Características imagenológicas en mamografía, ecografía y resonancia magnética
Autores: Luis Fernando Castillo Lozano, Ángela Espinosa, Claudia Wilson, María Ester Locatti
Centro formador: Diagnóstico Científico Integral
Tutora de tesis: Dra. Claudia Francheri Wilson
Tribunal examinador: Dra. Marta Kura
Resumen
El cáncer de mama triple negativo (CMTN) es una variedad de cáncer de mama que carece de RECEPTORES de ESTRÓGENO, PROGESTERONA y HER2/neu (RE, RP, HER2), lo que complica su tratamiento y diagnóstico. La detección temprana y caracterización precisa son cruciales para mejorar el pronóstico. Esta investigación analizó retrospectivamente pacientes diagnosticados con CMTN en Diagnóstico Científico Integral (DCI), entre 2020 y 2023. El objetivo fue evaluar la incidencia y las características mamográficas, ecográficas y en resonancias magnética mamaria. Se buscó identificar patrones que permitieran una detección temprana y un mejor manejo clínico. Se realizó un estudio con 539 pacientes, principalmente mujeres. Todos se sometieron a mamografías y ecografías. De esta población solo 8 pacientes realizaron resonancia magnética en centros periféricos. Los resultados se analizaron según el sistema BI-RADS (Breast Imaging Reporting and Data System). Se realizaron punciones mamarias en casos sospechosos. Se obtuvieron datos histológicos y de inmunohistoquímica. Los hallazgos clave indican que la mayoría de los pacientes con CMTN tenían una edad media de 45 años. La mayoría de los pacientes presentó patologías benignas, principalmente fibroadenomas, mientras que el 36,5% tenía cáncer de mama (CM). Solo el 3,1% fue CMTN. El carcinoma intraductal fue el tipo histológico más común en este subtipo. Hubo una mayor incidencia en la mama izquierda (MI), especialmente en el cuadrante superior externo (CSE). Las imágenes mostraron patrones específicos, y los hallazgos coincidieron con la literatura médica, validando la utilidad de estas ayudas diagnósticas. El estudio enfatiza la importancia de la detección temprana, especialmente en mujeres de 40 a 50 años, y la necesidad de un enfoque multidisciplinario para el manejo efectivo de este tipo de CM de mal pronóstico.
Palabras clave: cáncer de mama triple negativo, mamografía, ecografía, resonancia magnética, características imagenológicas, carcinoma intraductal, enfoque multidisciplinario, inmunohistoquímica, características histológicas
Introducción
La aparición del CMTN representa un desafío considerable en el ámbito oncológico, ya que se caracteriza por la carencia de RE, RP y HER 2. Esta ausencia de receptores limita las opciones de tratamiento disponibles y complica tanto el diagnóstico como el manejo de la enfermedad. La identificación temprana de esta variante de CM y la precisa caracterización de las lesiones son esenciales para mejorar el pronóstico de las pacientes afectadas.
La presente investigación propone llevar a cabo un análisis retrospectivo de pacientes diagnosticados con CMTN que han recibido atención en DCI durante el período comprendido entre los años 2020 a 2023. Este análisis tiene como finalidad principal dos aspectos cruciales: en primer lugar, evaluar la incidencia de este subtipo de CM en la población atendida en DCI en el período mencionado. Y en segundo lugar, examinar las características radiológicas detectadas en mamografías, ecografías y resonancias magnéticas, basándose en el sistema BI-RADS como guía, correlacionándolo con lo descrito en la bibliografía médica actual.
Se exploró también la distribución y prevalencia de las lesiones, diferenciando entre las benignas y malignas, evaluando posibles patrones y características específicas en las imágenes que pudieran contribuir a una detección temprana del CMTN, ya que esto influye en el enfoque terapéutico.
Para proporcionar un entendimiento completo de esta variante de CM, se analizó la relación entre los resultados histopatológicos e inmunohistoquímicos y los hallazgos de las pruebas de diagnóstico por imágenes.
La importancia de esta investigación radica en la creciente relevancia del CMTN como una variante particularmente agresiva y desafiante. Debido a su resistencia a las terapias hormonales y dirigidas al HER2, se ha convertido en una forma insidiosa de CM que presenta limitaciones terapéuticas significativas.
Es relevante destacar que DCI ha acumulado una valiosa base de datos durante el período comprendido entre 2020 y 2023, que incluye información epidemiológica, características imagenológicas según la clasificación BI-RADS, resultados histopatológicos e inmunohistoquímicos. Estos datos, combinados con un enfoque multimodal de diagnóstico por imágenes (que incluye mamografías, ecografías y resonancias magnéticas), ofrecen una fuente de información única que puede proporcionar una visión más completa y precisa de esta patología.
Las terapias convencionales han mostrado respuestas variables en pacientes con CMTN, lo que subraya la importancia de avanzar hacia un enfoque más personalizado en el tratamiento.
Diagnóstico
El estudio aborda el desafiante panorama del CMTN, una variante especialmente agresiva y compleja de la enfermedad. Esta investigación se lleva a cabo en DCI durante el período comprendido entre 2020 y 2023. Durante este lapso se ha proporcionado atención médica y servicios de diagnóstico por imágenes a un amplio espectro de pacientes con sospecha o diagnóstico de CM. Entre las herramientas diagnósticas empleadas se incluyen las mamografías y las ecografías, así como en algunos casos, resonancias magnéticas realizadas en centros periféricos. Estas pruebas, cruciales en el proceso de diagnóstico y seguimiento del CM, han sido interpretadas por médicos especialistas en diagnóstico por imágenes.
El objetivo primordial de esta investigación es realizar un análisis retrospectivo de pacientes con diagnóstico de CMTN, con el fin de determinar la incidencia de esta variante específica en CM. Además, se busca detallar y analizar las características radiológicas detectadas en mamografías, ecografías y resonancias magnéticas, haciendo uso de las directrices del sistema BI-RADS como referencia para la categorización de los hallazgos.
El alcance de este estudio no se limita solo a la identificación de la incidencia del CMTN, sino que se propone una caracterización exhaustiva de las lesiones detectadas en estos pacientes, identificando patrones específicos en las imágenes obtenidas y estableciendo correlaciones con los resultados histopatológicos e inmunohistoquímicos.
El propósito central de esta investigación es mejorar la detección temprana del CMTN y el enfoque terapéutico más eficaz, con el fin de ofrecer una atención médica de mayor calidad a las pacientes afectadas.
Este estudio parte de una base sólida, con una amplia gama de datos y pruebas de diagnóstico por imágenes a lo largo de los años 2020-2023. A medida que se profundice en la investigación, se espera que arroje luz sobre la epidemiología del CMTN, sus características radiológicas, y su correlación con los resultados histopatológicos. Con estos datos en mano, se anticipa que este estudio contribuirá significativamente a una detección temprana más efectiva y un tratamiento personalizado para las pacientes.
Objetivos
Objetivo general
Determinar la incidencia del CMTN en una cohorte de pacientes sometidos a punción mamaria en DCI, durante el período comprendido entre enero de 2020 y marzo de 2023, y evaluar la relación entre los hallazgos imagenológicos, los resultados histológicos y lo descrito en la bibliografía médica actual.
Objetivos particulares
- Calcular la incidencia del CMTN de los pacientes sometidos a punción mamaria durante el período comprendido entre enero de 2020 y marzo de 2023.
- Identificar y describir las características radiológicas más comunes en mamografías de pacientes con CMTN.
- Analizar los hallazgos imagenológicos observados en los estudios de ecografía en pacientes con CMTN.
- Evaluar y describir las características imagenológicas detectadas en las resonancias magnéticas de pacientes con CMTN.
- Comparar las características imagenológicas observadas en pacientes con CMTN de la cohorte del estudio, y asociarlas con lo descrito en la bibliografía médica actual.
Marco teórico y antecedentes
El CM tiene una historia que se remonta al antiguo Egipto, siendo descrito por primera vez en el Papiro de Edwin Smith entre los años 3000 y 2500 a.C. Un hito significativo en su tratamiento se produjo en 1882, cuando William Halsted llevó a cabo la primera mastectomía. A lo largo de los años, se han alcanzado importantes avances en la lucha contra esta enfermedad.
En 1901, se destacó el vaciamiento ganglionar de cuello y mediastino anterior, realizado por Handley. Posteriormente, en 1949, Margotini y Bucalossi introdujeron la linfadenectomía. Hacia 1924, Hirsch y Keynes comenzaron a utilizar la radioterapia, lo que contribuyó a mejorar la sobrevida de las pacientes.(1)
La segunda mitad del siglo XX marcó un período de avances significativos en el tratamiento de CM. El uso de tratamientos hormonales, como el tamoxifeno en la década de 1980, y los anticuerpos monoclonales hacia finales de ese siglo, revolucionó las terapias disponibles y mejoraron el pronóstico de esta enfermedad. Entre 1984 y 1995, se produjo el descubrimiento de los genes HER2, BRCA1 y BRCA2, lo que allanó el camino para terapias dirigidas más efectivas en el tratamiento del CM con estas mutaciones.(2,31) Estos hitos históricos han sido fundamentales en la evolución de la comprensión y el manejo de esta enfermedad.
Cáncer de mama triple negativo
La denominación de CMTN surgió en la literatura médica en las últimas décadas del siglo XX y las primeras del siglo XXI, marcando un avance significativo en la comprensión de los subtipos de CM al identificar tumores que carecían de la expresión de los Receptores Hormonales y del receptor HER2/neu.
Un artículo médico relevante que desempeñó un papel fundamental en la introducción de este término es “Triple-negative breast cancer: clinical features and patterns of recurrence”, escrito por la Dra. Dent y otros investigadores en 2007, publicado en la revista Breast Cancer Research. En este trabajo se resaltó la importancia del CMTN como un subtipo distintivo con características clínicas y patrones de recurrencia notoriamente diferentes de otros subtipos de cáncer de mama.(3)
A medida que se acumuló evidencia y se realizaron investigaciones adicionales, se consolidó la percepción de que el CMTN posee características únicas que requieren enfoques terapéuticos específicos.(6) Hoy en día, continúa siendo objeto de debate en el campo de la salud, ya que no se trata simplemente de una neoplasia, sino de una enfermedad en extremo heterogénea, desde la perspectiva clínica, histopatológica, molecular, genética, epidemiológica e imagenológica.(7)
La clasificación biológica en base a la inmunohistoquímica, que incluye RE, RP, HER2 y Ki 67, da origen a los siguientes tipos tumorales:
- RE alto, RP alto, HER2 negativo, Ki67 menor de 14%, Luminal A.
- RE alto, RP bajo o negativo, y/o Ki 67 superior a 14 %, HER2 negativo, Luminal B.
- RE positivos, RP positivos, HER2 positivo, cualquier Ki67, Triple Positivo.
- RE negativos, RP negativo, HER2 negativo, cualquier Ki67, CMTN.
Los CMTN son un grupo heterogéneo de tumores desde el punto de vista histológico y genético (los CMTN se caracterizan por tener el mayor número de alteraciones genéticas dentro del grupo del CM; además, tienen patrones de recurrencia de mayor gravedad que los tumores Luminales [recaída cerebral, recaída hepática, recaída meníngea]).(16, 17)
Epidemiología
El CM es la patología oncológica más comúnmente diagnosticada a nivel mundial y la principal causa de muerte por cáncer en mujeres.(3) A nivel global, se estiman 20 millones de nuevos casos de cáncer y 10 millones de muertes por esta misma patología. Esta carga de la enfermedad se incrementará aproximadamente en un 60% durante las próximas dos décadas, impactando de manera negativa tanto en los sistemas de salud como en las comunidades.(3) Se proyecta que para 2040, la carga mundial de cáncer alcance los 30 millones de nuevos casos, con el mayor incremento en países de ingresos bajos y medianos.
Si no se implementan medidas eficaces de prevención, se anticipa un aumento del 57% en el número de diagnósticos de cáncer para 2040 en la Región de las Américas, lo que representa alrededor de 6,2 millones de personas afectadas.(8, 9)
En el año 2020 las Américas registraron casi 500.000 nuevos casos de CM y más de 100.000 muertes relacionadas con esta enfermedad. Estudios han destacado una correlación entre la etnia y este subtipo molecular, donde en los Estados Unidos las mujeres afroamericanas presentaron una prevalencia del 39%, en contraste con el 16% en mujeres sin ascendencia afroamericana. En Latinoamérica se ha observado una incidencia relativamente alta, con tasas del 27% en Brasil, 24,6% en Venezuela y un sorprendente 23,1% en un estudio reciente en México.(9)
En Argentina, durante el año 2020 (según Globocan 2020) se reportaron 22.024 nuevos casos anuales de CM, lo que representó el 32,1% de todos los tumores malignos en ese grupo.
Estos números justifican la importancia de las campañas masivas de información para lograr la detección precoz y así mejorar el manejo de esta patología y la disminución de la mortalidad.(8)
El subtipo histológico de CMTN constituye entre el 15% y el 20% de todos los CM. A diferencia de otros subtipos, predomina en pacientes jóvenes y premenopáusicas, en particular en mujeres afroamericanas con antecedentes heredo-familiares.
En pacientes diagnosticadas con CM de este fenotipo y sin historial familiar de CM y/o cáncer de ovario, el riesgo de ser portadoras de una mutación varía del 4% al 5%. Las portadoras de la mutación del gen BRCA1 presentan un riesgo elevado, entre un 60% y un 80%, de desarrollar CMTN.(18)
Suele caracterizarse por alcanzar tamaños considerables y, con frecuencia, presenta metástasis axilares en el momento del diagnóstico. A pesar de responder inicialmente bien a la quimioterapia, tiende a mostrar una alta tasa de recurrencias a distancia.(1)
Forma de presentación
Estos tumores suelen caracterizarse por tener un crecimiento rápido con compromiso locorregional al momento del diagnóstico.
El riesgo de desarrollar CMTN aumenta progresivamente con la edad. Este subtipo de CM es heterogéneo y se presenta de diversas formas clínicas. Su patogenia molecular involucra múltiples alteraciones genéticas que contribuyen a su alto potencial de invasión local, metástasis y resistencia a los quimioterápicos habituales.
En aproximadamente el 90% de los casos de CMTN se han identificado mutaciones accionables que son susceptibles de tratamiento. Estas mutaciones afectan procesos como el ciclo celular, la reparación del ADN, vías de señalización específica y receptores de factores de crecimiento, lo que abre la posibilidad de utilizar terapias dirigidas.(21, 10, 12)
Factores de riesgo
Los factores de riesgo que aumentan las posibilidades de desarrollar CMTN no están completamente determinados. Esta falta de claridad ha dificultado la disponibilidad de enfoques tempranos y específicos para prevenirlo o tratarlo.
Sin embargo, se reconoce que la prevalencia de CMTN es mayor en el género femenino, en especial en mujeres jóvenes. La frecuencia de diagnóstico es mayor en mujeres que son diagnosticadas antes de los 50 años.
Entre los factores de riesgo asociados, destaca la presencia de mutaciones en el gen BRCA1. Además, la etnia juega un papel importante, ya que el CMTN se presenta con mayor frecuencia en mujeres afroamericanas e hispanas; y en estos grupos, la enfermedad tiende a manifestarse a una edad aún más temprana.
Los factores genéticos también son clave. Se han identificado tasas más altas de CMTN en mujeres jóvenes que presentan mutaciones en el gen BRCA1. Además, se han encontrado mutaciones en el gen PIK3CA en un 9,6% de la población y amplificación del gen JAK2 en el 10,2% de las pacientes con CMTN.(12, 14, 22, 23)
Histopatología
El tipo histológico más común en CMTN es el carcinoma ductal infiltrante, que representa entre el 70% y el 85% de los casos.(14,15)
Diagnóstico
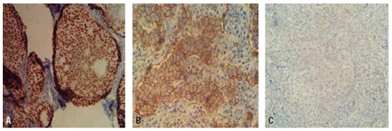
El diagnóstico del CMTN no difiere del método diagnóstico para otros tipos de CM. Se basa en el uso de diversas herramientas de diagnóstico. Estas incluyen el examen físico, la mamografía, la ecografía y la resonancia magnética. El siguiente paso en el proceso de diagnóstico implica la realización de una punción biopsia de la lesión sospechosa para determinar su naturaleza histológica. Además, se realizan pruebas inmunohistoquímicas necesarias para confirmar la ausencia de los receptores hormonales (RE y RP) y la ausencia de HER2.(18, 19, 20,25)
Métodos diagnósticos (mamografía, ecografía y resonancia magnética)
Identificar un tumor como CMTN basándose en los hallazgos radiológicos en mamografía, ecografía y resonancia magnética ha sido un desafío debido a la falta de una caracterización radiológica específica hasta el momento.(21)
En la actualidad, existe el sistema llamado BI-RADS, que busca estandarizar los términos utilizados por los especialistas en diagnóstico por imágenes para la evaluación y clasificación de los hallazgos en imágenes mamarias obtenidas a través de estos métodos diagnósticos, como la mamografía, la ecografía y la resonancia magnética.(20, 27)
- BI-RADS 0: El estudio es incompleto debido a hallazgos de difícil evaluación; se requiere otra modalidad de imagen adicional para una valoración final.
- BI-RADS 1: Evaluación normal, sin lesiones sospechosas.
- BI-RADS 2: Hallazgos típicamente benignos, se recomienda seguimiento en intervalos regulares.
- BI-RADS 3: Hallazgos probablemente benignos (probabilidad de malignidad inferior al 2%); se sugiere un seguimiento más frecuente, por lo general cada seis meses.
- BI-RADS 4: Se identifican anomalías sospechosas que requieren considerar una biopsia.
- BI-RADS 4a: Se realiza una biopsia, pero la probabilidad de malignidad es muy baja (entre el 2% y el 10%).
- BI-RADS 4b: Incluye lesiones con probabilidad intermedia de malignidad (entre el 10% y el 50%).
- BI-RADS 4c: Engloba lesiones con un riesgo de malignidad alto pero atípico (entre el 50% y el 95%).
- BI-RADS 5: Altamente sugestivo de malignidad, con una probabilidad de malignidad superior al 95%. En estos casos, se debe realizar una biopsia o cirugía.
- BI-RADS 6: Refiere a neoplasias ya confirmadas histológicamente. Los estudios se realizan principalmente para estadificar o controlar después del tratamiento.(12, 18, 19)
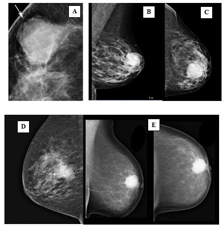
Características radiológicas del cáncer de mama triple negativo en mamografía
Se han llevado a cabo numerosos estudios en distintos países, en especial en Asia, para analizar las características de imagen del CMTN. Estos estudios han revelado que en mamografías la presentación más común suele ser en forma de MASA o NÓDULO, con tasas de hasta el 64%. La mayoría de estas masas carecen de calcificaciones. En contraste, las microcalcificaciones, que son una presentación común en cánceres dependientes de hormonas, se observan en un porcentaje mucho más bajo, alrededor del 5,7%.(19, 6)
En otros estudios se describe que el CMTN puede quedar oculto en mamografía o, en su defecto, presentar características morfológicas benignas, como nódulos sólidos, únicos, de contornos lobulados o asimetrías focales no asociadas a microcalcificaciones.(5, 19, 22, 23, 24, 25, 26, 27)
A menudo, se observa que en mamas con aumento de la densidad categorizada según el American Collage Radiologist como (ACR D), puede verse dificultada la detección del tumor.(20, 22, 23, 24)
Características radiológicas en ecografía
En la investigación bibliográfica de las características de imagen en CMTN, se ha encontrado que en la ecografía la mayoría de las lesiones se manifiestan como nódulos o masas hipoecoicas solitarias, con contornos lobulados o mal definidos, y ocasionalmente presentan sombra acústica.
Además, otras investigaciones similares respaldan estos hallazgos. Se encontró que en un alto porcentaje de casos (hasta el 92%) el CMTN se presentó como nódulos, y en un 7,2% de los casos se manifestó como otra lesión. La gran mayoría de estos nódulos presentaron características hipoecoicas, con una forma ovalada predominante (49,2%). En cuanto a los márgenes, la mayoría de los nódulos tenían márgenes microlobulados (39,7%), y solo un 4% presentaron márgenes espiculados.
Al analizar los hallazgos acústicos posteriores, el refuerzo acústico posterior se destacó como uno de los hallazgos más relevantes, con un 35,5% de los casos. También es común observar que la vascularización de estas lesiones tiende a ser de predominio periférico o ausente. Sin embargo, en un pequeño porcentaje (5%) de los casos, las lesiones pueden pasar desapercibidas en los estudios de ultrasonido.(5, 19, 22, 23, 24, 25, 26, 27)
Características radiológicas en resonancia magnética
En la resonancia magnética estos tumores suelen exhibir características morfocinéticas que sugieren lesiones malignas. La mayoría de los estudios proporcionan información relevante para el análisis de las características morfológicas de los CMTN. Por lo general se presentan con alta señal en secuencias potenciadas en T2 e imágenes STIR (Short Time Inversion Recovery), principalmente centrales, lo que es indicativo de necrosis.(30)
En el estudio dinámico tras la administración de contraste intravenoso, estos tumores se manifiestan como áreas de captación tipo “masa” de aspecto heterogéneo, con realce de predominio periférico y engrosamiento cutáneo asociado. Las curvas de captación son en su mayoría tipo 2 o indeterminadas y tipo 3 (realce intenso con lavado posterior), con bajos niveles de Apparent Diffusion Coefficient (ADC), se acompañan de metástasis ganglionares en el 75% de los casos.(5, 10, 22, 23, 24, 25, 26, 27)
Biopsia y confirmación diagnóstica
La biopsia es una herramienta esencial en la confirmación del diagnóstico del CMTN, ya que proporciona una evaluación precisa de las características del tejido. La inmunohistoquímica brinda información sobre la ausencia de receptores hormonales (estrógeno y progesterona) y la falta de expresión del receptor HER2. Además, esta información ayuda a guiar en la selección del tratamiento. Por lo tanto, la paciente y su equipo médico pueden considerar tratamientos específicos para el CMTN, como la quimioterapia, y en algunos casos, la inmunoterapia.
El CMTN a menudo se asocia con un pronóstico más ominoso, lo que subraya la importancia de una evaluación precisa para tomar decisiones informadas sobre el tratamiento y el seguimiento.(3, 16, 17, 28)
Tratamiento
Los tratamientos principales para el cáncer de mama triple negativo incluyen la cirugía inicial en tumores de menos de 2 centímetros (cm) (T1, N0, M0).
A partir de los 2 cm o en tumores de menos de 2 cm con ganglio/s positivos (enfermedad locorregionalmente avanzada) el tratamiento de inicio, siempre, es la NEOADYUVANCIA con inmunoterapia más quimioterapia.
Dado que el tratamiento del CM es multidisciplinario, se efectuará tratamiento radiante y quimioterapia adyuvante según la respuesta anatomopatológica que se encuentre en la biopsia diferida en la cirugía realizada.
En estadios muy avanzados, se administran tratamientos de primera línea y paliativos. Sin embargo, cada caso individual puede variar en términos de agresividad, pronóstico y respuesta al tratamiento.
El tratamiento es dirigido por un equipo multidisciplinario compuesto por ginecólogos especialistas en mastología, oncólogos, cirujanos oncólogos, radiólogos, radioterapeutas, patólogos, médicos rehabilitadores y paliativistas.(23, 24, 29, 31, 32)
Pronóstico
El CMTN, a diferencia de otros tipos, presenta una mayor probabilidad de recurrencia local y a distancia en los primeros años, de allí la importancia del control exhaustivo en los primeros cinco años, una vez presenten la recaída todos los tratamientos son paliativos y la sobrevida es corta.
Los sitios de recaída más frecuentes son los de peor pronóstico: sistema nervioso central (SNC), meninges, visceral, que incluyen hígado y pulmón.
La tasa de supervivencia global a cinco años se sitúa aproximadamente en el rango del 3% al 5%.(4, 23, 26, 29)
Antecedentes de investigación
A lo largo de esta investigación se exploraron datos recopilados de la bibliografía médica actual, destacando los más relevantes para el contexto de la investigación. El objetivo principal fue arrojar luz sobre la prevalencia, las características imagenológicas en el CMTN y el tipo histológico más común. Este análisis se llevó a cabo con la intención de contribuir al avance en la detección y el manejo del CMTN, proporcionando una base sólida para investigaciones futuras.
“Cáncer mamario triple negativo: ¿Cómo se ve en imágenes? Eleonora Horvath y col. (2012)”
Estudio retrospectivo descriptivo con un total de 586 pacientes diagnosticados con CMTN durante un período de siete años. Se encontró que este tipo de cáncer se diagnosticó con mayor frecuencia en pacientes jóvenes, con una edad promedio de 48 años.
En cuanto a las características imagenológicas, se destacó que en mamografías los tumores pueden pasar desapercibidos en casos de parénquima de tipo C y D. Sin embargo, cuando son visibles, se presentan como imágenes nodulares que no están asociadas con calcificaciones.
En la ecografía estos tumores pueden parecer lesiones de morfología benigna, ya que se manifiestan como nódulos sólidos, redondeados, con márgenes circunscritos, hipoecoicos, con refuerzo posterior y con vascularización periférica.
En estudios de resonancia magnética se identificaron hallazgos altamente sospechosos, caracterizados por nódulos hiperintensos en T2 con realce al contraste en forma de anillo y una curva de lavado (wash out) en tiempo tardío.
La variante histológica más común fue el carcinoma ductal infiltrante (98% de los casos).
“Multimodality imaging of triple Receptor–Negative tumors with mammography, ultrasound, and MRI. Basak E. Dogan y colaboradores (2010)”
Revisión retrospectiva de imágenes de mamografía, ecografía y resonancia magnética en 44 pacientes con diagnóstico de CMTN, evidenciándose que en mamografía este tipo de cáncer se observó en el 91% de los casos como nódulo sólido redondeado.
En ecografía evidenciaron que se expresa como nódulo redondeado u oval, de márgenes circunscritos, hipoecoico con refuerzo acústico posterior en algunas ocasiones categorizado como BI-RADS 3. En resonancia magnética se visualizaron como nódulos de márgenes irregulares, con realce nodular poscontraste en anillo, con curvas anormales en fase tardía tipo “wash out”.
La variante histológica más común fue el carcinoma ductal infiltrante (70,5% de los casos).
“Características Imagenológicas del Cáncer de Mama Triple Negativo. Carolina Casimo y colaboradores (2018)”
Estudio transversal con la participación de 311 pacientes, de los cuales 44 habían sido diagnosticados con CMTN en la sección de patología mamaria del Hospital Nacional “Alejandro Posadas”. Se centraron en analizar y comparar las características de imagen de los CMTN y aquellos que no eran triple negativo.
La edad promedio de presentación de los casos de CMTN fue de 52 años. En la mamografía se identificaron lesiones nodulares sólidas sin calcificaciones asociadas. En las ecografías se observó que los nódulos tenían una forma irregular en la mayoría de los casos, seguidos por nódulos redondeados, con márgenes oscurecidos o lobulados. Además, eran hipoecogénicos y no se alineaban de forma paralela al eje cutáneo. Se notó una ausencia de vascularización en el 77% de los casos. La localización más común de estos fue en la MI, específicamente en el CSE.
En cuanto a las características histológicas, el carcinoma ductal invasor tipo NOS fue el hallazgo más frecuente en esta población, seguido del carcinoma lobulillar invasor. Es importante destacar que no se describieron características específicas en la resonancia magnética en esta cohorte de pacientes.
“Triple Receptor–Negative Breast Cancer: imaging and clinical characteristics. Kristin Krizmanich y colaboradores (2012)”
Se realizó un estudio retrospectivo que incluyó a 1.322 mujeres, de las cuales 207 recibieron un diagnóstico de CMTN durante un período de nueve años. El objetivo fue analizar las características de imagen de este subtipo de CM.
Los resultados revelaron que en las mamografías se observaron nódulos irregulares con márgenes indefinidos y sin calcificaciones asociadas. En las ecografías se identificaron nódulos en su mayoría de forma irregular, con márgenes no definidos; son hipoecoicos, se alinean paralelos al eje cutáneo, y no se encontraron hallazgos acústicos posteriores.
“Cáncer de mama triple negativo: frecuencia y características en el Hospital ‘Ángeles Pedregal’. Consuelo Hernández-Álvarez y colaboradores (2017)”
Estudio longitudinal retrospectivo observacional que involucró a 100 pacientes con CMTN en un período de tres años. La edad de aparición se situó generalmente entre los 41 y 50 años.
En las mamografías se observaron nódulos con morfología irregular, seguidos de los lobulados, sin asociación con calcificaciones, y con una mayor afectación en la MI, específicamente en CSE. En las ecografías, la presentación más común fue un nódulo de morfología lobulada, seguido de cerca por nódulos irregulares, siendo hipoecoicos en el 99% de los casos, con orientación antiparalela y sin hallazgos acústicos posteriores. En la resonancia magnética, el hallazgo predominante fue la presencia de una masa con realce anular y una curva cinética tipo III en fase tardía.
El tipo histológico más común fue el carcinoma ductal invasor, presente en el 89% de los casos.
Enfoque metodológico
Este estudio adopta un diseño longitudinal retrospectivo, descriptivo y observacional, en el que se incluyeron un total de 539 pacientes. De estos, 537 (99%) eran de sexo femenino y 2 (1%) eran de sexo masculino, con diversas edades. Todos estos pacientes concurrieron a DCI entre enero de 2020 y marzo de 2023 para realizarse estudios diagnósticos de mamografía y ecografía mamaria, realizando ambos procedimientos. Para la mamografía, se emplearon proyecciones estándar cráneo-caudal (CC) y medio lateral oblicua (MLO), con proyecciones adicionales según necesidad. Se utilizó un mamógrafo digital Amulet S (Fujifilm).
La ecografía mamaria se llevó a cabo utilizando equipos Toshiba Xario 100 con transductores lineales de alta frecuencia (10-12 MHz) y fue realizada por médicos especialistas en Diagnóstico por Imágenes. Solo 8 pacientes obtuvieron resultados de resonancia magnética mamaria en centros periféricos.
Los datos se recopilaron de los 539 pacientes con hallazgos sospechosos a quienes se les realizó punción mamaria bajo guía ecográfica.
Los pacientes a los que se les realizó este procedimiento fueron aquellos en quienes se verificó que tuvieran los estudios necesarios, incluyendo mamografías y ecografías mamarias realizadas en DCI. Previo a la punción se solicitó laboratorio, que incluyó hemograma y coagulograma completo. Una vez verificada la información se procedió a explicar a los pacientes el procedimiento. Todos firmaron el consentimiento informado (ver Anexo 6).
La punción mamaria se realizó en DCI, verificando a través de la ecografía la presencia de la lesión a punzar, usando equipos Toshiba Xario 100 con transductores lineales de alta frecuencia (10-12 MHz). Tras realizar la asepsia y antisepsia necesarias, se procedió a realizar la punción mamaria con disparador automático de aguja para biopsia (Biocore II MG sistema DANA 2.2 MG 12 tipo Tru-Cut), utilizando una aguja (Histo Biocore 14 GA x 10 CM). Durante el procedimiento, se tomaron de 5 a 8 muestras, que fueron debidamente fijadas en formol, rotuladas y empaquetadas para su envío a estudio histológico.
La interpretación de los resultados se efectuó mediante análisis descriptivo y se utilizó el sistema de archivo y transmisión de imágenes (PACS/DCI). Esta lectura e interpretación estuvo a cargo de médicos especialistas en diagnóstico por imágenes con más de 25 años de experiencia, siguiendo el sistema BI-RADS 5ª edición y clasificándolas como BI-RADS 4.
Recopilación de datos
La recopilación de datos de los pacientes que forman parte del estudio se realizó mediante el análisis de los informes de mamografías y ecografías mamarias a través de la base de datos (ITSOSris/DCI Sistema de Gestión de Radiología), en donde se observaron las punciones mamarias realizadas bajo guía ecografía, en pacientes con diagnóstico de cáncer de mama triple negativo en el período especificado. Las imágenes fueron evaluadas mediante la utilización del sistema de archivo y transmisión de imágenes (PACS/DCI) y el formulario de recolección de datos (ver Anexo 5).
Los informes de resonancia magnética de 8 de las pacientes que conforman el estudio con diagnóstico de CMTN se extrajeron de los datos de la historia clínica. La obtención de información sobre el tipo histológico, grado tumoral e inmunohistoquímica, del laboratorio CEPACIT SRL.
Criterios de inclusión
- Pacientes que se sometieron a punciones mamarias en DCI entre enero de 2020 y marzo de 2023.
- Pacientes con diagnóstico confirmado de CMTN en el mismo período.
- Pacientes que fueron estudiadas con mamografía de 2 proyecciones (oblicuo-medio-lateral y cráneo-caudal) más ecografía.
Criterios de exclusión
- Cáncer de mama masculino.
- Tumor no epitelial en la mama (linfoma, sarcoma y melanoma).
- Tumor metastásico en la mama.
- Pacientes con tratamiento previo de CM.
- Mamografías con inadecuada técnica de toma en alguna de las proyecciones.
Interpretación y análisis de resultados
- Mediante análisis descriptivo.
- Utilización del sistema de archivo y transmisión de imágenes (PACS/DCI).
- Lectura e interpretación a cargo de médicos especialistas en diagnóstico por imágenes a través de (ITSOSris/DCI Sistema de Gestión de Radiología).
La fiabilidad de los datos se puede garantizar mediante:
- La utilización de equipos y procedimientos estándar para las mamografías y ecografías.
- Consistencia en la interpretación de resultados por parte de médicos especialistas en seguir el sistema BI-RADS.
- Obtención de información de un laboratorio especializado que nos proporciona los datos histológicos e inmunohistoquímica (como CEPACIT SRL).
Resultados
Distribución etaria
Se incluyeron en el estudio un total de 539 pacientes, cuya distribución etaria se muestra en el Gráfico 1.
Del 100% de la muestra del estudio, según el análisis por grupos de edad, el mayor porcentaje de pacientes sometidos a biopsia está representado por la población de entre 40 y 50 años, con una edad promedio de 45 años.
Resultados anatomopatológicos
Del total de la muestra de 539 pacientes (100%), 342 (63,5%) tuvieron resultados de patología benigna mamaria y 197 (36,5%) presentaron algún tipo de carcinoma mamario, y 17 pacientes (3,1%), diagnóstico de CMTN.
Tipos de patología benigna
En el 100% (n = 342) del total de la muestra que presentó patología benigna, el diagnóstico más frecuente fue el fibroadenoma, seguido de la fibrohialinosis estromal.
Tipos de carcinomas mamarios
Del total los carcinomas mamarios, el diagnóstico más frecuente fue el carcinoma intraductal, seguido del carcinoma lobulillar.
Carcinoma mamario intraductal (triple negativo y no triple negativo)
De los 197 casos de cáncer que se presentaron, 130 casos fueron carcinoma intraductal; de ellos, solo 17 fueron subtipo triple negativo.
Lateralidad y localización por cuadrante CMTN
De las 17 pacientes con CMTN, 7 corresponden a la Mama Derecha (MD), de las cuales 5 están en CSE y 2 en Cuadrante Supero Interno (CSI). Además, 10 de ellas se ubicaban en la MI, 6 en CSE y 4 en CSI. Concluyendo que hubo una mayor incidencia en la MI y una proporción mayor en CSE.
Características mamográficas del CMTN
Los resultados de las características mamográficas en nuestra población con CMTN (n = 17) se describen de la siguiente manera: la mayoría presentó un tejido fibroglandular ACR B (n = 10), lo que equivale al 60% de la muestra total. Le siguió un ACR A (n = 3). En cuanto a la descripción de los nódulos, se reportaron como ovalados en el 70% de los casos, con márgenes circunscritos en el 47%. Además, se observó que eran hiperdensos en el 76% de los casos y no presentaban calcificaciones asociadas (100%). No se encontró evidencia de adenopatías axilares ni lesiones asociadas mediante este método diagnóstico.
Características ecográficas del CMTN
Los resultados de las características ecográficas revelan los siguientes hallazgos en la investigación. Se describe la forma del nódulo de la siguiente manera: en su mayoría es ovalado (n = 13,76%), con márgenes microlobulados (n = 7, lo que corresponde al 41%), seguido de márgenes circunscritos (n = 5, equivalente al 29%). Además, se observa que son hipoecoicos (n = 16, lo que corresponde al 94,2%) y se ubican de manera paralela al eje cutáneo (n = 15, equivalente al 88,2%).
En relación con los hallazgos acústicos posteriores, se destaca que 14 pacientes, que conforman el 82% del grupo, no presentaban hallazgos acústicos ni calcificaciones intra ni extra nodulares.
En cuanto a la vascularización, se observa que en 14 pacientes (equivalente al 82%) no se detectó vascularización en el estudio realizado con Power Doppler. En contraste, 3 pacientes presentaban vascularización periférica, representando el 17,6% de la muestra. En ninguno de los casos se informó distorsión arquitectural ni cambios cutáneos. Sin embargo, en 15 pacientes se observaron adenopatías axilares, lo que corresponde al 88,2% del grupo estudiado.
Características en RNM del CMTN
En los resultados de las características en resonancia magnética, se debe tener en cuenta que de las 17 pacientes solo se dispone información de 8 resonancias magnéticas realizadas en centros periféricos. Esto representa el 75% de la muestra, equivalente a 8 casos.
De estos casos se destaca que informan una cantidad de tejido fibroglandular tipo B, aunque no describen el realce parenquimatoso de fondo ni hallazgos asociados.
En lo que respecta a la descripción nodular, se encontró que en el 77,7% de los casos (7 de 8) el nódulo se reportó como redondeado, seguido de la forma ovalada.
Los márgenes del nódulo en 7 casos se describen como circunscritos y solo en 1 caso se reporta como espiculado.
Según lo referido realce interno del nódulo, 5 casos presentaron realce heterogéneo periférico y 3 casos mostraron un realce en forma de anillo.
Finalmente, en la evaluación de la valoración de las curvas cinéticas, se notó que en la fase inicial los 8 casos tenían una fase rápida. En la fase tardía, 6 de los casos presentaban un patrón de wash out, mientras que 2 casos mostraban un tipo de realce en meseta.
Discusión
Los resultados de este estudio longitudinal retrospectivo y observacional arrojaron información valiosa sobre la población de pacientes sometidos a estudios diagnósticos de mama en el DCI durante un período de tres años. Aquí, discutiremos los hallazgos más relevantes y su implicación clínica.
El primer aspecto destacado es la preponderancia de pacientes del sexo femenino (99%), lo que es consistente con la epidemiología del CM. Además, la distribución por edades muestra que la población de 40 a 50 años fue la más afectada. Esto concuerda con la importancia de la detección temprana en este grupo etario, ya que la edad promedio de 45 años indica la necesidad de una atención especializada en este rango.
El análisis histopatológico reveló que la mayoría de los casos presentaron patología benigna, siendo el fibroadenoma la lesión más común en este grupo. En cuanto a los casos de CM, el carcinoma intraductal fue la forma más frecuente, seguido del carcinoma lobulillar. Los resultados también destacaron un subconjunto de pacientes con CMTN, una forma agresiva de la enfermedad. La lateralidad de los tumores mostró una mayor presencia en la MI, con una mayor proporción en el CSE.
Los hallazgos radiológicos, tanto en mamografía como en ecografía, describen características comunes de los nódulos en pacientes con CMTN, incluyendo la forma ovalada, los márgenes circunscritos o lobulados, la hipoecogenicidad y la ausencia de hallazgos acústicos posteriores. Estos resultados subrayan la importancia de la evaluación exhaustiva de las características mamográficas y ecográficas en el diagnóstico y la estratificación de los CMTN, que presentan concordancia con lo descrito en la bibliografía médica actual revisada.
Los resultados de resonancia magnética mostraron hallazgos consistentes con la literatura, incluyendo el realce periférico, nódulos heterogéneos y curvas cinéticas tipo 2 y 3. A pesar de la limitada disponibilidad de resonancias magnéticas en centros periféricos, estos hallazgos respaldan la utilidad de esta técnica en la evaluación de tumores mamarios.
Conclusiones
El estudio logró determinar la incidencia del CMTN en la cohorte de pacientes sometidos a punción mamaria en el DCI durante el período comprendido entre enero de 2020 y marzo de 2023.
Se destaca la importancia de la detección temprana en mujeres de 40 a 50 años, ya que esta población fue la más afectada por el CMTN, respaldando la necesidad de una atención especializada en este grupo.
El análisis histopatológico reveló una alta proporción de patología benigna, con el fibroadenoma como la lesión más común en este grupo. En los casos de CM, el carcinoma intraductal fue el más frecuente.
Entre los casos de CMTN, la variante histopatológica más frecuente fue el carcinoma ductal infiltrante.
Se observó una mayor presencia de tumores en la MI, principalmente en CSE.
Los hallazgos imagenológicos en mamografías, ecografías y resonancias magnéticas en pacientes con CMTN concuerdan con la bibliografía médica actual, lo que respalda la utilidad de estas técnicas para el diagnóstico y caracterización de los CMTN.
El estudio subraya la importancia de una atención multidisciplinaria y el seguimiento adecuado de pacientes con CMTN, especialmente en grupos de alto riesgo, para garantizar una detección temprana y un manejo efectivo de esta forma agresiva de cáncer de mama.
La investigación contribuye a la comprensión del CMTN y proporciona información valiosa para la práctica clínica, respaldando la importancia de la imagenología en la detección y el diagnóstico preciso de esta enfermedad. Los hallazgos presentados pueden servir como base para futuras investigaciones y mejoras en la atención médica de pacientes con CMTN.
Recomendaciones
Fomentar la sensibilización y educación llevando a cabo campañas de difusión dirigidas a mujeres y a profesionales de la salud para aumentar la conciencia sobre el CMTN y la importancia de exámenes regulares.
Se sugiere implementar programas de detección temprana multidisciplinarios que incluyan oncólogos, radiólogos y patólogos en la institución, específicamente dirigidos a mujeres de 40 a 50 años, lo que podría contribuir a un diagnóstico más temprano y un tratamiento más efectivo.
Dado el alto número de patologías benignas, es importante establecer protocolos de seguimiento y monitoreo de las lesiones benignas detectadas para evitar diagnósticos erróneos y asegurar una atención integral.
Los hallazgos sobre la variante histopatológica más común y la ubicación de los tumores podrían servir como base para futuras investigaciones, para comprender mejor la biología del CMTN y desarrollar enfoques de tratamiento más efectivos.
Si bien se confirmó la utilidad de las mamografías, ecografías y resonancias magnéticas, se sugiere la estandarización de la realización de resonancias magnéticas mamarias en todas las pacientes con lesiones sospechosas que serán sometidas a punción mamaria.
Aunque se confirmó la utilidad de las mamografías, ecografías y resonancias magnéticas, la investigación de nuevas técnicas alternativas de imagen, como la tomografía por emisión de positrones (PET) o la elastografía, podría ofrecer perspectivas adicionales y complementarias para mejorar la precisión del diagnóstico y la caracterización de los CMTN.
Los hallazgos sobre la utilidad de la imagenología en el diagnóstico del CMTN subrayan la importancia de invertir en investigación en esta área, desarrollando tecnologías y métodos de diagnóstico más avanzados y precisos.
Se puede promover la colaboración y participación entre instituciones médicas y científicas para realizar estudios multicéntricos para compartir datos, recursos y tratamiento del CMTN en la investigación, lo que puede llevar a avances significativos.
Bibliografía
- Palmero, P. J., Lassard, R. J., Juárez, A. L. A., Medina, N. C. A. (2021). Cáncer de mama: una visión general. Acta Médica Grupo Ángeles, 19(3), 354-360. https://dx.doi.org/10.35366/101727
- Yin, L., Jiang, D., Bian, X. W., & Yu, S. C. (2020b). Triple-negative breast cancer Molecular subtyping and treatment progress. Breast Cancer Research, 22(1). https://doi.org/10.1186/s13058-020-01296-5
- Dent, R., Trudeau, M., Pritchard, K. I., Hanna, W., Kahn, H. K., Sawka, C., Lickley, L., Rawlinson, E., Sun, P., & Narod, S. A. (s.f.). Triple-Negative Breast Cancer: Clinical Features and Patterns of Recurrence. Clinical Cancer Research, 13(15), 4429-4434. https://doi.org/10.1158/1078-0432.ccr-06-3045
- Cisternas, T. (2019). Cáncer de Mama Triple Negativo. Centro de Educación Médica e Investigaciones Clínicas “Norberto Quirno” (CEMIC), Residencia postbásica. Revista Argentina de Mastología, 38 (138), 55–78. https://www.revistasamas.org.ar/revistas/2019_v38_n138/07.pdf
- Horvath, E., Bañuelos, O., Silva, C., Mondaca, J., González, P., Gallegos, M., Galleguillos, M. C., Pinochet, M. Á., Fernández, M., Junemann, K. y Camacho, J. (2012). Cáncer mamario triple negativo: ¿Cómo se ve en imágenes? Revista chilena de radiología, 18(3), 97-106. https://dx.doi.org/10.4067/S0717-93082012000300003
- Gao, B., Zhang, H., Zhang, S., Cheng, X. et al. (2014). Mammographic and clinicopathological features of triple-negative breast cancer. The British Journal of Radiology, 87(1039), 20130496. https://www.ncbi.nlm.nih.gov/pmc/articles/PMC4075572/pdf/bjr.20130496.pdf
- Picazo, J. P., Rosenthal, J. L., Aguilar, L. A. J. y Núñez, C. (2021). Cáncer de mama: una visión general. Acta Médica Grupo Ángeles, 19(3), 354-360. https://doi.org/10.35366/101727
- Estadísticas–Incidencia (23 de noviembre de 2021). Argentina.gob.ar. http://www.argentina.gob.ar/salud/instituto-nacional-de-cancer/estadisticas/incidencia
- Día Mundial contra el Cáncer 2023: Por unos cuidados más justos (s. f.). OPS/OMS. Organización Panamericana de la Salud. https://www.paho.org/es/campanas/dia-mundial-contra-cancer-2023-por-unos-cuidados-mas-justos
- Gómez, E. M., Velasco, F. A., Cuetos, A. C., González, N., Goñí, Á. Z. y Llueca, A. (2017). Perfil de pacientes con mutación BRCA y cáncer de mama. Revista de Senología y Patología Mamaria, 30(4), 155-161. https://doi.org/10.1016/j.senol.2017.11.001
- Yustos, M. A., Angulo, M. M. y Soto, M. Á. (2017). Cáncer de mama. Medicine – Programa de Formación Médica Continuada Acreditado, 12(34), 2011-2023. https://doi.org/10.1016/j.med.2017.05.001
- Oakman, C., Viale, G. y Di Leo, A. (2010). Management of triple negative breast cancer. The Breast, 19(5), 312-321. https://doi.org/10.1016/j.breast.2010.03.026
- Hernández-Álvarez, C., Romo-Aguirre, C. y Ortiz-de Iturbide, C. (2017). Cáncer de mama triple negativo: frecuencia y características en el Hospital Ángeles Pedregal. Acta Médica Grupo Ángeles, 15(4), 269-274. http://www.scielo.org.mx/scielo.php?script=sci_arttext&pid=S1870-72032017000400269&lng=es&tlng=es.
- Spitale, A., Mazzola, P., Soldini, D., Mazzucchelli, L., & Bordoni, A. (2009). Breast cancer classification according to immunohistochemical markers: clinicopathologic features and short-term survival analysis in a population-based study from the south of Switzerland. Annals of Oncology, 20(4), 628-635. https://doi.org/10.1093/annonc/mdn675
- Vallejos, C. S., Gómez, H., Cruz, W. R., Pinto, J. A., Dyer, R., Velarde, R., Suazo, J. F., Neciosup, S. P., León, M. V., Crúz, M. A., & Vigil, C. E. (2010). Breast cancer classification according to immunohistochemistry markers: subtypes and association with clinicopathologic variables in a Peruvian hospital database. Clinical Breast Cancer, 10(4), 294-300. https://doi.org/10.3816/cbc.2010.n.038
- Melo-Sánchez, S. A., Gelvez-Parra, L. T., Osma-Zambrano, S. E. (2016). Clasificación inmunohistoquímica del cáncer de mama y su importancia en el diagnóstico, pronóstico y enfoque terapéutico. MedUNAB, 18(3): 193-20. https://revistas.unab.edu.co/index.php/medunab/article/view/2228
- Martínez, B. E. H. (28 de septiembre de 2020). Caracterización del cáncer de mama triple negativo. Revista Finlay. https://revfinlay.sld.cu/index.php/finlay/article/view/850
- Fraguell, M. V., Crivillé, M. S., Ferrari, J., Navarro, F. J. A., Dalmau, E., Roquerols, J. P. y Baré, M. (2016). Carcinoma de mama triple negativo. Heterogeneidad inmunofenotípica y en el comportamiento farmacocinética. Radiología. https://doi.org/10.1016/j.rx.2015.07.005
- Porcayo, T., Ríos Rodríguez, N. y Tenorio, E. (2017). Hallazgos, mediante ultrasonido y mastografía, en cáncer de mama triple negativo. Anales de Radiología México, 16(4): 286-296. http://www.medigraphic.com/pdfs/anaradmex/arm- 2017/arm174d.pdf
- Sarquis, F., Moreau, R. y Pucci, P. (2018). BI-RADS® 5ta edición. Revista Argentina de Radiología, 82(02), 102-104. https://doi.org/10.1055/s-0038-1656521
- Rebolledo, V. y Silvestre, C. C. (2016). Imagen en la mamografía del carcinoma de mama triple negativo. Revista de obstetricia y ginecología de Venezuela, 76, 182-187. http://ve.scielo.org/pdf/og/vs1/art06.pdf
- Casimo, C., Arra, M. I., Gentile, L. A., Martínez, F., Stigliano, J. H., Prieto, C., Mural, J. (2018). Características Imagenológicas del Cáncer de Mama Triple Negativo. Servicio de Ginecología del Hospital Nacional “Profesor A. Posadas”, Buenos Aires, Argentina. Revista Argentina de Mastología, 37(134), 95-109. https://www.revistasamas.org.ar/revistas/2018_v37_n134/11.pdf
- Hernández Rodríguez, M. C., Gonzalo Domínguez, M., Álvarez Álamo, V., Martínez Lara, C., Hernández Corral, T. y Marín Balbín, J. (2018). Cáncer de mama triple negativo, un reto diagnóstico. Seram. https://www.piper.espacio-seram.com/index.php/seram/article/view/847/493
- Heredia Martínez, B. E. (2018). Caracterización del Cáncer de mama triple negativo. Revista Finlay, 10(3). http://revfinlay.sld.cu/index.php/finlay/article/view/850
- Dogan, B. E., González-Angulo, A. M., Gilcrease, M. Z., Dryden, M. J., & Yang, W. T. (2010). Multimodality imaging of triple Receptor–Negative tumors with mammography, ultrasound, and MRI. American Journal of Roentgenology, 194(4), 1160-1166. https://doi.org/10.2214/ajr.09.2355
- Krizmanich-Conniff, K. M., Paramagul, C., Patterson, S. K., Helvie, M. A., Roubidoux, M. A., Myles, J. D., Jiang, K., & Sabel, M. S. (2012). Triple Receptor–Negative Breast Cancer: imaging and clinical characteristics. American Journal of Roentgenology, 199(2), 458-464. https://doi.org/10.2214/ajr.10.6096
- Crivellé, M. S. y Giménez, L. T. (2012). Características de imagen del carcinoma triple negativo. Revista de Senología y Patología Mamaria. https://doi.org/10.1016/s0214-1582(12)70005-1
- Moraima Márquez, S., Lacruz U., J. C., López, F., y Borges, R. (2012). Sobrevida en pacientes con cáncer de mama triple negativo. Revista de Obstetricia y Ginecología de Venezuela, 72(3), 152-160. http//ve.scielo.org/scielo.php?script=sci_arttext&pid=S0048-77322012000300003&lng=es&tlng=es
- Yin, L., Jiang, D., Bian, X. W., & Yu, S. C. (2020). Triple-negative breast cancer Molecular subtyping and treatment progress. Breast Cancer Research, 22(1). https://doi.org/10.1186/s13058-020-01296-5
- Hernández-Álvarez, C., Romo-Aguirre, C. y Ortiz-de Iturbide, C. (2017). Cáncer de mama triple negativo: frecuencia y características en el Hospital Ángeles Pedregal. Acta Médica, 15(4), 269-274. https://www.medigraphic.com/cgi-bin/new/resumen.cgi?IDARTICULO=75893
- Derakhshan, F., & Reis‐Filho, J. S. (2022). Pathogenesis of Triple-Negative breast Cancer. Annual Review of Pathology-mechanisms of Disease, 17(1), 181-204. https://doi.org/10.1146/annurev-pathol-042420-093238
- Eom, H., Hee, J., Choi, W. J., Chae, E. Y., Shin, H. J., & Kim, H. H. (2017). Predictive clinicopathologic and dynamic Contrast-Enhanced MRI findings for tumor response to neoadjuvant chemotherapy in Triple-Negative breast cancer. American Journal of Roentgenology, 208(6), W225-W230. https://doi.org/10.2214/ajr.16.17125
Anexos
Anexo 1. Imágenes mamográficas de CMTN

Anexo 2. Imágenes ecográficas del CMTN






Anexo 3. Imágenes CMTN en resonancia magnética




Anexo 4. Inmunohistoquímica CMTN

Anexo 5.Formulario de recopilación de datos de pacientes
Información demográfica:
Edad:
Género:
Fecha de ingreso al Centro de Diagnóstico Científico Integral:
Diagnóstico de cáncer de mama: SI NO
Tipo histológico del cáncer:
Resultados de inmunohistoquímica: triple negativo: SI NO

















