las lesiones deportivas, aumentando la carga de enfermedad. Esto conlleva a una disminución de la calidad de vida sobre todo en personas jóvenes y físicamente activas, quienes sufren de dolor y deterioro de la funcionalidad, resultando en menor movilidad, disminución en la participación deportiva y mayor ausentismo laboral.[xxxii]
El radiólogo general, mediante la aplicación de un enfoque biomecánico en la interpretación de RM de rodilla, podrá utilizar las lesiones detectadas para predecir anomalías sutiles pero importantes, que de otra manera pudieran pasar desapercibidas; conocer el mecanismo de la lesión, la historia y el examen físico son elementos claves para determinar la indicación de RM y la aplicación de un algoritmo de decisión. Es necesario estar familiarizado con los principios de los traumatismos óseos y emitir informes concisos que pongan de manifiesto la extensión completa de cada lesión.(18)
El presente trabajo investigativo busca analizar los diversos patrones de edema de óseo de causa traumática en la articulación de la rodilla evaluados por RM, que constituye una herramienta fundamental para el diagnóstico, pronóstico y tratamiento. Cuando existe el antecedente traumático, conocer el mecanismo por el cual se presentó la lesión permite pronosticar lesiones de tejidos blandos asociadas, en especial en los casos en los que no se cuenta con información clínica disponible.
En la evaluación del edema óseo de origen traumático, establecer una sistemática de lectura contribuye con la diferenciación del proceso inflamatorio, aunque en la mayoría de los casos el edema óseo puede atribuirse a lesiones de origen traumático, existe gran variedad de síndromes clínicos en los que este se encuentra presente. Es aquí donde los hallazgos en imágenes, asociados a la fisiopatología, ayudan a identificar la etiología implicada.
Análisis de resultados
Gráfico 1. Distribución de los diferentes tipos de patrones de edema óseo según rango de edad.
Se ha determinado que la mayor frecuencia de edema óseo se encuentra en pacientes de entre 30 y 40 años, representando el 33% de los casos analizados. La siguiente proporción más alta corresponde al grupo de entre 20 y 30 años, con un 25% de los casos. Estos datos sugieren que el edema óseo tiende a presentarse con mayor prevalencia en adultos jóvenes, lo cual podría estar estrechamente vinculado a un estilo de vida más activo durante esta fase de la vida.
Gráfico 2. Distribución de los diferentes tipos de patrones de edema óseo según el sexo.
Se observó una mayor prevalencia de edema óseo en la articulación de la rodilla en hombres, representando el 65% de los casos examinados, en comparación con el 35% en mujeres. Estos resultados podrían estar asociados con las actividades laborales predominantes en hombres, así como con patrones de actividad física y la participación en deportes de contacto, que son más comunes en este grupo y que están estrechamente relacionados con la presencia de edema óseo detectado en estudios de resonancia magnética.
Gráfico 3. Mecanismos de lesión vinculados al edema óseo.
La gráfica muestra los distintos mecanismos de lesión y su frecuencia con los vinculados al edema óseo traumático en la articulación de la rodilla: la flexión con valgo, rotación externa. Este mecanismo es el más común, representando el 40% de los casos. Es probable que este tipo de movimiento cause una gran carga en las estructuras del lado interno de la rodilla, lo que puede resultar en edema óseo.
Trauma directo: el segundo mecanismo más frecuente, con el 18%. Los impactos directos pueden causar lesiones en el hueso y tejido circundante, resultando en edema.
Hiperextensión con varo: constituye el 10% de los casos. La hiperextensión con varo genera una tensión significativa en el lado externo de la rodilla, conduciendo al edema.
Flexión con traslación tibial posterior y dislocación patelar: estos mecanismos tienen porcentajes de 8% y 7% respectivamente, indicando que también son comunes, pero menos que los tres mencionados con anterioridad.
Los demás mecanismos, como flexión con varo y rotación interna, valgo puro, y varo puro, tienen una incidencia más baja pero aún significativa.
Gráfico 4. Ubicación de los diferentes tipos de patrones de edema óseo.
El cóndilo femoral interno representa el 70% de los casos de edema óseo, siendo la ubicación más común. Esto podría indicar que esta área está en especial sujeta a estrés y lesiones, posiblemente debido a su papel en la distribución de carga y movimientos complejos de la rodilla, frente al 15% de los casos que se ubican en el cóndilo femoral externo, siendo también una ubicación común pero menos afectada. Esto sugiere que aunque el cóndilo externo también soporta cargas significativas, es menos propenso a desarrollar edema óseo que su contraparte interna.
El 10% de los edemas óseos se localizan el platillo tibial externo, en esta área puede estar vinculado con el contacto y fricción que ocurre durante movimientos de flexión y extensión de la rodilla. En contraste, el platillo tibial interno, con un 5%, representa la ubicación menos frecuente para el edema óseo.
Gráfico 5
La mayoría de los casos de edema óseo en la rodilla están asociados con lesiones de tejidos blandos. Esto sugiere que el edema óseo generalmente ocurre como una respuesta secundaria a una lesión más amplia en la rodilla, que puede incluir daños en los ligamentos, tendones, meniscos o músculos. Esta alta asociación puede indicar que, al detectar edema óseo en una RM, es crucial investigar y evaluar las posibles lesiones de tejidos blandos para un diagnóstico completo y preciso.
Gráfico 6
La mayoría de los casos de edema óseo están asociados con lesiones en el menisco medial (70% de los casos). Esto sugiere que el menisco medial es más susceptible a lesiones que resultan en edema óseo. Las lesiones en esta área pueden ser más comunes debido a su función en la estabilización de la rodilla y la distribución de cargas durante actividades físicas.
Un menor porcentaje de los casos de edema óseo están asociados con lesiones en el menisco lateral (el 30% de los pacientes). Esto indica que, aunque las lesiones en el menisco lateral también son significativas, concurren con menos frecuencia en comparación con el menisco medial, sugiriendo estar relacionado con biomecánica y las fuerzas aplicadas en el menisco lateral durante los movimientos de la rodilla.
Gráfico 7a
El análisis demuestra que las lesiones del ligamento colateral lateral son las más frecuentemente asociadas con el edema óseo en la rodilla, en el 60% de los casos, seguidas por las lesiones del ligamento colateral medial, con el 21%. Las lesiones del ligamento cruzado anterior están asociadas con el 13% de los casos de edema óseo. Este ligamento es crucial para la estabilidad de la rodilla y, aunque menos frecuente que las lesiones de los ligamentos colaterales, su daño puede resultar en edema óseo. En contraste, la lesión del ligamento cruzado posterior es la menos comúnmente asociada con el edema óseo, con el 6%.
El 87% de las lesiones en el menisco medial afectan al cuerno posterior. Esta alta prevalencia sugiere que esta área es en particular vulnerable a las lesiones, posiblemente debido a las fuerzas biomecánicas durante movimientos de torsión y carga en la rodilla. Esto se correlaciona con la alta incidencia de lesiones en el ligamento colateral lateral (60%), ya que ambos pueden estar involucrados en mecanismos de lesión similares.
El cuerno posterior del menisco lateral representa el 73% de las lesiones meniscales en esa región. Aunque es menos frecuente que las lesiones del menisco medial, sigue siendo un área significativa para las lesiones.
La mayoría de los casos de edema óseo y lesiones de tejidos blandos están asociados con hombres (68%). Esto podría sugerir que los hombres están más expuestos a situaciones que resultan en estas condiciones, posiblemente debido a mayores niveles de actividad física, deportes de contacto o trabajos físicamente demandantes.
Las mujeres representan el 32% de los casos. Aunque este porcentaje es significativamente menor, no debe subestimarse la importancia de las lesiones de tejidos blandos y el edema óseo en este grupo. Las diferencias podrían deberse a factores como la menor participación en actividades de alto impacto o diferencias en la biomecánica y la densidad ósea entre hombres y mujeres.
Las diferencias en la estructura ósea y muscular entre hombres y mujeres pueden influir en la susceptibilidad a lesiones. Los hombres tienden a tener mayor masa muscular y densidad ósea, lo que puede afectar la forma en que las fuerzas se distribuyen durante el impacto. Las hormonas también juegan un papel en la susceptibilidad a lesiones. Por ejemplo, los niveles de estrógeno en las mujeres pueden afectar la integridad de los ligamentos y la cicatrización de los tejidos.
Conclusiones y recomendaciones
Conclusiones
El edema óseo de rodilla se nos presenta como un hallazgo comúnmente inespecífico en la gonalgia aguda, que se encuentra con frecuencia vinculado con la patología traumática de la rodilla. El presente trabajo investigativo proporciona una visión especialmente enfocada en el estudio de los diferentes patrones de edema óseo en la articulación de la rodilla, asociados con los mecanismos lesionales y sus efectos sobre las estructuras de soporte implicadas en esta articulación, empleando como herramienta las imágenes obtenidas por RM, no solo para la visualización de estos patrones, si no para reconocimiento del mecanismo causal preponderante para predecir lesiones vinculadas que de lo contrario podrían pasar desapercibidas, modificando la conducta y tratamiento de las lesiones implicadas.
Se establece la RM como el método de diagnóstico por imágenes de elección en el diagnóstico del edema de médula ósea por su alto valor en la observación de lesiones tempranas. Es una técnica no invasiva altamente sensible, con una gran capacidad de visualización del tejido óseo crucial para su identificación, lo que indica que puede sustituir de manera eficaz a la artroscopia diagnóstica en la evaluación de lesiones meniscales y desgarros ligamentarios.
Esta investigación demuestra la alta relación que existe entre el edema de médula ósea y las lesiones de los tejidos blandos en la articulación de la rodilla, determinando la prevalencia de lesiones meniscales y ligamentarias como la principal afectación a sospechar ante la presencia de este hallazgo, mediante un enfoque biomecánico en la interpretación de la RM se podrá utilizar para predecir y localizar las lesiones modificando el pronóstico y la conducta en los pacientes.
Recalcar la importancia de la RM, muy útil para determinar según el patrón del edema óseo y las lesiones de partes blandas asociadas el mecanismo de lesión, sabiendo que hay cinco patrones de contusión: pivot shift, hiperextensión, estrés en valgo o en varo, choque directa con rodilla flexionada y luxación lateral rotuliana. Al describir los patrones de edema se debe evaluar: la distribución, localización, morfología del edema y lesiones asociadas, así como clasificarlo en difuso, focal o multifocal como signo de alarma que haga sospechar y buscar lesiones.
Otro aspecto relevante consiste en destacar la importancia de la RM de rodilla en las lesiones meniscales; son causa de edema óseo, ya sea aisladas o en asociación con otras lesiones, como pueden ser alteraciones condrales o lesiones en el LCA, las roturas de cuerpo y cuerno posterior, las lesiones en rampa y las roturas de raíz son lesiones meniscales que pueden asociar edema óseo y que el radiólogo debe conocer.
Se ha reconocido que el dolor es el síntoma predominante del edema óseo, lo que resulta en una disminución en la calidad de vida, reflejada en una reducción de la movilidad. Por ello, se recomienda una adecuada categorización de los pacientes con edema óseo con la finalidad de establecer mejor su pronóstico y opciones terapéuticas.
Recomendaciones
Teniendo como base los datos aportados en el presente estudio investigativo, se formulan las siguientes recomendaciones para el estudio de los patrones de edema óseo y sus lesiones concomitantes de tejidos blandos.
Incentivar el estudio de los distintitos patrones de edema óseo en la RM de rodilla, debido a la estrecha relación que existe entre las zonas de edema y las lesiones musculoesqueléticas asociadas, como roturas ligamentosas y meniscales. Combinando esta información con los diferentes mecanismos lesionales se podrá establecer una guía eficaz en la detección precoz de lesiones óseas o de partes blandas que podrían pasar desapercibidas.
Es importante establecer una sistemática o protocolos de lectura para la interpretación de los patrón de edema óseo en las imágenes de RM. Esto resulta útil para detectar y cuantificar los posibles cambios, lo cual a su vez contribuye en la diferenciación entre los diferentes procesos inflamatorios de origen traumático que afecta la articulación de la rodilla.
Fomentar la utilización de la RM en la gonalgia aguda y patología traumática aguda de la rodilla, lo cual se constituye como el estudio de elección ante la sospecha de lesiones de partes blandas, meniscopatías y fracturas ocultas. Aunque la mayoría de estos estudios son solicitados por traumatólogo, fomentar su indicación en la atención primaria mejoraría significativamente el diagnóstico y pronóstico en nuestros pacientes, con un impacto que mejoraría la funcionalidad física y calidad de vida.
Este trabajo busca impulsar la investigación sobre los patrones de edema óseo y su relación con los mecanismos de lesión y la biomecánica de la articulación de la rodilla, con el objetivo de integrar estos conocimientos cruciales para una evaluación más precisa de las imágenes médicas, lo que, a su vez, puede influir de forma significativa en la toma de decisiones clínicas y en la prevención de futuras complicaciones.
En el futuro sería beneficiosa la implementación de la inteligencia artificial (IA) como herramienta en la identificación del edema óseo en la patología traumática de la rodilla, lo que podría traer mejoras significativas en el diagnóstico. La IA mejoraría la precisión al analizar grandes cantidades de datos identificando patrones sutiles que podrían pasar desapercibidos para el ojo humano, reduciendo errores al automatizar el análisis de imágenes mejorando la calidad del diagnóstico, la cual impactaría en la toma de decisiones al procesar imágenes con mucha mayor velocidad, obteniendo resultados que permitan tratamientos oportunos. Estos avances revolucionarios de la IA y la RM mejorarían exponencialmente la capacidad de los médicos radiólogos al momento de evaluar la patología traumática de la rodilla, permitiendo valoraciones más efectivas y eficientes.
Anexos
Patrones de edema en medula ósea y mecanismos lesionales
Pivot shift
Edema óseo de las esquinas posterolateral y posteromedial de los cóndilos de la tibia, así como de la cara ventral del cóndilo femoral lateral. El patrón óseo está parcialmente en línea con el cambio de pivote, pero sugiere un mecanismo de torsión aún más complejo.
Fuente: https://epos.myesr.org/posterimage/esr/seram2014/124014/mediagallery/577102?deliveroriginal=1radiopaedia.org/cases/pivot-shift-injury-and-resultant-unhappy-triad?lang=gb
Hiperextensión
Imágenes sagitales y axial de secuencias potenciadas en T2 con saturación grasa de la rodilla derecha en paciente con lesión por hiperextensión. (a, b) Edema óseo en la vertiente anterior del tercio proximal de la tibia y del cóndilo femoral interno por impactación. (c) Rotura parcial del ligamento cruzado posterior (flecha).
Fuente: https://epos.myesr.org/posterimage/esr/seram2014/124014/mediagallery/576992
Patrones de lesión de rodilla | Caso de radiología | Radiopaedia.org. https://radiopaedia.org/cases/patterns-of-knee-injury
Valgo
Dibujo que representa un traumatismo directo sobre la cara lateral de la rodilla.
Imagen coronal de secuencia potenciada en T2 con saturación grasa de la rodilla derecha en paciente con lesión por traumatismo en valgo. Edema óseo en la
Fuente: https://epos.myesr.org/posterimage/esr/seram2014/124014/mediagallery/577012
Patrones de lesión de rodilla | Caso de radiología | Radiopaedia.org
https://radiopaedia.org/cases/patterns-of-knee-injury
Lesión en varo
Dibujo que muestra la secuencia del traumatismo directo sobre la cara interna de la rodilla. (a) Articulación de la rodilla en posición neutra previo al trauma. (b) Posterior al traumatismo. Impactación de la superficie medial del cóndilo femoral interno. y del platillo tibial con las contusiones correspondientes en el sitio de impacto, además de distracciones severas en las estructuras laterales de la articulación, dando como resultado el desgarro del ligamento colateral lateral.
Imágenes coronales de secuencia potenciada en T2 con saturación grasa de la rodilla derecha en paciente con lesión por traumatismo en varo. (a, b) Edema óseo en la superficie medial del cóndilo femoral interno y del platillo tibial por impactación. (b, c) Esguince grado II del ligamento colateral lateral por distracción (flecha) y del ligamento colateral interno probablemente por trauma directo (flecha curva). Rotura oblicua de la unión cuerno posterior / cuerpo del menisco interno (cabeza de flecha).
Fuente: https://epos.myesr.org/posterimage/esr/seram2014/124014/mediagallery/577092
Patrones de lesión de rodilla | Caso de radiología | Radiopaedia.org
https://radiopaedia.org/cases/patterns-of-knee-injury
Luxación transitoria lateral de la patela
Dibujo que representa la rotación interna del fémur sobre la tibia con la rodilla flexionada, que originará la luxación transitoria lateral de la patela.
Dibujo que representa la rotación interna del fémur sobre la tibia con la rodilla flexionada, que originará la luxación transitoria lateral de la patela.
Imagen axial de secuencia potenciada en T2 con saturación grasa de la rodilla derecha en paciente con luxación transitoria lateral de la patela secundario a mecanismo de flexión y rotación interna del fémur. Contusiones típicas en la vertiente medial de la patela y en la superficie anterolateral del cóndilo femoral externo. Derrame articular en la bolsa suprarotuliana.
Fuente: https://epos.myesr.org/posterimage/esr/seram2014/124014/mediagallery/579038
Referencias bibliográficas
- De Eusebio, Á. R., Rodríguez, A. M. C., Herrero, M. L., Moya, M. J., Casado, M. J. M. y García, J. A. (2024). Edema óseo en la RM de rodilla: ¿necrosis espontánea? Antes revisa las Rs en el menisco. Seram, 1(1).
- Starr, A. M., Wessely, M. A., Albastaki, U., Pierre-Jerome, C. y Kettner, N. (2008). Edema de médula ósea: fisiopatología, diagnóstico diferencial y diagnóstico por imágenes. Acta radiologica, 49(7), 771-786.
- Kozoriz, M. G., Grebenyuk, J., Andrews, G. y Forster, B. B. (2012). Evaluación de los patrones de edema de la médula ósea en lesiones musculoesqueléticas. British journal of sports medicine, 46(13), 946-953.
- Terzidis, I. P., Christodoulou, A. G., Ploumis, A. L., Metsovitis, S. R., Koimtzis, M. y Givissis, P. (2004). La aparición de contusión por beso en la rodilla con lesión aguda en los atletas. British journal of sports medicine, 38(5), 592-596.
- Eustace, S., Keogh, C., Blake, M., Ward, R. J., Oder, P. D. y Dimasi, M. (2001). Imágenes por resonancia magnética del edema óseo: mecanismos e interpretación: revisión gráfica. Radiología clínica, 56 (1), 4-12.
- López, A. A., Véjar, R. F., Carrasco, S. R. S. y Lorenzo, Y. D. L. C. G. (2021). Edema óseo alrededor de la rodilla. Correo Científico Médico, 25(4).
- Tovar Beltrán, J. V., Noguera Pons, J.R., González Fernández, J.A. y Navarro Blasco, F. (2023). Edema óseo y osteonecrosis Sección de Reumatología. Hospital General Universitario de Elche.
- Fernández-Cantón, G. (2009). Del edema de médula ósea a la osteonecrosis. Nuevos conceptos. Reumatología Clínica, 5(5), 223-227.
- López de la Vega, S. (2018). Edema ósea en rodilla: descripción de una lesión oculta.
- Suárez Arias, L., López Graña, G. y Sandoval Rodríguez, E. (2022). Edema óseo y fracturas trabeculares en la rodilla: ¿se pueden tratar?, Sociedad Española de Traumatología Laboral.
- Corres Castillo, M. A. (2015). Asociación de los mecanismos de lesión aguda más frecuentes de rodilla con los patrones de imagen hallados por resonancia magnética en el Hospital Ángeles Mocel. Universidad Nacional Autónoma de México, México.
- Muñoz Ch, S. y Paolinelli, P. (2005). Reacciones del hueso frente al estrés: estudio radiológico. Revista chilena de radiología, 11(2), 81-90.
- García, S. G., Terrón, E. M. M., Martinez, S. S., Balanz, A. U., Zurita, A. T. L., Trunina, M. B. … y Riche, M. C. (2022). Hallazgos por RM de patología traumática de la rodilla. Seram, 1(1).
- Korompilias, A. V., Karantanas, A. H., Lykissas, M. G. & Beris, A. E. (2009). Bone marrow edema syndrome. Skeletal radiology, 38, 425-436.
- Letelier, C. M. Gonalgia Aguda Traumática en APS: Evaluación y Estudio Inicial.
- Berger, N., Andreisek, G., Karer, AT, Bouaicha, S., Naraghi, A., Manoliu, A., … y Ulbrich, E. J. (2017). Asociación entre anomalías traumáticas de la médula ósea de la rodilla, el mecanismo del trauma y las lesiones asociadas de los tejidos blandos de la rodilla. Radiología europea, 27, 393-403.
- Gorbachova, T., Melenevsky, Y., Cohen, M. y Cerniglia, B. W. (2018). Lesiones osteocondrales de la rodilla: diferenciando las entidades más frecuentes en la resonancia magnética. Radiografías, 38 (5), 1478-1495.
- Kozoriz, M. G., Grebenyuk, J., Andrews, G. y Forster, B. B. (2012). Evaluación de los patrones de edema de la médula ósea en lesiones musculoesqueléticas. British Journal of Sports Medicine, 46(13), 946-953.
- Fowkes, L. A. y Toms, A. P. (2010). Bone marrow oedema of the knee. The knee, 17(1), 1-6.
- Tarantino, U., Greggi, C., Cariati, I., Manenti, G., Primavera, M., Ferrante, P., … y Gatti, A. (2021). Revisión del edema de médula ósea en deportistas: un difícil abordaje diagnóstico y clínico. Medicina, 57 (11), 1143.
- Villari, E., Digennaro, V., Panciera, A., Ferri, R., Benvenuti, L. y Cesare, F. (2024). Edema de médula ósea de la rodilla: una revisión narrativa. Archivos de Cirugía Ortopédica y Traumatológica, 1-12.
- O’Hare, A., Shortt, C., Napier, N. y Eustace, S. J. (2006). Edema de médula ósea: patrones e implicaciones clínicas. Seminarios sobre radiología musculoesquelética, 10(4), 249-257.
- Steinbach, L. S. y Suh, K. J. (2011). Patrón de edema de médula ósea alrededor de la rodilla en imágenes por resonancia magnética, excluyendo lesiones traumáticas agudas. En Seminarios sobre radiología musculoesquelética, 15(3), 208220.
- Sanders, T. G., Medynski, M. A., Feller, J. F., & Lawhorn, K. W. (2000). Bone contusion patterns of the knee at MR imaging: footprint of the mechanism of injury. Radiographics, 20(suppl_1), S135-S151.
- Vanhoenacker, F. M. y Snoeckx, A. (2007). Edema de médula ósea en el deporte: conceptos generales. Revista europea de radiología, 62(1), 6-15.
- Paolini, C. P., Pardo, D. C., Cutillas, V. N., Sáinz-Aja, V. R., Toribio, A. M. y Sánchez, C. M. (2014). Mecanismos traumáticos de la rodilla y patrones de edema óseo asociados: Indicadores importantes en la detección de lesiones de partes blandas en RM. European Congress of Radiology-SERAM 2014.
- García, S. H., Montané, J. L. G. y Martínez, A. D. D. (2022). Anatomía, semiología y pruebas de imagen de la rodilla. Traumatología y ortopedia. Miembro inferior, 189.
- Collins, J. A., Beutel, B. G., Strauss, E., Youm, T. y Jazrawi, L. (2016). Edema de médula ósea: lesiones crónicas de la médula ósea de la rodilla y su asociación con la osteoartritis. Boletín del Hospital de Enfermedades Articulares de la Universidad de Nueva York, 74 (1), 24.
Glosario
Articulación de la rodilla: Estructura compleja formada por el fémur, la tibia y la rótula, sostenida por ligamentos y meniscos, que permite la flexión y extensión de la pierna.
Edema Óseo: Acumulación de líquido en el hueso debido a una lesión, infección u otra condición médica, que se manifiesta como una inflamación interna visible en estudios de imagen.
Edema: Hinchazón causada por la acumulación de líquido en los tejidos del cuerpo, que puede ocurrir en cualquier parte del cuerpo, incluyendo la piel, los órganos internos y los huesos.
Gonalgia: Dolor localizado en la rodilla que puede ser causado por una variedad de condiciones, incluyendo lesiones, artritis y otras enfermedades degenerativas.
Inflamatorio: Relacionado con la inflamación, que es la respuesta del cuerpo a la lesión o infección, caracterizada por hinchazón, enrojecimiento, calor y dolor.
Lesión: Daño o herida en el cuerpo causada por un trauma físico, enfermedad o condición médica, que puede afectar tejidos blandos, huesos u órganos.
Ligamento: Banda de tejido fibroso que conecta los huesos entre sí, proporcionando estabilidad y soporte a las articulaciones.
Menisco: Estructura de cartílago en forma de C localizada en la rodilla, que actúa como amortiguador y estabilizador entre el fémur y la tibia.
Patrones: Configuraciones repetitivas o secuencias que pueden ser observadas en estudios médicos para identificar ciertas condiciones o anomalías.
Resonancia Magnética: Técnica de imagen médica que utiliza campos magnéticos y ondas de radio para crear imágenes detalladas de los órganos y tejidos dentro del cuerpo, especialmente útil en la detección de lesiones óseas y de tejidos blandos.
Traumatismo: Daño físico al cuerpo resultante de una fuerza externa, que puede causar lesiones como fracturas, contusiones, esguinces y laceraciones.
Valgo: Desviación de una articulación hacia el exterior del cuerpo, como en el caso de las rodillas que se juntan (piernas en «X»).
Varo: Desviación de una articulación hacia el interior del cuerpo, como en el caso de las rodillas que se separan (piernas en «O»)
NOTAS
[i] Paolini, C. P., Pardo, D. C., Cutillas, V. N., Sáinz-Aja, V. R., Toribio, A. M. y Sánchez, C. M. (2014). Mecanismos traumáticos de la rodilla y patrones de edema óseo asociados: Indicadores importantes en la detección de lesiones de partes blandas en RM. European Congress of Radiology-SERAM 2014.
[ii] Corres Castillo, M. A. (2015). Asociación de los mecanismos de lesión aguda más frecuentes de rodilla con los patrones de imagen hallados por resonancia magnética en el Hospital Ángeles Mocel. Universidad Nacional Autónoma de México, México.
[iii] Idem.
[iv] Suárez Arias, L., López Graña, G., Sandoval Rodríguez, E. (2022). Edema óseo y fracturas trabeculares en la rodilla: ¿se pueden tratar? Sociedad Española de Traumatología Laboral.
[v] Paolini, C. P., Pardo, D. C., Cutillas, V. N., Sáinz-Aja, V. R., Toribio, A. M. y Sánchez, C. M. (2014). Mecanismos traumáticos de la rodilla y patrones de edema óseo asociados: Indicadores importantes en la detección de lesiones de partes blandas en RM. European Congress of Radiology-SERAM 2014.
[vi] O’Hare, A., Shortt, C. (2006). Edema de médula ósea: patrones e implicaciones clínicas. Seminarios sobre radiología musculoesquelética, por Thieme Medical Publishers, Inc., 333 Seventh Avenue, Nueva York.
[vii] García, S. H., Montané, J. L. G. y Martínez, A. D. D. (2022). Anatomía, semiología y pruebas de imagen de la rodilla. Traumatología y ortopedia. Miembro inferior, 189.
[viii] Idem.
[ix] Idem.
[x] Idem.
[xi] López, A. A., Véjar, R. F., Carrasco, S. R. S. y Lorenzo, Y. D. L. C. G. (2021). Edema óseo alrededor de la rodilla. Correo Científico Médico, 25(4).
[xii] Idem.
[xiii] Berger, N., Andreisek, G., Karer, A. T., Bouaicha, S., Naraghi, A., Manoliu, A., … y Ulbrich, E. J. (2017). Asociación entre anomalías traumáticas de la médula ósea de la rodilla, elmecanismo del trauma y las lesiones asociadas de los tejidos blandos de la rodilla. Radiología europea, 27, 393-403.
[xiv] López, A. A., Véjar, R. F., Carrasco, S. R. S. y Lorenzo, Y. D. L. C. G. (2021). Edema óseo alrededor de la rodilla. Correo Científico Médico, 25(4).
[xv] Tovar Beltrán, J. V., Noguera Pons, J. R., González Fernández, J. A., Navarro Blasco, F. (2023). Edema óseo y osteonecrosis Sección de Reumatología. Hospital General Universitario de Elche.
[xvi] Idem.
[xvii] De Eusebio, Á. R., Rodríguez, A. M. C., Herrero, M. L., Moya, M. J., Casado, M. J. M., y García, J. A. (2024). Edema óseo en la RM de rodilla: ¿necrosis espontánea? Antes revisa las RS en el menisco. Seram, 1(1).
[xviii] López de la Vega, S. (2018). Edema ósea en rodilla: descripción de una lesión oculta.
[xix] López, A. A., Véjar, R. F., Carrasco, S. R. S. y Lorenzo, Y. D. L. C. G. (2021). Edema óseo alrededor de la rodilla. Correo Científico Médico, 25(4).
[xx] Collins, J. A., Beutel, B. G., Strauss (2016). Edema de médula ósea: lesiones crónicas de la médula ósea de la rodilla y su asociación con la osteoartritis. Boletín del Hospital de Enfermedades Articulares de la Universidad de Nueva York, 74 (1), 24.
[xxi] Corres Castillo, M. A. (2015). Asociación de los mecanismos de lesión aguda más frecuentes de rodilla con los patrones de imagen hallados por resonancia magnética en el Hospital Ángeles Mocel. Universidad Nacional Autónoma de México, México. García, S. G., Terrón, E. M. M., Martínez, S. S., Balanz, A. U., Zurita, A. T. L., Trunina, M. B., … & Riche, M. C. (2022). Hallazgos por RM de patología traumática de la rodilla. Seram, 1(1).
[xxii] Eustace, S., Keogh, C., Blake, M., Ward, RJ, Oder, PD y Dimasi, M. (2001). Imágenes por resonancia magnética del edema óseo: mecanismos e interpretación: revisión gráfica. Radiología clínica, 56 (1), 4-12.
[xxiii] Paolini, C. P., Pardo, D. C., Cutillas, V. N., Sáinz-Aja, V. R., Toribio, A. M., & Sánchez, C. M. (2014). Mecanismos traumáticos de la rodilla y patrones de edema óseo asociados: Indicadores importantes en la detección de lesiones de partes blandas en RM. European Congress of Radiology-SERAM 2014.
[xxiv] Idem.
[xxv] Idem.
[xxvi] Idem.
[xxvii] Idem.
[xxviii] Idem.
[xxix] Berger, N., Andreisek, G., Karer, AT, Bouaicha, S., Naraghi, A., Manoliu, A., … y Ulbrich, E. J. (2017). Asociación entre anomalías traumáticas de la médula ósea de la rodilla, el mecanismo del trauma y las lesiones asociadas de Radiología europea.
[xxx] Idem.
[xxxi] Idem.
[xxxii] Letelier, C. M. Gonalgia aguda traumática en APS: evaluación y estudio inicial.




























