>Autores
Dr. Daniel Álvarez; Dra. Claudia Díaz; Dr. Hugo J. Paladini (Hospital Universitario Fundación Favaloro, Buenos Aires, Argentina)
INTRODUCCIÓN
La hipertensión arterial (HTA) es la enfermedad diagnosticada con mayor frecuencia en las sociedades occidentales de Europa y EE.UU. y la realidad actual argentina se muestra similar. Si bien se contaba con datos desactualizados y poco específicos (ya que la mayoría de los estudios epidemiológicos argentinos sobre HTA se habían realizado en los noventa), en 2012 el estudio Registro Nacional de Hipertensión Arterial (RENATA), realizado por la Sociedad Argentina de Cardiología, la Federación Argentina de Cardiológica y el Consejo Argentino de Hipertensión Arterial, nos aproximó a la prevalencia de HTA y el grado de conocimiento, tratamiento y control en la Argentina (1).
Sabemos ahora que la prevalencia de HTA en la población general (edad: 43,7 ± 17 años) es de 33,5%, (44,6% en hombres y 25,9% en mujeres). De estos, un 37,2% de los pacientes desconoce ser hipertenso y el 6,6% sabe que lo es pero no se trata. El 56,2% se encuentra bajo tratamiento antihipertensivo, pero solo el 26,5% se encuentra bien controlado (2).
Dentro de las diferentes causas de HTA, cabe destacar la de origen renovascular o hipertensión renovascular (HTRV), que si bien en la población general representa entre el 1% y el 10%, en el subgrupo de los ancianos con evidencia de enfermedad ateroesclerótica o con hipertensión severa o acelerada, la prevalencia supera el 30% (3-4).
Los parámetros clínicos que sugieren una presunta HTRV son: hipertensión en sujetos jóvenes, hipertensión de origen reciente en mayores de 55 años, presencia de soplos abdominales, de insuficiencia renal idiopática, hipertensión arterial acelerada o refractaria, insuficiencia renal aguda en paciente tratados con inhibidores de la enzima convertidora de angiotensina (3-4-5-6-7).
La HTRV es causada típicamente por dos tipos de lesiones: fibrodisplasia y arterioesclerosis. La primera puede ser medial o perimedial: la medial se caracteriza por ser estenosante, por presentarse en mujeres jóvenes y por no evolucionar hacia la obstrucción, mientras que la perimedial suele presentarse con estenosis severa en mujeres más jóvenes y tiende a progresar hacia la obstrucción. La lesión arterioesclerótica es la más frecuente, se localiza en el ostium y generalmente se asocia con lesiones vasculares en otras zonas del organismo.
Teniendo presente que en la HTA el control de la presión arterial disminuye la morbimortalidad cardiovascular y que la HTRV es un trastorno potencialmente curable (mejorando o incluso curando la HTA y preservando la función renal), no es de sorprender que se hayan desarrollando una serie de métodos de investigación de la enfermedad (8-9).
MÉTODOS DE DIAGNÓSTICO
Existen múltiples métodos, cada uno con sus ventajas y desventajas, la elección dependerá de las características del paciente y la expertise con los métodos disponibles (9).
La arteriografía digital ha sido tradicionalmente el standard para evaluar la presencia de HTRV, ya que permite visualizar de forma directa las arterias renales. Sin embargo, presenta varias desventajas: se trata de un método invasivo, de costos elevados y con cierto grado de variabilidad interobservador en la medición de las estenosis (10). La información que brinda es solo anatómica, pero no evalúa el flujo ni las consecuencias hemodinámicas de la estenosis, lo que lleva a este gold standard a posiblemente subestimar la performance de test funcionales (11).
Además, la hiperazotemia es frecuente en pacientes con estenosis renal de origen ateroesclerótico, lo que limita a recurrir a este método como prueba ya que por la administración de contraste iodado y embolización ateromatosa a los riñones puede provocar insuficiencia renal aguda.
Para superar estas limitaciones se ha trabajado sobre una serie de pruebas no invasivas.
La angiotomografía computada (aTC) presenta una excelente definición anatómica de las arterias renales, pero además de los altos costos requiere la administración de contraste iodado endovenoso y no es capaz de definir flujo (similar a lo planteado con la angiografía digital).
La angioresonancia (aRM) es un método de estudio no invasivo atractivo para evaluar arterias renales. Puede realizarse con o sin contraste endovenoso. El contraste utilizado es gadolinio y su uso aumenta la sensibilidad y especificidad del método. Un problema que debe destacarse es que el gadolinio está contraindicado en pacientes con alteración de la función renal (escenario frecuente en pacientes con sospecha de HTRV), ya que puede generar fibrosis retroperitoneal. A esta paradoja se le suman los elevados costos y su precisión comprometida por sobrestimar el grado de estenosis (12-13).
Desde su introducción en 1984, el Doppler de las arterias renales ha ganado popularidad progresivamente; además de ser no invasivo, reproducible y de costo relativamente bajo, combina la posibilidad de visualizar la estenosis (modo-B) con la de establecer sus consecuencias hemodinámicas a través de la determinación de índices de velocidad (Doppler) en la arteria renal principal y las arterias intrarenales. Por consiguiente, ofrece información tanto anatómica como funcional. A diferencia de otras pruebas diagnósticas, sus resultados no se ven afectados por medicamentos que puedan estar tomando los pacientes, por el nivel de función renal, por si la enfermedad es unilateral o bilateral, o si afecta a un riñón único. El Doppler de las arterias renales es altamente sensible y específico para diagnosticar una enfermedad significativa de la arteria renal; sin embargo, es técnicamente demandante y su curva de aprendizaje es marcada, por lo que muchas veces se encuentran estudios técnicamente deficientes. Por ese motivo, cada laboratorio debe comparar los resultados Doppler con los de las arteriografías para asegurarse una buena correlación entre ambos métodos. El Doppler también es un buen método para efectuar controles (cada 6 a 12 meses) de pacientes que han sido sometidos a intervenciones de las arterias renales; de este modo se pueden detectar reestenosis y se puede intervenir antes que la arteria renal se ocluya. El tiempo estimado por estudio es de 20 a 30 minutos en manos de operadores experimentados.
A pesar de todos los avances tecnológicos, la principal dificultad técnica que presenta el eco Doppler de las arterias renales es el meteorismo, aunque también afectan afectan sus resultados la obesidad, las heridas y cicatrices, la tortuosidad de las arterias, las calcificaciones aórticas y, como con toda evaluación Doppler, la necesidad de efectuar las determinaciones con un ángulo menor de 60 grados (14). Otro aspecto negativo frecuentemente mencionado de esta modalidad es su incapacidad de diferenciar entre estenosis moderadas (60-79%) de las severas (80-99%), tema al que nos referiremos más adelante.
DETECCIÓN DE LA ESTENOSIS DE LA ARTERIA RENAL MEDIANTE DOPPLER
La estenosis de la arteria renal mediante la técnica Doppler se detecta de dos formas: por la alteración de la forma de onda en una posición distal a la estenosis y por el aumento de la velocidad a nivel de la estenosis. Denominamos determinación “intrarenal” a la que se realiza distal a la estenosis y “extrarenal” a la que se practica a nivel de esta. Los expertos todavía no alcanzaron un consenso sobre cuál de los dos métodos es más preciso, y algunos autores abogan por combinarlos a ambos junto con la comparación látero-lateral de los resultados.
Determinación intrarenal. Los cambios en la forma de onda intrarenal son producto de la interacción entre la resistencia al flujo y la ductilidad arterial. Este fenómeno se traduce en el aumento del tiempo de aceleración (TA) y en la disminución del índice de resistencia (IR), parámetros que determinan indirectamente la presencia de estenosis. Realizando mediciones precisas (Fig. 1), el IR se calcula a partir de la fórmula:
IR = (Velocidad del pico sistólico – velocidad diastólica final) / Velocidad del pico sistólico
Cuando IR es <0,60, es sugestivo de estenosis de la arteria renal. El TA corresponde al tiempo que transcurrido desde diástole final hasta el primer pico sistólico y se diagnostica estenosis en el caso de que el resultado sea >0,90 seg (Fig. 2, Fig. 3).
La técnica del estudio intrarenal consiste en determinar el IR y el TA en las arterias segmentarias o interlobares sobre los polos superior, medio e inferior del riñón, teniendo siempre en cuenta que el ángulo respete el trayecto de la arteria.
Las ventajas de esta modalidad residen en que permite optimizar la isonacición del ángulo y minimizar las dificultades asociadas con la anatomía del paciente, lo que hace que el estudio insuma menos tiempo y que sea viable en prácticamente todos los sujetos.
Las limitaciones de este método son que no detecta estenosis <50%, que lo afecta la presencia de múltiples arterias renales y polares (en el 22 a 27% de los casos) y que no puede diferenciar entre oclusión y estenosis crítica. Además, la comparación látero-lateral es imposible en pacientes monorenos e inútil en el caso de estenosis bilaterales.
Independientemente de estos aspectos técnicos, hay otros factores relacionados con los pacientes que afectan la interpretación de los resultados de las determinaciones intrarenales; estos son presión arterial, edad, fármacos (inhibidores de la ECA, ß-bloqueantes) y otras patologías como nefropatías y cardiopatías (9).
Así, tienendo presente que los factores que influyen sobre la distensibilidad del vaso son tan numerosos y variables, y a que el grado de resistencia del órgano terminal también varía, todos los índices que intentan detectar estenosis arterial recurriendo a parámetros influidos por el efecto resistencia-distensibilidad están destinados al fracaso (9).
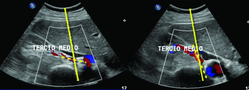
Determinación extrarenal. Esta determinación se realiza midiendo la velocidad del pico sistólico y la velocidad diastólica final de la arteria renal a nivel de ostium, en el tercio medio y el hilio renal. También en este caso se calculan el índice de resistencia y el tiempo de aceleración, y deben realizarse no menos de tres determinaciones para confirmar el diagnóstico.
La principal limitación del estudio extrarenal es el meteorismo, aunque también lo afectan la obesidad, los movimientos respiratorios, la tortuosidad arterial y un ángulo de incidencia incorrecto (correcto <60º) (Fig. 4) (14).
Otro problema que plantea este tipo de evaluación es la dificultad para visualizar las arterias accesorias y la alta tasa de falla técnica, que alcanza el 20 a 40% en manos inexpertas. Este método es operador dependiente y presenta una marcada curva de aprendizaje.
De acuerdo con la bibliografía especializada, otra de las limitaciones de esta modalidad es que no es posible diferenciar entre estenosis moderadas y severas. Sin embargo, en nuestro laboratorio elaboramos criterios para diferenciar entre estos dos grados de estenosis sobre la base de arterias renales estudiadas y comparadas con arteriografía.
Parámetros Doppler a evaluar
A. Velocidad del pico sistólico es la determinación de la velocidad máxima del flujo sanguíneo durante la sístole. Utilizando como criterios de estenosis los descriptos en la Tabla 1. Compartimos dos casos (Fig. 5, Fig. 6), con mediciones normales y patológicas.
B. Velocidad de diástole final es la determinación de la velocidad del flujo sanguíneo sobre el final de la diástole.
C. El índice de resistencia.
D. El tiempo de aceleración.
| Tabla 1. Criterios de estenosis según la velocidad del pico sistólico | |
| Porcentaje de estenosis | Velocidad del pico sistólico |
| 0-59% | <220 cm/s |
| 60-79% | 220-300 cm/s |
| 80-99% | >300 cm/s |
Habitualmente se puede obtener un espectro de onda para el análisis de la velocidad del pico sistólico en el 92% de los casos. En el 8% restante, la arteria renal se visualiza parcialmente.
Consideramos que el eco Doppler color es útil para determinar el grado de evolución de la enfermedad renovascular, es decir, si la estenosis es moderada o severa, con el objetivo de instituir las medidas terapéuticas necesarias para preservar la función renal. La historia natural de estos pacientes muestra que la estenosis de la arteria renal tiende a progresar en el 20 a 40% de los casos y frecuentemente lleva a la oclusión del vaso comprometido. La presencia de flujo turbulento a nivel de la estenosis aumenta la agregación plaquetaria favoreciendo la trombosis y por ende la progresión de la lesión estenótica.
La angiografia es el gold standard para cuantificar el grado de estenosis en la arteria renal, pero su costo y carácter invasivo limita su uso como estudio de pesquisa en una población cuya patología de base (HTA) puede presentar alteración de la función renal.
En nuestras manos el eco Doppler color demuestra tener una sensibilidad del 88%, una especificidad del 94% para el diagnóstico de estenosis de la arteria renal > al 60. Los valores hallados coinciden con los de Kohler et al.15 quienes encontraron una sensibilidad de 91% y una especificidad del 95%, y con los de Hansen et al.16, cuyos resultados se asociaron con una sensibilidad del 93% y una especificidad del 95%.
La técnica Doppler presenta desventajas, como dependencia del operador, dificultad en la visualización de toda la arteria y evaluación de las arterias accesorias (presentes en aproximadamente el 10 a 20% de la población); sin embargo, consideramos que es un estudio confiable para detectar estenosis crítica de la arteria renal de forma no invasiva.
Otras utilidades del índice de resistencia. Como previamente se explicó, es un índice que mide el grado de impedancia arterial intrarenal. No solo se considera un valor bajo como patológico, sino tambien cuando supera 0.7. Sus valores, incluso en pacientes sanos, presentan una gran dependencia del área evaluada y de la edad del paciente (9-21). También aumenta en enfermedades renales, incluso con niveles de creatinina normal.
De todas formas, encontrar una variabilidad de más del 5% entre ambos riñones es anormal y sugiere una estenosis a nivel del riñón con índice de resistencia menor.
Existen artículos que sugieren la utilidad del índice de resistencia como marcador de lesión de organ blanco en HTA esencial (17-18). Existen meta análisis que evaluaron los artículos al respecto concluyendo que dependiendo el grupo de pacientes investigados, el índice puede ser más fidedigno para este uso, especialmente en pacientes con enfermedades cardiovasculares y diabetes o nefropatía con insuficiencia renal aguda o crónica (12).
Otra utilidad del índice de resistencia en pacientes con HTA es que permite predecir la respuesta al tratamiento de revascularización. Los índices mayores o iguales a 0,8 están asociados a una menor probabilidad de mejoría de la HTA (19-20).
CONCLUSIÓN
La enfermedad reno vascular afecta a un importante porcentaje de la población, y en muchos casos es asintomática o desconocida por el propio paciente. Algo sumamente perjudicial debido al impacto negativo a nivel cardiovascular y renal.
Uno de los métodos para su diagnóstico es Doppler color renal, el cual constituye una excelente herramienta, en manos de operadores experimentados. Es un método no invasivo, que no requiere de la administración de contraste ni de la irradiación del paciente, y aporta información diagnóstica que servirá para definir el tipo de tratamiento y seguimiento en conjunto con datos clínicos y de laboratorio del paciente.
Bibliografía
- Majul, C; Marin, M; Delucchi, A et al. “Consenso de Hipertensión Arterial”; Rev Argent Cardiol, 2013, 81, 1-72.
- Marin, M; Fábregues, G; Rodríguez, P et al. “Registro Nacional de Hipertensión Arterial. Conocimiento, Tratamiento y Control de la Hipertensión Arterial. Estudio RENATA”; Rev Argent Cardiol, 2012, 80, 121-9.
- Bloch, MJ; Basile, J. “The diagnosis and management of reno- vascular disease: a primary care perspective”; J Clin Hypertens, 2003, 5, 210-8.
- Strandness, DE. “Doppler and ultrasound methods for diagnosis”; Seminars in Nephrol, 2000, 20, 445-9.
- Meier, P. “Atherosclerotic renal artery stenosis: update on management strategies”; Curr Opin Cardiol, 2011, 26, 463-471.
- Plouin, PF. “Stable patients with atherosclerotic renal artery stenosis should be treated first with medical management”; Am J Kidney Dis, 2003,42, 851-857.
- Herman, S; Textor, SC. “Diagnostic criteria for renovascular disease: where are we now?”; Nephrol Dial Transplant, 2012, 27, 2657-2663.
- Safian, RD; Textor, SC. “Renal-artery stenosis”; N Engl J Med. 2001. 344, 431- 42.
- Granata, A; Fiorini, F; Andrulli, S et al. “Doppler ultrasound and renal artery stenosis: An overview”; Journal of Ultrasound, 2009, 12, 133-143.
- Paul, JF; Cherrak, I; Jaulent, MC et al. “Interobserver variability in theinterpretation of renal digital subtraction angiography”; American Journal of Roentgenology, 1999, 173, 1285-1288.
- Vasbinder, GBC; Nelemans, PJ; Kessels, AGH et al. “Diagnostic tests for renal artery stenosis in patient suspected of having renovascular hypertension: a meta-analysis”; Ann Intern Med, 2001, 135, 401-411.
- Leung, DA; Hoffmann, U; Pfammatter, T et al. “Magnetic resonance angiography versus duplex sonography for diagnosing renovascular disease”; Hypertension, 1999, 33, 726-3.
- De Cobelli, F; Venturini, M; Vanzulli, A et al. “Renal arterial stenosis: prospective comparison of color Doppler US and breath-hold, threedimensional, dynamic, gadolinium-enhanced MR angiography”;Radiology, 2000, 214, 373-80.
- Gal, J; Hentel, K; Zhu, Q et al. “Doppler angle correction in the measurement of intrarenal parameters”; Int Nephrol Renovasc Dis, 2011, 4, 49-55. Epub 2011 Mar 28.
- Kohler, TR; Zierler, RE; Martin, RL; et al. “Noninvasive diagnosis of renal artery stenosis by ultrasonic duplex Doppler scanning”; J Vasc Surg, 1986, 4, 450-456.
- Hansen, KJ; Tribble, RW; Reavis, SW et al. “Renal duplex sonography: evaluation of clinical utility”; J Vasc Surg, 1990, 12(3), 227-236.
- Florczak, E; Januszewicz, M; Januszewicz, A et al. “Relationship between renal resistive index and early target organ damage in patients with never-treated essential hypertension”; Blood Press, 2009, 18, 55-61.
- Pearce, JD; Craven, TE; Edwards, MS et al. “Associations between renal duplex parameters and adverse cardiovascular events in the elderly: a prospective cohort study” Am J Kidney Dis, 2010, 55, 281-290.
- Chonchol, M; Linas, S. “Diagnosis and management of ischemic nephropathy”; Clin J Am Soc Nephrol, 2006, 1, 172-181.
- Krumme, B; Hollenbeck, M. “Doppler sonography in renal artery stenosis— does the Resistive Index predict the success of intervention?”; Nephrol Dial Transplant, 2007, 22, 692-696.
- Lubas, A; Kade, G; Niemczyk, S. “Renal resistive index as a marker of vascular damage in cardiovascular diseases”; Urol Nephrol, 2014, 46, 395- 402.





