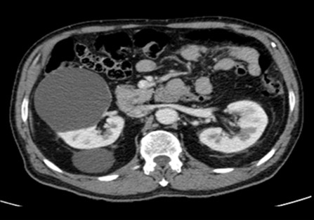
Insulinoma: serie de casos reportados desde 2021 hasta 2023 en el Sanatorio Franchin
Lectura: 25 minutos / Autora: Diana Marcela Bolaños Ordoñez Tutor: Dr. Gustavo San Martín Resumen Los tumores neuroendocrinos del páncreas, específicamente los insulinomas, son neoplasias raras, pero potencialmente letales, que requieren un diagnóstico y tratamiento precisos. Se han reportado en una a cuatro personas por millón cada año, siendo más frecuente en varones que en mujeres, y pueden ocurrir a cualquier edad. La detección temprana y la localización exacta de estos tumores son fundamentales para la planificación del tratamiento quirúrgico y el seguimiento posoperatorio. La presentación del insulinoma es habitualmente benigna, con una masa menor a 2 cm de diámetro. Otra forma de presentación consiste en la presencia de múltiples insulinomas (10 % de los casos). En este trabajo se abordan cuatro casos clínicos de insulinoma. Palabras clave: insulinoma, páncreas, tumores neuroendocrinos, diagnóstico, planificación, tratamiento quirúrgico. Introducción Los tumores neuroendocrinos del páncreas, específicamente los insulinomas, son neoplasias raras, pero potencialmente letales, que requieren un diagnóstico y tratamiento precisos. Se han reportado uno a cuatro casos por millón cada año, siendo más frecuente en varones que en mujeres. Pueden presentarse a cualquier edad.(1) La detección temprana y la localización exacta de estos tumores son fundamentales para la planificación del tratamiento quirúrgico
Revisión del tema: hernia paradójica cerebral
La hernia cerebral es el desplazamiento de tejido encefálico hacia compartimentos adyacentes por aumento de la presión intracraneal (PIC), clasificándose en intracraneales (subfalcina, transtentorial, amigdalina) y extracraneales (paradójica)…
Ginecomastia diagnosticada por ecografía y mamografía en el Centro Moreau de CABA (2022-2025)
La ginecomastia, definida como el crecimiento benigno del tejido glandular mamario en varones, representa una condición frecuente en la práctica clínica, con una prevalencia estimada de entre 30% y 65% en diferentes grupos etarios (…)
Métodos de diagnóstico por imagen en el cerebro del adicto
El consumo de sustancias psicoactivas representa en la actualidad uno de los mayores problemas de salud pública en los países desarrollados y subdesarrollados, que, además, lejos de disminuir, se ha incrementado en forma paulatina en los últimos años (…)
Análisis descriptivo y observacional de incidencias y características imagenológicas de lesiones hepáticas benignas y malignas en TC entre febrero de 2022 y agosto de 2024
En el siguiente documento vamos a evaluar las características imagenológicas y descripción de lesiones hepáticas benignas, como quistes hepáticos, hemangiomas, hiperplasia nodular focal y adenomas hepáticos, y malignas (…)
Clasificación Bosniak. Incidencia de hallazgos tomográficos en lesiones quísticas renales en pacientes entre mayo de 2022 y marzo de 2023
En los últimos años, la detección de tumoraciones renales ha aumentado debido al incremento en pruebas radiológicas. La tomografía computarizada (TC) ha resultado fundamental para diferenciar entre masas quísticas no quirúrgicas y quirúrgicas (…)
Análisis retrospectivo del uso de técnicas de imagen en el diagnóstico y seguimiento de pacientes con sarcoidosis pulmonar en el hospital de agudos Dr. Enrique Tornú durante los últimos diez años
La sarcoidosis pulmonar es una enfermedad inflamatoria de causa desconocida que se caracteriza por la formación de granulomas en los pulmones y otros órganos. Este estudio analizó la epidemiología, diagnóstico y tratamiento de la sarcoidosis pulmonar en el Hospital Tornú durante los últimos diez años (…)
Patrones de edema óseo traumático en la rodilla y su correlación con lesiones de partes blandas evaluadas mediante resonancia magnética
El edema óseo constituye un hallazgo vinculado a múltiples procesos inflamatorios que afectan la médula ósea, que puede definirse como un patrón de imagen en resonancia magnética caracterizado por una señal, en la zona medular del hueso (…)
Evaluación del rendimiento diagnóstico de las punciones de nódulos mamarios BI-RADS 4 visibles por ecografía en el Servicio de Imágenes Diagnósticas del Hospital Ramos Mejía
El objetivo de este estudio fue evaluar el rendimiento diagnóstico de las punciones de nódulos mamarios clasificados como BI-RADS 4 visibles por ecografía en el Hospital General de Agudos “José María Ramos Mejía”, entre el 31 octubre de 2022 y el 31 octubre de 2024 (…)
Utilidad de la resonancia magnética en el diagnóstico de la rotura de meniscos y su asociación con alteraciones ligamentarias en pacientes con traumatismo de rodilla atendidos en DCI durante el año 2023
La rotura de meniscos y su asociación con alteraciones ligamentarias en pacientes con traumatismo de rodilla representan un desafío clínico significativo en el diagnóstico y tratamiento de las lesiones articulares (…)
Incidentalomas suprarrenales: incidencia en el área de tomografía de la Clínica Suizo Argentina
En las glándulas suprarrenales, es frecuente el hallazgo de patologías tumorales benignas o malignas. Según los reportes de estudios, en los Estados Unidos se realizan alrededor de 80 millones de tomografías anuales (…)











