Síntesis

Update on MRI in Evaluation and Treatment of Endometrial Cancer

Lectura: 2 minutos /

Autores del artículo: Ekta Maheshwari, Stephanie Nougaret, PhD Erica B. Stein, Gaiane M. Rauch, PhD Ken-Pin Hwang, R. Jason Stafford, Ann H. Klopp, Pamela T. Soliman, MPH Katherine E. Maturen, MS Andrea G. Rockall, FRCR Susanna I. Lee, D Elizabeth A. Sadowski, Aradhana M. Venkatesan
Publicado online: 7 de noviembre de 2022. DOI: 10.1148/rg.220070
Sintetizado por el Dr. William Ordoñez (Centro Médico Diagnóstico Científico Integral, Buenos Aires, Argentina)


Introducción

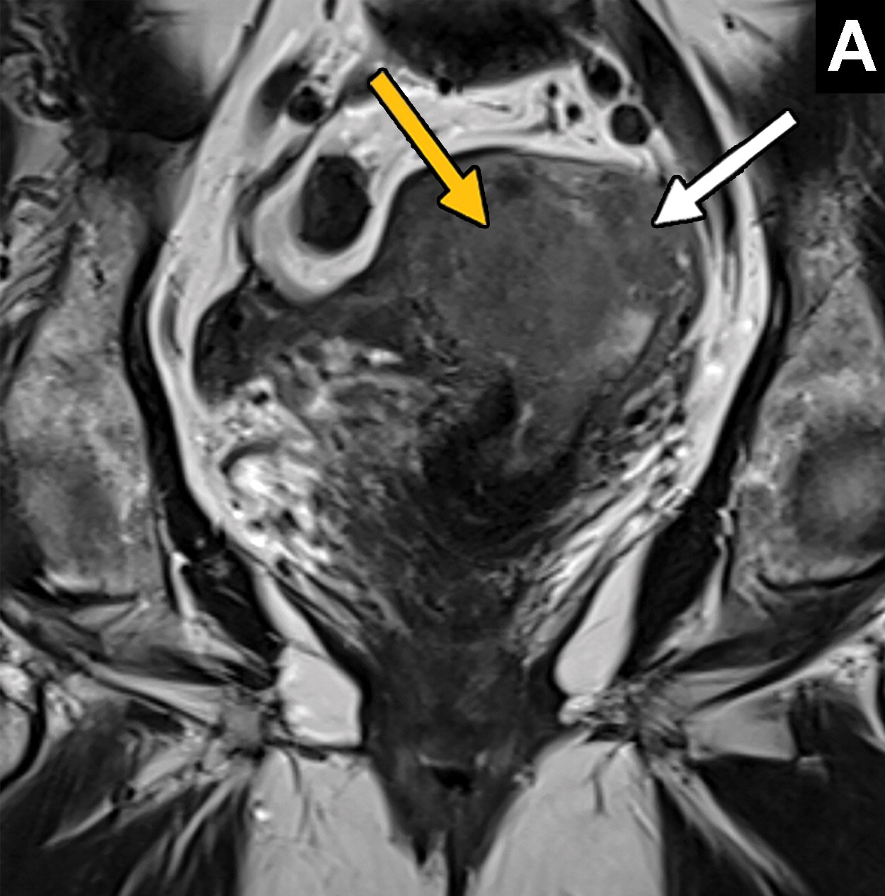
El cáncer de endometrio es el segundo cáncer ginecológico más común en todo el mundo y el cáncer ginecológico más común en los Estados Unidos, con una incidencia creciente en los países de altos ingresos. La resonancia magnética multiparamétrica, que utiliza una combinación de secuencias ponderadas en T2, imágenes ponderadas por difusión e imágenes multifásicas mejoradas con contraste, es la base para la evaluación por imágenes del cáncer de endometrio.

La identificación de factores pronósticos importantes en la resonancia magnética mejora tanto la selección del tratamiento como el seguimiento posterior al tratamiento. La resonancia magnética también desempeña un papel crucial para las estrategias de preservación de la fertilidad y en pacientes que no son candidatos quirúrgicos al ayudar a guiar la terapia e identificar complicaciones de procedimiento.

Resumen

El cáncer de endometrio es el quinto tipo de cáncer más común en mujeres y el más frecuente entre los cánceres ginecológicos en Estados Unidos, con aproximadamente 60.000 nuevos casos estimados en 2022. Afecta sobre todo a mujeres posmenopáusicas, aunque un 15% de los casos se presenta en mujeres premenopáusicas. Factores de riesgo incluyen la exposición prolongada al estrógeno, obesidad, diabetes y antecedentes familiares de ciertos síndromes genéticos.

La estadificación se realiza quirúrgicamente, y la resonancia magnética (RM) juega un papel crucial en la planificación del tratamiento, ofreciendo imágenes detalladas que ayudan a identificar factores pronósticos y la extensión de la enfermedad. Existen dos subtipos principales de carcinoma endometrial: tipo I, dependiente de estrógenos, y tipo II, más agresivo e independiente de los estrógenos.

La RM se utiliza para evaluar el tamaño del tumor, la invasión miometrial y cervical, así como para determinar la extensión a órganos cercanos y ganglios linfáticos. La técnica combina secuencias T2 de alta resolución y difusión para una evaluación precisa. La invasión del estroma cervical y la afectación de ganglios linfáticos son factores importantes que influyen en el pronóstico.

El tratamiento puede incluir cirugía, radioterapia y terapia hormonal, especialmente en casos donde se desea preservar la fertilidad. La RM es esencial para evaluar la respuesta al tratamiento y detectar recurrencias. La integración de técnicas avanzadas de RM, así como el uso de PET/MRI, están mejorando la precisión en el diagnóstico y tratamiento del cáncer de endometrio.

Conclusión

La resonancia magnética se ha consolidado como una herramienta indispensable en el manejo integral del cáncer de endometrio, desde la evaluación inicial y la planificación del tratamiento hasta el seguimiento de la respuesta y la detección de recurrencias, lo que promete mejorar los resultados clínicos para las pacientes.

Compartir:

Deja una respuesta