Errores radiológicos

En esta etapa del curso vamos a analizar los distintos errores con los que nos podemos encontrar durante el proceso de análisis de las imágenes. Para facilitar su comprensión, vamos a dividir los posibles errores radiológicos en cinco grupos. Estos son los siguientes:

  1. Sintema ventricular
  2. Espacios subaracnoideos
  3. Alteraciones de la densidad
  4. Medios de contraste
  5. Ventana ósea

Sistema ventricular

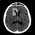
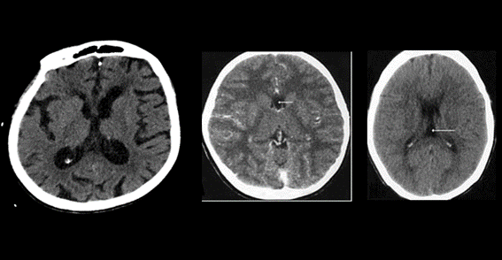
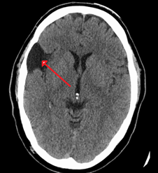
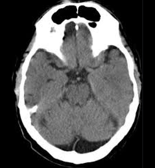
El primero de todos es la asimetría ventricular, caso en el que observamos a un ventrículo de mayor tamaño respecto al contralateral sin que esto signifique hidrocefalia. Esto lo podemos corroborar al identificar las astas temporales de similar tamaño.

Fig. 1.

El segundo error habitual puede producirse ante la presenta de una coartación ventricular. Esto consiste en un contacto de las paredes ependimarias sin valor patológico suele ser confudnido con lesiones con efecto de masa.

Fig. 2.

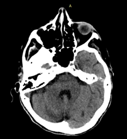
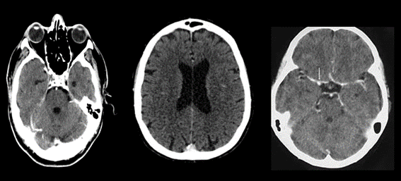
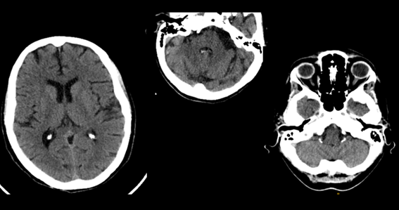
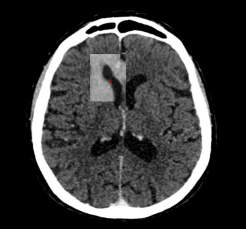
Las calcificaciones del sistema ventricular constituyen un error clásico y se confunden con hemorragias o masas.

Fig. 3.

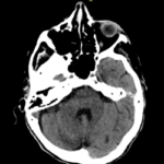
Dentro de las astas posteriores de los ventrículos laterales a veces nos encontramos con xantogranulomas de los plexos coroideos. Debemos tener presente que estos se componen por quistes neuroepiteliales sin valor patológico.

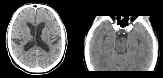
Cavidades del septum. El septum es un fino tabique formado por dos láminas gliales ubicadas entre el cuerpo calloso en dirección cefálica y el trígono caudalmente. Existen tres variantes: el cavum pellucidum, cavum vergae y cavum interpositum.

Fig. 4.

Espacios subracnideos

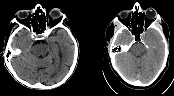
En los espacios subaracnoideos encontramos los quistes aracnoideos y la mega cisterna magna. Esta última es fácilmente identificable por la presencia de tabiques.

Fig. 5.
Fig. 6.

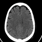
Existen casos donde podremos observar un aumento del espacio subaracnoideo lo cual no debe informarse como patológico o como atrofia yo que el mismo puede simplemente deberse a un hallazgo de naturaleza constitucional.

En relación con la atrofia cortical que es propia de los pacientes añosos, esta no debe confundirse con higromas o hematomas subdurales crónicos.

Fig. 7.

Alteraciones densitométricas 

Encontramos como primer error el volumen parcial dado por estructuras vecinas, es frecuente con las estructuras óseas

Los lóbulos temporales y fosa posterior son afectados por artefactos de endurecimiento del rayo y se aprecian como zonas de hipodensidad irregular y no debe confundirse con gliomas. Se diferencian por la falta de masa.

Fig. 10.
Fig. 9.

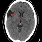
Medios de contraste

Se pueden apreciar imágenes que pueden confundirse con aneurismas o malformaciones vasculares, pero al detallarse en otro plano (coronal), las  identificamos como  variantes anatómicas como elongaciones, bifurcaciones ,  anomalías venosas del desarrollo o vasos tentoriales.

Fig. 11.

Ventana ósea

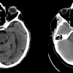
En relación con los errores radiológicos asociados a la ventana ósea, en primer lugar diremos que la asimetría del golfo de la yugular con senos sigmoideos prominente puede simular un tumor de la base de cráneo.

Las granulaciones de Paccioni son vellosidades aracnoideas donde se reabsorbe el LCR son extensiones focales laterales de los senos venosos. Crecen con la edad y crean indentaciones o scallping en la tabla interna, no deben confundirse con metástasis.

Y por último la asimetría del cráneo que un 7% de los cráneos normales la fosa occipital izquierda es más grande que la derecha. Este aspecto plagiocefalica posicional no debe confundirse con una craneosinostosis de un cierre prematuro de la sutura lamboidea .

Errores radiológicos

Etiquetas de lecciones: radiología, tomografía computada
Volver a: Tomografía Computada con Linda Alvarado > Módulo 1 - Introducción