Autores
Dra. Marta Lujan Kura; Dr. Javier Vilallonga (Hospital Militar Central, Capital Federal, Argentina).
INTRODUCCIÓN
El examen con Doppler color (DC) es el método inicial y de elección para la evaluación de la patología vascular arterial periférica. El objetivo de este trabajo es realizar una revisión actualizada de las patologías más frecuentes factibles de ser detectadas por este método, como la evaluación de pacientes con estenosis por aterosclerosis, los controles postquirúrgicos, los pseudo-aneurismas, la enfermedad aneurismática y las fístulas arterio-venosas.
ESTENOSIS ARTERIAL PERIFÉRICA
La aterosclerosis es una enfermedad sistémica única, causada por un proceso similar independientemente del territorio vascular que afecte. Diferentes estudios muestran que se puede evidenciar desde la segunda o tercera década de la vida, antes de manifestarse clínicamente. Comienza por una disfunción del endotelio, determinado su daño, que ocasiona el acumulo sub-endotelial de
colesterol primero en la aorta, luego en las coronarias y posteriormente en los vasos cerebrales.
La incidencia de aterosclerosis en los miembros inferiores es difícil de determinar, pero se considera que el 2% de la población en general consulta por claudicación intermitente. Utilizando el índice tobillo-braquial se pudo establecer que la prevalencia de la enfermedad es de un 5% entre los 55 y 75 años (1, 2). Es más frecuente en varones. La concomitancia de enfermedad vascular periférica con la coronaria es de un 20 a 30%.
La Ultrasonografía y el examen con DC resultan el método no invasivo de elección para el diagnóstico de enfermedades vasculares. Permite determinar las características del vaso, el tipo, grado y localización de las estenosis con lo cual facilita la planificación del tratamiento.
La sensibilidad del DC para el diagnóstico de estenosis mayor del 50% es de un 87% y la especificidad de un 99%; para el diagnóstico de oclusión es de un 81% y la especificidad de un 99%.
Las localizaciones más frecuentes de afectación son,en orden de frecuencia, la arteria femoral superficial en topografía del anillo del tercer aductor, el sector aorto-ilíaco y el tronco tibio-peróneo; el compromiso de las arterias infra-patelares es característica de los pacientes diabéticos.
Los síntomas clínicos incluyen dolor, frialdad, cianosis y lesiones cutáneas. El dolor es consecuente a la isquemia. Se deben determinar las circunstancias de aparición, localización y duración. La claudicación intermitente suele deberse a una enfermedad leve o moderada, y representa una circulación colateral suficiente. El dolor continuo y en reposo denota una enfermedad oclusiva severa. Las lesiones cutáneas difieren de acuerdo al tipo de afección vascular. Estas pueden estar ocasionadas por aterosclerosis asociada a factores de riesgo, diabetes, hipertensión y microangiopatía autoinmune.
La úlcera isquémica asociada a factores de riesgo tiene la más baja incidencia (0,8-9,2%) entre todas las úlceras. Se caracteriza por la ausencia de pulsos en el miembro afectado. Un índice tobillo-braquial menor de 0,5 se considera secundario a isquemia crónica por aterosclerosis y tromboangitis obliterante (Fig. 1).
La úlcera neuropática de los pacientes diabéticos tiene como causa determinante de su inicio y de su curso evolutivo la alteración sensorial en la extremidad inferior. El factor desencadenante es un traumatismo continuado, físico, químico o térmico no suficientemente percibido. Debe existir una situación hemodinámica de isquemia en la extremidad.
El estudio con DC del paciente diabético se caracteriza por un pobre compromiso de los vasos ilíacos femorales y poplíteos, con afección de los vasos tibiales distales, asociado a un mal manejo de los niveles de glucemia. Existe una ausencia de relación entre la lesión cutánea y el estudio DC, lo que refleja el compromiso de la microcirculación.
Las lesiones supra-patelares se presentan en pacientes con asociación de múltiples factores de riesgo (3). Entre un 40 y 50% de la población diabética desarrolla una úlcera en el pie a lo largo de su vida (Fig. 2).
La úlcera asociada a hipertensión arterial sostenida, o “úlcera de Martorell”, se presenta típicamente en pacientes, generalmente mujeres, con un inadecuado tratamiento de su hipertensión arterial. La presión diastólica elevada ocasiona un aumento de la resistencia periférica, la hipertrofia de las arteriolas, el acúmulo de fibrina y la obstrucción con la consecuente lesión cutánea (4) (Fig. 3).
| Tabla 1: Tipos de insuficiencia arterial de acuerdo al índice tobillo-braquial | ||
| Tipo de insuficiencia | Síntomas | Medidas |
| Normal | Ninguno | 0,8-1 |
| Leve | Dolor-claudicación | 0,6-0-8 |
| Moderada | Dolor-claudicación | 0,4-0,6 |
| Severa | Dolor en reposo | < 0,4 |
Las lesiones cutáneas secundarias a vasculitis de vasos pequeños, pueden estar ocasionadas por el depósito de complejos inmunes en la crioglobulinemia. Afectan más comúnmente a la piel, con frecuencia con púrpura por vasculitis leucocitoclástica; también pueden estar comprometidos los riñones y el hígado, o cualquier órgano o sistema. El primer signo atribuible a crioglobulinemia es el fenómeno de Raynaud, que se considera uno de los más comunes en crioglobulinemia tipo II y está asociado al compromiso de la circulación por crioprecipitación de las crioglobulinas dentro de los capilares de la piel. Este mismo mecanismo es responsable de la necrosis de los miembros inferiores y los dedos de la mano (5, 6, 7) (Fig. 4).
El diagnóstico diferencial de las ulceras arteriales debe plantearse con las úlceras ocasionadas por insuficiencia venosa. Se considera la fase terminal de las alteraciones cutáneas inducida por la hipertensión venosa; el 75 a 80% de las úlceras de los miembros inferiores son de etiología venosa; el 90% se localiza en la cara interna de la pierna, y la zona supra-maleolar interna y externa del pie (Fig. 5).
Protocolo de examen DC
El examen de las arterias de los miembros inferiores comienza por el sector ilíaco y utilizando transductores de 3 a 5 Mhz; para la evaluación de las arterias infra-inguinales empleamos transductores de mayor frecuencia (6-7-8 MHZ).
Luego de la visualización de las arterias se realiza, en simultáneo, el análisis espectral de velocidades. Se puede determinar rápidamente la normalidad o la presencia de estenosis a través de la trasformación en el examen del flujo homogéneo laminar y trifásico en un mosaico de colores con el incremento de las velocidades (Fig. 7, Fig. 8, Fig. 9 y Fig. 10). A nivel supra-patelar a cada arteria le corresponde una vena y a nivel infra-patelar, dos venas.
Se realizan cortes longitudinales y axiales en cada sector visualizando la arteria y venas homónimas. Observamos las arterias femorales comunes, superficiales, poplíteas y tibiales anteriores y posteriores. De rutina, se debe incorporar la observación de la arteria perónea, que nutre la región posterior de la pierna y adquiere relevancia en los procesos obstructivos ateromatosos, ya que impide la producción de alteraciones tróficas en los pies.
Fisiopatología del análisis espectral
El análisis espectral representa el comportamiento de las arterias periféricas ante los eventos que ocurren en cada latido cardíaco, de manera tal que en él podemos reconocer claramente cuatro fases (Fig. 11).
Todas las arterias normales poseen el mismo examen espectral desde el nivel ilíaco hasta el nivel pedio (Fig. 12). Las velocidades y los calibres arteriales disminuyen a medida que nos acercamos a los niveles distales (Tabla 2).
| Tabla 2. Valores normales de calibre arterial y de velocidades promedio desde las ilíacas hasta nivel poplíteo | ||
| Arteria | Diámetro +/- desvío estándar (cm) | Velocidad+/- desvío estándar (cm/seg) |
| Ilíaca externa | 0,79+/-0,13 | 119+/-21,7 |
| Femoral común | 0,82+/-0,14 | 114+/-24,9 |
| Femoral superficial (p) | 0,60+/-0,12 | 114+/-24,9 |
| Femoral superficial (d) | 0,54+/-0,11 | 93,6+/-14,1 |
| Poplítea | 0,52+/-0,11 | 68,8+/-13,5 |
Estudio normal
El estudio normal implica un flujo laminar, en sincronía con los latidos cardíacos, el examen de color homogéneo y un análisis espectral trifásico, con velocidades adecuadas de acuerdo al nivel arterial examinado (Fig. 13).
Diagnóstico de arteriopatía
Incluye el examen de la pared del vaso, la caracterización de las placas, y el análisis del espectro en el segmento de la arteria previo a la lesión vascular, en el lugar de la lesión y en los segmentos posteriores (Fig. 14).
Las lesiones ateromatosas producen una pérdida de la deflexión prediastólica. En el lugar de la estenosis se produce un incremento de la velocidad sistólica, con ensanchamiento espectral y transformación del flujo laminar en turbulento (mosaico de colores). La fase diastólica puede incrementarse en base al grado de dilatación de las arterias periféricas y a la aparición de colaterales (Fig. 15).
Categorización de las estenosis de las arterias periféricas
En la Tabla 3 se pueden visualizar esquemáticamente los hallazgos encontrados en los distintos grados de estenosis.
| Tabla 3. Categorización de las estenosis | |||
| Estenosis | Onda trifásica | Análisis espectral | Porcentaje de aumento del pico sistólico |
| Normal | Normal | Normal | Normal |
| 1-19% | Conservada | Levemente ensanchado | Aumento del 30% |
| 20-40% | Pérdida de la deflexión diastólica | Francamente ensanchado | Aumento del 30-100% |
| 50-99% | Onda monofásica | Marcado ensanchamiento espectral | >100% |
| Oclusión | Ondas monofásicas previas a la oclusión | Ausencia de flujo en la oclusión | Ondas distales monofásicas con o sin diástole dependiendo de la colateralización |
Estenosis aorto ilíaca
Produce circulación por colaterales de las arterias lumbares con ramas glúteas y de la arteria femoral profunda. Los síntomas incluyen claudicación intermitente de la zona glútea, muslo y pantorrilla. En el examen DC existen bajas velocidades con pérdida de la deflexión diastólica y bajas velocidades en ambas arterias femorales comunes (Fig. 16).
Estenosis ilíaca
Produce circulación por colaterales de las arterias con ramas glúteas y de la arteria femoral profunda. Los síntomas incluyen claudicación intermitente de la zona glútea, muslo y pantorrilla. Típicamente aparece una diferencia espectral entre las femorales comunes al comenzar el examen (Fig. 17).
Estenosis femoral
Es la más frecuente, ocasiona dolor en la pantorrilla. El DC es característico (Fig. 18).
Oclusión femoral
Durante la oclusión desaparece la señal DC en el vaso afectado, con ausencia de análisis espectral (Fig. 19).
Una colateralización primaria aceptable está dada por velocidades de pico sistólico superiores a 30 cm/ seg, adecuadas velocidades de fin de la diástole y un índice tobillo-braquial superior a 0,6. El informe del estudio debe incluir siempre el lado evaluado por separado; se puede agregar un gráfico en donde se marque el lado y nivel afectado.
IMÁGENES POSTQUIRÚRGICAS
Realizado el diagnóstico de la arteriopatía, nivel de estenosis y grado de colateralización, el cirujano planteará la cirugía. Es importante para el médico radiólogo saber el tipo de cirugía realizada y el tiempo de evolución de la misma para una correcta interpretación de las imágenes.
Indicaciones quirúrgicas
Las indicaciones quirúrgicas son: estenosis severas con circulación colateral insuficiente, obstrucción aguda, úlceras que no curan y dolor en reposo. Los tipos de cirugías son: trombo extracción con catéter (Fogerty), trombolisis (Uroquinasa), bypass con vena autóloga (Safena), bypass sintético (Goretex o Dacron), angioplastia con balón (ATP) y colocación de stents.
Metodología de examen
De no contar con información sobre el tipo de cirugía realizada, el médico radiólogo llevará a cabo una anamnesis al paciente sobre el tema y la sintomatología actual; asimismo lo examinará en búsqueda de cicatrices que le permitan reconocer la técnica empleada. Luego procederá a evaluar el tipo de injerto y la topografía del bypass, realizará la medición de las velocidades de flujo en las anastomosis y en el injerto, y procederá a medir el índice tobillo-braquial. Identificará el tipo de bypass femoral. Durante el examen se evaluará la velocidad de pico sistólico en el sector de las anastomosis y en el injerto. En el período postquirúrgico el flujo típico es de hiperemia, con diástoles prominentes. Al cabo de dos meses se establece un patrón trifásico típico. La velocidad en el bypass debe ser superior a 40 cm/seg (Fig. 21).
Angioplastia con stent ilíaco
Se utiliza en las estenosis de las arterias ilíacas, su colocación a nivel femoral o poplíteo no tiene buenos resultados a largo plazo, se utilizan en pacientes con alto riesgo quirúrgico10 (Fig. 22).
Complicaciones de los bypass
En estadios precoces se pueden observar bajas velocidades sanguíneas debido a un flujo de entrada o salida insuficiente, por fallas en la anastomosis por problemas intrínsecos del injerto. Los hematomas peri-protésicos son complicaciones frecuentes en el período quirúrgico inmediato (Fig. 23). Dentro del primer año se pueden dar obstrucciones por defectos en la cirugía o por hiperplasia fibrointimal. Luego de los dos años puede darse la progresión de la enfermedad en los vasos nativos proximales y distales al bypass. La complicación más tardía, de 5 a 10 años, es el desarrollo de pseudo-aneurismas en el lugar de las anastomosis distales.
Estenosis de derivación
Debemos evaluar la velocidad de pico sistólico pre anastomosis, la velocidad de pico sistólico en la anastomosis y determinar el cociente de velocidades entre ambas. También, evaluar las velocidades en el injerto y, finalmente, categorizar el riesgo de oclusión del bypass (11, 12, 13) (Tabla 4).
| Tabla 4. Evaluación para la determinación del riesgo de trombosis del bypass | |||
| Categoría | Velocidad en la anastomosis (VSM) (cm/seg) o cociente de velocidades (VR) | Velocidad en el injerto (cm/seg) | Índice tobillo-braquial |
| I. Riesgo muy alto | VSM >300 ó VR >3,5 | <40cm/seg. | <0,15 |
| II. Riesgo alto | VSM>300 ó VR >3,5 | >40cm/seg. | >0,15 |
| III. Riesgo Moderado | VSM 180-300 VR 2-3,5 | >40cm/seg. | >0,15 |
| IV. Riesgo Bajo | VSM<180 VR<2 | >40cm/seg | >0,15 |
Pseudo-aneurisma
Complicación tardía de las anastomosis de los bypass, también pueden presentarse por traumatismo en la anastomosis, como se observa en la imagen (Fig. 24).
ANEURISMA
Se trata de una dilatación segmentaria o sacular que involucra las tres paredes del vaso: íntima, muscular y adventicia. En cuanto al diámetro a considerar, estamos en presencia de un segmento aneurismático cuando el mismo sea 1,5 veces mayor al segmento previo no dilatado. En el caso de la aorta, es cualquier valor por encima de los 30 mm. En cuanto a la clasificación, en este caso utilizamos la de Crawford (15), la cual incluye tanto la aorta torácica como la abdominal, en la cual se describen 4 tipos (Fig 25).
El 90% de los aneurismas abdominales son infra-renales, un 50% se asocian con aneurismas ilíacos, un 15% con aneurismas femorales y poplíteos, y un 12% con torácicos. Epidemiológicamente, se trata de la décima causa de muerte en EE.UU., y es cuatro veces más frecuente en individuos de sexo masculino a partir de la quinta década de la vida. La prevalencia de los aneurismas aórticos es de 4,5% a los 65 años y asciende al 15% a los 80 años(16, 17, 18, 19). El 60% de los casos son asintomáticos y se descubren de manera accidental a través de un estudio por imágenes o examen físico.
Existen ocasiones en las cuales los aneurismas agudamente expansivos generan sintomatología clínicamente evidenciable, como lo es el dolor lumbar y/o abdominal asociado a la tumoración abdominal pulsátil. Los casos en los cuales la dilatación aneurismática se rompe, el dolor abdominal se incrementa e irradia al muslo o al escroto; se asocian a hipotensión arterial, taquicardia, disminución del hematocrito y equimosis de flanco (signo de Grey Turner).
La Ecografía es el método de elección para el diagnóstico inicial, no solo por su amplia disponibilidad sino porque permite rápidamente la realización de mediciones en el plano longitudinal, anteroposterior y transverso (Fig. 26). Está indicada para la realización del screening del aneurisma de aorta abdominal en pacientes mayores de 65 años y con factores de riesgo.
La técnica de evaluación del aneurisma de aorta abdominal incluye mediciones, las cuales deben realizarse desde los bordes externos de la misma. En el plano longitudinal se examina la aorta desde el diafragma hasta la bifurcación ilíaca, y se miden el diámetro anteroposterior y la longitud del aneurisma. En el plano axial se mide el diámetro transverso. Para categorizar el tipo de aneurisma se examina la relación y distancia del aneurisma con respecto a la emergencia de la arteria mesentérica superior, de las renales y de la bifurcación ilíaca. Se examinan las arterias ilíacas y se mide su diámetro para determinar si están comprometidas. Las arterias ilíacas primitivas tienen un diámetro anteroposterior normal de hasta 11 mm (Fig 27).
El DC permite una evaluación más exhaustiva, con la cual no solo podemos determinar con precisión los límites de la dilatación aneurismática sino que también hace posible percibir la turbulencia en el flujo dentro de la misma (Fig. 28).
Al realizar la evaluación ecográfica, el especialista no debe dejar pasar por alto la presencia de trombosis mural o trombos de flotación libre en su informe, lo cual en una segunda etapa estará íntimamente relacionado con el abordaje terapéutico del paciente (Fig. 29).
Se debe tener en cuenta la posible asociación entre los aneurismas de la aorta abdominal y aquellos presentes en las arterias ilíacas, torácicos, femorales y poplíteos (Fig. 30), los cuales ocurren en un 50%, 12% y 15% de los casos, respectivamente (20).
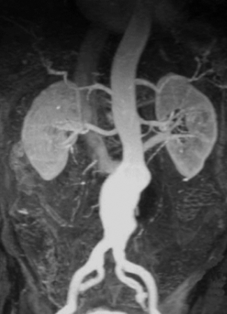
Luego de la evaluación ultrasonográfica inicial podemos optar por diferentes métodos de diagnóstico por mágenes de manera tal de ampliar el algoritmo diagnóstico y tener una visión más amplia de esta patología. La Angio TC helicoidal, con contraste, es el segundo paso y pre quirúrgico que permitirá no solo realizar una evaluación multiplanar del paciente sino también generar reconstrucciones tridimensionales y así obtener una representación más anatómica de los elementos vasculares (Fig. 31).
Este método de diagnóstico nos permite medir el aneurisma en los planos axial, coronal y sagital, evaluando su cuello y relación con las arterias renales; es indispensable para planear el tratamiento endovascular.
En cuanto a la Angio Resonancia con gadolinio, permite una óptima visualización de la morfología del aneurisma, sus angulaciones y tortuosidades, así como también identificar bien los vasos renales y viscerales. Es importante mencionar que, a diferencia de la Angio TC, en este caso la Resonancia no utiliza radiaciones ionizantes ni contrastes iodados endovenosos. La desventaja es que no logra una buena definición del diámetro transverso del cuello ni de las arterias ilíacas (Fig. 32).
La Arteriografía es el método indicado en aquellos casos en los cuales el aneurisma se encuentra asociado a enfermedad oclusiva ilíaco-femoral, afectación de los vasos viscerales (angina abdominal) o sospecha de enfermedad vascular renal (hipertensión renovascular o falla renal inexplicable) (Fig. 33).
Luego de realizar la evaluación anatómica del aneurisma de aorta abdominal correspondiente, y basándonos en su medida al momento de la detección, debemos tener en cuenta el riesgo de ruptura (Tabla 5). Ante una ruptura de aneurisma de aorta abdominal el paciente presentara diferentes signos y síntomas, los cuales deberán ser rápidamente identificados clínicamente; solo se procederá a la realización de estudio por imágenes si el paciente se encuentra hemodinámicamente estable (Fig. 34 y 35). Además del antecedente de aneurisma de aorta abdominal, podremos encontrar: tumoración abdominal pulsátil, dolor lumbar y/o lumbar irradiado a muslo o escroto, signos de shock hemodinámico (hipotensión arterial + taquicardia), disminución del hematocrito, distención abdominal y equimosis en el flanco conocido como signo de Grey Turner (22).
| Tabla 5. Riesgo de ruptura del aneurisma de aorta abdominal basado en su medida en el momento de detección | ||
| Medida del aneurisma | Riesgo de ruptura al año | Riesgo de ruptura a los 5 años |
| < 5 cm | 4% | 20% |
| 5-7 cm | 7% | 33% |
| >7 cm | 20% | >99% |
El desarrollo de una fístula aorto-cava es una situación poco frecuente, en estos casos encontraremos una masa abdominal pulsátil asociada a soplo abdominal “en maquinaria”. Se asocia el 25% de las veces con insuficiencia cardíaca congestiva acompañada de edema de miembros inferiores, edema escrotal, várices perineales, hemorroides y hematuria; el diagnóstico se realiza por medio de TC o Angiografía.
La fístula aorto-duodenal es otra infrecuente forma de presentación, la cual es una complicación grave asociada a hemorragia digestiva alta. El primer método diagnóstico para su evaluación es la endoscopía digestiva alta, y el segundo la TC de abdomen con contraste (Fig. 36).
Otra posible complicación es la disección completa, donde no solo encontraremos flujo turbulento en el estudio con DC sino también alteraciones importantes en la onda espectral (Fig. 37 y 38).
El tratamiento del aneurisma de aorta abdominal puede ser tanto endovascular como quirúrgico convencional; la primera opción es de menor morbi-mortalidad, y la quirúrgica convencional alcanza una mortalidad de hasta el 50%. El tratamiento endovascular se encuentra indicado en pacientes añosos con mayor riesgo quirúrgico (23).
La cirugía convencional es el método terapéutico de elección para aquellos pacientes jóvenes con menor riesgo quirúrgico23. Existen dos vías de abordaje en esta línea de tratamiento. La vía intraperitoneal y la extraperitoneal. En el primer caso se realiza una incisión xifo-pubiana bajo anestesia general con clampeo y desclampeo de la aorta; este procedimiento genera importantes cambios hemodinámicos, y tiene mayor índice de complicaciones cardíacas, renales y pulmonares. La vía extraperitoneal (Fig. 39) se realiza a través de una incisión en el flanco izquierdo y presenta menor índice de complicaciones.
El tratamiento endovascular presenta un abordaje inguinal con anestesia raquídea o inguinal, y una estadía hospitalaria de 24 a 48 hs sin sintomatología post laparotomía. En este caso hay ausencia de alteraciones hemodinámicas y no se necesita el clampeo y desclampeo de la aorta. De esta manera, este acercamiento terapéutico posee un menor porcentaje de complicaciones, sin necesidad de transfusiones e índice de mortalidad23 (Fig. 40).
Los controles imagenológicos post tratamiento son de importancia, y es indispensable la caracterización morfológica del aneurisma y la endoprótesis. De esta manera, debemos medir el tamaño del aneurisma, la presencia de flujo dentro de la prótesis, la ausencia de flujo peri protésico, la presencia de flujo en arterias renales y la adecuada velocidad de flujo en las arterias ilíacas (Fig. 41, 42 y 43).
Las complicaciones luego de instaurado el tratamiento pueden ser el crecimiento del aneurisma, embolias, desgarros del tejido protésico, infección o migración del injerto, fractura de los ganchos, separación de una rama o la presencia de endofugas. Estas se clasifican en cinco tipos(24) (Tabla 6).
| Tabla 6. Clasificación de las endofugas | |||
| Endoleak | Causa | Hallazgos radiológicos: Colección hiperdensa o contraste de localización | Manejo |
| Tipo I | Mala fijación al sitio de anclaje. Ia: Proximal (aórtico) Ib: Distal (ilíaco). |
Central o en continuidad con uno de los sitios de fijación. | Urgente |
| Tipo II | Flujo retrógrado | Perisférica | Controversial.Expectante (vigilar tamaño del saco aneurismático) vsreparación programada. |
| Tipo III | Desgarro de la prótesis. | Central y/o distantes a los sitios de fijación | Urgente |
| Tipo IV | Porosidad de la prótesis. | En cualquier punto del saco aneurismático sin observarse un claro origen de la fuga. | Se resuelve espontáneamente al retirarse la anticoagulación. |
| Tipo V | Endotensión | Crecimiento continuo del saco aneurismático sin una evidencia radiológica de fuga. | Reparación quirúrgica a largo plazo. |
- Tipo I: hay presencia de flujo sanguíneo fuera del lumen protésico adyacente al sitio de anclaje. En Ia, proximal en la arteria y en Ib, distal en la arteria. Se produce por una mala fijación en el sitio de anclaje entre la prótesis y la pared arterial. Son más frecuentes en las endoprótesis torácicas, y se deben tratar en forma urgente (Fig. 44 y Fig. 45).
- Tipo II: son las más frecuentes. Se producen por flujo retrogrado desde una rama arterial excluida por la endoprótesis, y es común la afectación de la arteria mesentérica inferior y las arterias lumbares. La fase tardía de la angiotomografía identifica la presencia de contraste en la periferia del saco aneurismático que no contacta con la endoprotesis (Fig. 46).
- Tipo III: se trata de una fuga secundaria a rotura, defecto de la endoprótesis o falla entre los segmentos protésicos. En este caso el contraste se encuentra en contacto con la endoprótesis respetando el saco aneurismático periférico. Se debe instaurar tratamiento de manera urgente.
- Tipo IV: se producen por incremento de la porosidad de la endoprótesis. Se detecta en la angiotomografía inmediatamente luego de la administración del contraste endovenoso. Se observa la salida del material de contraste a través de la prótesis. No se logra identificar defecto estructural.
- Tipo V: endoexpansión, se refiere al crecimiento continuo del aneurisma sin evidencias de fuga.
PSEUDO-ANEURISMAS
Se producen como complicación de una instrumentación quirúrgica o por heridas de armas de fuego o de armas blancas. La efracción del vaso determina la salida de sangre hacia los tejidos blandos, los cuales reaccionan formando una capsula (Fig. 47).
A diferencia de los aneurismas verdaderos, los pseudo-aneurismas no presentan los tres componentes de la pared y se encuentran recubiertos por tejido de granulación, y su topografía es más frecuente la arteria femoral común. La frecuencia de aparición en los procedimientos percutáneos vasculares es de 0,5 a 1%. La compresión extrínseca del pseudo-aneurisma es la primera línea de tratamiento (Fig. 48 y 49).
En cuanto a los diagnósticos diferenciales, debemos tener en cuenta en primer lugar a los hematomas post punción, caracterizados por una imagen focal de baja ecogenicidad adyacente al sitio de punción pero que no contacta con la pared de la arteria, y la señal negativa al estudio con Power Doppler (Fig. 50).
FISTULAS ARTERIO-VENOSAS
Clínicamente, las fístulas arterio-venosas son caracterizadas por una masa pulsátil con frémito, la cual genera importante edema por sobrecarga además de síndrome varicoso. Al examen con DC se observa flujo arterial normal, vena distendida con flujo arterializado, y pérdida del flujo fásico que no corta con la maniobra de Valsalva (Fig. 51).
CONCLUSIONES
El DC permite evaluar a los pacientes con enfermedad arterioesclerótica, determinar el estado de la pared del vaso, establecer el sitio de estenosis y el grado de colateralización. Asimismo, permite la evaluación y seguimiento de los pacientes operados.
Es el método de elección para el diagnóstico y seguimiento de los aneurismas de aorta abdominal, permite detectar las complicaciones y categorizar los tipos de las endofugas. Es la metodología de primera elección para el diagnóstico y tratamiento de los pseudo-aneurismas. Permite detectar las fistulas arterio-venosas y realizar su seguimiento postquirúrgico. No obstante, ante el primer diagnóstico resulta indispensable el complemento con otros métodos de imágenes, entre los cuales el indicado para confirmar los hallazgos es la Angio TC helicoidal.
Bibliografía
- Josep G, Martínez-Ruiz M, Gusi G et al.: “¿Debemos determinar el índice tobillo-brazo en el paciente hipertenso o diabético?”, Revista Española de Cardiología, Supl, 2009, 09(D): 18-23
- Carbayo Herencia JA, Artigao Ródenas LM et al.: “Índice tobillo-brazo e incidencia de la mortalidad por todas las causas y morbilidad cardiovascular en una cohorte prospectiva de origen poblacional”, Clínica e Investigación en Arteriosclerosis, 2011, 23(1): 21-28.
- Janka HU, Standl E, Mehnert H: “Peripheral vascular disease in diabetes mellitus and its relation to cardiovascular risk factors: screening with the doppler ultrasonic technique”, Diabetes Care, 1980, Mar-Apr, 3(2): 207-213.
- N. Sánchez Neila, A. Hermosa Gelbard, L. Miguel Gómez y S. Vañó Galván: “Protocolo diagnóstico de las úlceras cutáneas”, Medicine, 2014, 11(47): 2800-2005.
- Dupin N, Chosidow O, Lunel GF, Cacoub P, Musset L et al.: “Essential Mixed Cryoglobulinemia”, Archives of Dermatology, 1995; 131: 1124-1127.
- Karlsberg PL, Lee WM, Cassey DL, Cockerell CJ, Cruz PD: “Cutaneous Vasculitis and Rheumatoid Factor Posivity as Presenting Sings of Hepatitis C Virus -Induced Mixed Cryoglobulinemia”, Archives od Dermatology, 1995;131: 1119-23.
- Nityanand S, Holm G, Lefvert AK: “Inmune Complex mediated vasculitis in hepatitis B and C infections and the effect of antiviral therapy”. Clinical Inmunology and Histopathology, 1997, 82: 250-257.
- Zierler RE, Zierler BK: “Duplex sonography of lower rextremity arteies. Semin Ultrasound, CT, MR”, 1997, 18: 42.
- Polak J: Peripheral Vascular Sonography, 2° ed, Lippincott, Williams & Wilkins, 2004.
- Nishibe T, Kondo Y, Nishibe M, Muto A, Dardik: “Lesiones de la arteria femoral superficial.Enfermedad arterial obstructiva femoral: colocación de stent”, A Surg Today 2009; 39(1): 21-26.
- Westerbaband A, Mills JL, et al.: “Prospective validationof thereshold criteria for intervention en infrainguinalvein graftsundergoing dúplex surveillance”, Ann Vasc Surg, 1997, 11, 44-48.
- CapsT, Cantwell-Gab K,et al.: “Vein Graph lesión,Time of onset and rate of progression”, J vasc Surg, 1995, 22: 466-475.
- Erickson CA, Towne JB, et al.: “Ongoing vascular laboratory surveillance is essential to maximize long term in situ saphenous vein by paas patency”, J vasc Surg, 1996, 23: 18-24.
- Zwiebel WJ. Introduction to vascular Ultrasonography, 5th ed, Saunders, 2005.
- Crawford ES, Crawford JL, Safi HJ, Coselli JS, Hess K, Brooks BS, Norton HJ, Glaeser DH. Thoraco abdominal aortic aneurysm: Preoperative and intra operative factors determining inmediate and long-termresults of operation in 605 patients. J VascSurg, 1986; 3: 389-404
- Wilmink AB, Quick CR: “Epidemology and potential for prevention of abdominal aortic aneurysm”, Br J Surg, 1998, 85: 155-62.
- Nevitt MP, Ballard DJ, Hallet JW: “Prognosis of abdominal aortic aneurysms: a population based study”, N Engl J Med, 1989, 321: 1009-1014.
- Lagneau P, Taleb W: “Anévrisme de l’aorte abdominale sous-rénale”, Encyclopédie Médico-Chirurgicale. Angéiologie, 19-1620. Paris: Elsevier, 2001.
- Fleming C, Whitlock EP, Beil TL, Lederle FA: “Screening for abdominal aortic aneurysm: a best-evidence systematic review for the U.S. Preventive Services Task Force”, Ann Intern Med, 2005, 142: 203-211.
- Graham LM: “Femoral and popliteal aneurysms”, Rutherford RB (ed.) Vascular surgery. Philadelphia: WB Saunders, 2000.
- Blackbourne LH: Surgical Recall, 2º ed. Williams & Wilkins, 1998.
- Maceira-Rozas MC Atienza-Merino G: “Cribado de aneurisma de aorta abdominal en población de riesgo: revisión sistemática”, Angiología, vol.60, Is.3, Pag. 165-176.
- Lindholt Jes S: “Endovascular aneurysm repair”, The Lancet, vol. 364, Is. 9437, 4-10 September 2004, pag. 818-820.
- J González Nieto; C Batz Colvee; MM Moreau Gramazo; J Armijo; R Méndez Fernández. Endofugas tras procedimiento de reparación endovascular de aneurisma de aorta, SERAM, 2014, S-0218.
- Salazar Salazar C; Carbello Fernández C; Romero Cique F; Giraldo JP. Endofugas o Endoleaks en prótesis endovasculares de aneurismas de aorta abdominal, SERAM, 2012, S-1294.
















































