Autora
Dra. Jaan Carla Donaldson Ramirez (Hospital Militar Central, Capital Federal, Argentina)
Tutora
Dra. María Belén Campagno (Hospital Militar Central, Capital Federal, Argentina)
Epígrafes
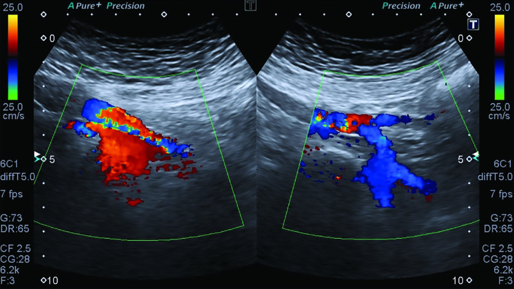
Fig. 1: Examen con Doppler color por vía transvaginal, demostrando dilatación de las venas utero ováricas del lado izquierdo.
Fig. 2: a) Examen ecográfico por vía transvaginal, que muestra vena ovárica izquierda ectásica de 7.5 mm. b) Examen ecográfico por vía transvaginal, demostrando vena ovárica derecha normal, de 2.5 mm.
Fig. 3. Examen ecográfico abdominal, se observa compresión de la vena renal izquierda entre la aorta y la arteria mesentérica superior (mide 3,1 mm a nivel del compás y 8,1 mm en el segmento proximal al riñón izquierdo).
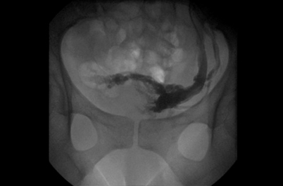
Fig. 4. Flebografia que demuestra desarrollo de várices uterinas y gonadal izquierdas, como consecuencia de la compresión venosa renal izquierda.
Fig. 5. Ecografía transvaginal con Doppler, demostrando varicocele pelviano.
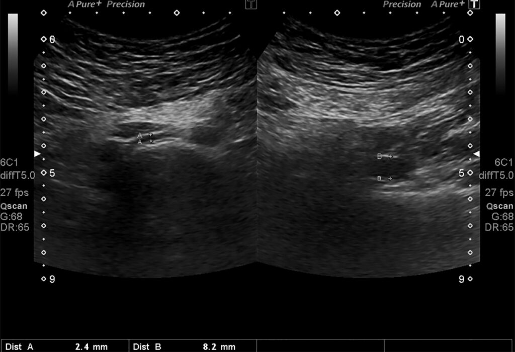
Fig. 6. Ecografía transabdominal: la VICI antes de pasar entre la AICD y la columna mide 2.4 mm; dilatación distal de 8.2 mm.
Fig. 7. Doppler color de venas iliacas internas, demostrando flujo reverso del lado izquierdo como signo indirecto de compresión en la VICI.
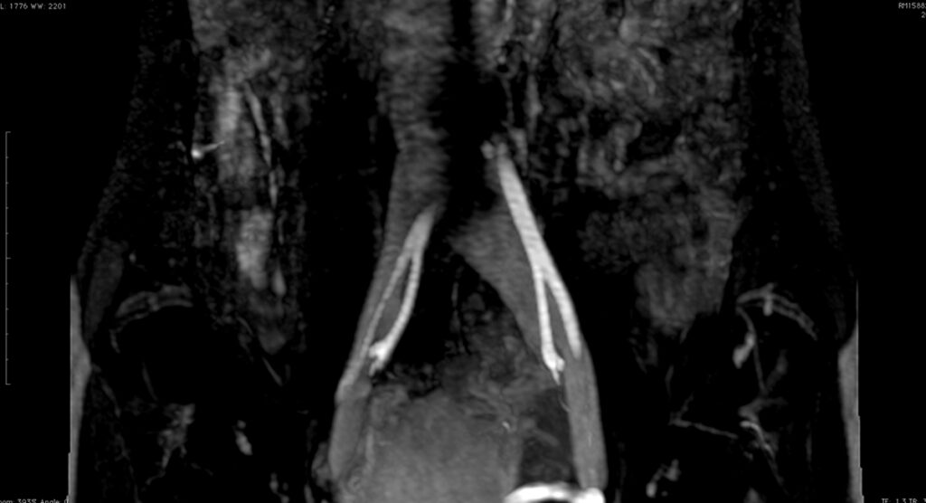
Fig. 8 y Fig. 9. AngioRM demostrando la dilatación de la VICI luego del pasaje entre AICD y la columna.
INTRODUCCIÓN
El síndrome de congestión pélvica (SCP) se caracteriza por la presencia de dolor pélvico crónico, persistente y sordo, ubicado por lo general en uno de los puntos ováricos, que dura más de seis meses y está asociado a la dilatación e incremento en número de las estructuras venosas intrapélvicas, que pueden o no presentar reflujo. Suele afectar a mujeres multíparas de edad media, y pueden asociarse a varices vulvares y de la extremidad inferior (1).
La etiología de la congestión pélvica es incierta y poco conocida, probablemente multifactorial, en la que intervienen factores mecánicos y factores hormonales. Dentro de los factores mecánicos se menciona a la compresión venosa, como sucede en los síndromes hipertensivos infradiafragmáticos, los cuales analizaremos en este trbajo y cuyo conocimiento será de utilidad y relevancia científica, para una mayor concientización de los médicos y la población en cuanto al dolor pélvico crónico y su relación con el síndrome de congestión pélvica. En la actualidad, el avance en la terapéutica quirúrgica y mínimamente invasiva ofrecen más opciones a las pacientes afectadas.
OBJETIVOS
Presentar casos de sindromes hipertensivos venosos infradiafragmaticos (May Thurner y Nutcracker) diagnosticados por ecografía y Doppler, siendo corroborados por el gold standard (flebografía); realizar una reseña de estas patologías y hacer una revisión de la literatura existente hasta la fecha y plantear diagnósticos diferenciales y el tratamiento de estas entidades.
MATERIALES Y MÉTODOS
Este estudio se llevó a cabo en el periodo comprendido entre agosto de 2014 y septiembre de 2015, en el que se realizaron 42 ecografías y Doppler pelvianos a las pacientes que concurrieron al servicio de ecografía del Hospital Militar Central, Cir. My. Dr. Cosme Argerich para la evaluación de varicocele pelviano y su relación con los síndromes venosos hipertensivos infradiagramáticos. Dieciocho se corroboraron con estudio flebográfico. Presentamos dos de los casos más relevantes.
Caso N 1
Paciente femenina de 28 años, con dolor pélvico crónico no cíclico, de un año de evolución, con los siguientes antecedentes obstétricos: G: 3 P: 3 A: 0 C: 0, Concurre al servicio de ecografía con el diagnóstico de varicocele pelviano.
Hallazgos imagenológicos. En el eco Doppler ginecológico por vía transvaginal se observa varicocele pelviano (Fig. 1). La vena ovárica derecha mide 3.8 mm, y la izquierda, ectásica, 7.4 mm (Fig. 2). En el eco Doppler abdominal se visualiza la vena renal izquierda, de 3.1 mm en topografía del compás aorto-mesentérico y 8.1 mm en el segmento proximal al riñón izquierdo, con una velocidad 50cm/s en el compas y 30cm/s en el segmento proximal al riñón. El estudio corresponde en primera instancia a un síndrome de Nutcracker (Fig. 3).
Se corrobora el diagnóstico presuntivo con flebografía observándose compresión de la vena renal izquierda entre la aorta y la arteria mesentérica superior y el consiguiente desarrollo de varices uterinas y ovárica izquierdas (Fig. 4).
Caso N 2
Paciente femenina de 27 años, con dolor pélvico crónico de dos años de evolución, con los siguientes antecedentes obstétricos: G:1 P:1 A: 0 C: 0. Concurre al servicio de ecografía para la evaluación de varicocele pelviano.
Hallazgos imagenológicos. En el eco Doppler ginecológico por vía transvaginal se observa varicocele pelviano (Fig. 5). En el eco Doppler abdominal se visualiza vena iliaca común izquierda (VICI), la que mide 2.4 mm antes de pasar entre a la arteria iliaca común derecha (AICD) y la columna y 8.2 mm en el segmento distal (Fig. 6). Estudio que corresponde en primera instancia a síndrome de May Thurner.
Se evidencia también flujo reverso en la vena iliaca interna izquierda como signo indirecto de compresión de la VICI (Fig. 7).
Se corrobora el diagnóstico presuntivo con flebografía y angioresonancia, observándose compresión de la VICI entre la columna y AICD y su dilatación distal (Fig. 8 y Fig. 9).
DISCUSIÓN
El dolor pélvico crónico es el responsable del 10 a 15% de las visitas ginecológicas ambulatorias en los Estados Unidos. Es más común en las mujeres multíparas, premenopáusicas que típicamente se presentan con dolor pélvico crónico de más de 6 meses de evolución. La edad más frecuente de las pacientes con esta condición varía de 20 a 45 años1. La incidencia es del 39,1% (2).
El diagnostico y el tratamiento del SCP requieren un enfoque multidisciplinario ya que el diagnóstico diferencial es bastante amplio y variado (Tabla 1) (3).
Etiología. Se conoce que la dilatación e incompetencia de las venas ováricas son la causa de la congestión venosa y posterior cuadro doloroso, pero no todas las mujeres con venas ováricas dilatadas o varicosas presentan síndrome de congestión pélvica. Se encontró que el 10% de la población general tiene dilataciones venosas pélvicas sin presentación de síntomas (4).
Se sospecha que existe un mecanismo hormonal, ya que el SCP es una condición de la mujer premenopáusica, influyendo también la fisiología venosa pélvica de la mujer, ya que las venas pélvicas aumentan hasta 60 veces su diámetro normal durante el embarazo (5).
Además de estas hipótesis, otras causas del daño valvular de las venas ováricas y por tanto de la hipertensión venosa pelviana, son los síndromes hipertensivos venosos infradiafragmáticos de May Turner y Nutcracker. Estos síndromes desarrollan una circulación colateral descompresiva que contribuye también con la formación de las várices en la pelvis y con el SCP (6).
Síndrome de Nutcracker o síndrome del cascanueces
El síndrome de Nutcracker es causado por la compresión de la vena renal (VRI) entre la aorta y la arteria mesentérica superior (AMS). Este fenómeno da lugar a la hipertensión de la VRI por estenosis funcional de la misma y con el consiguiente desarrollo de várices en la pelvis renal, uréter y vena gonadal (7).
Este síndrome afecta generalmente a mujeres de entre 20-40 años, especialmente multíparas. Puede cursar con varicocele izquierdo y várices lumbares, debido al incremento de presión a nivel de la vena renal izquierda, que se transmite de modo retrógrado por la vena gonadal del mismo lado. Esto produce un incremento de presión a nivel del plexo pampiniforme, con el desarrollo de varicocele izquierdo siendo la causa del dolor crónico abdominal en flanco izquierdo y, además, de microhematuria (8).
La flebografía es la técnica de elección para el diagnóstico, gradientes de presión entre la porción distal de la VRI y la vena cava inferior (normal 0-1mmHg). El gradiente de presión entre la VRI y la vena cava inferior debe ser superior a 0,3 mm de Hg para sospechar el diagnóstico (9). Con la ecografía y Doppler podemos medir de forma no invasiva el aumento en la velocidad de flujo en la VRI en el ángulo aortomesentérico. La ecografía Doppler nos permite determinar el diámetro y velocidad máxima de flujo en las porciones proximal y distal de la vena renal izquierda. Un ratio distal/ proximal >5 es diagnóstica de síndrome de cascanueces (10).
El diagnóstico también se puede realizar con tomografía computada (TC) y/o resonancia magnética (RM) que aportan información anatómica (10). El tratamiento del síndrome del cascanueces va desde la vigilancia a procedimientos quirúrgicos (nefropexia medial, by-pass de la vena renal, transposición de la vena renal izquierda, auto-trasplante de riñón izquierdo), stents (intra o extravasculares) y la cauterización química intrapélvica.
La actitud expectante debe tomarse en aquellos casos de pacientes púberes o mujeres jóvenes por su mayor probabilidad de remisión espontánea. Por el contrario, los dolores severos incontrolados y/o hematuria significante son indicadores para intervención (7).
| Tabla 1: Dolor pélvico crónico. Diagnósticos diferenciales |
| Patología intestinal |
| Cáncer/metástasis |
| Endometriosis |
| Fibromas |
| Fibromialgia |
| Patología neurológica |
| Patología traumatológica |
| Quiste de ovario |
| Síndrome de congestión pélvica |
| Trastorno inflamatorio pélvico |
| Porfiria |
| Patología urológica |
| Prolapso uterino |
Síndrome de May Thurner o síndrome de Cockett
El síndrome de May-Thurner o síndrome de Cockett es la compresión o aplastamiento de forma extrínseca a nivel de la vena ilíaca común izquierda por la arteria ilíaca común derecha y la columna (a nivel del cuerpo vertebral de L5). Esta compresión puede producir una trombosis venosa profunda (TVP) o incompetencia valvular a nivel de las venas pélvicas (11).
Mc Murrich, en 1908 asoció el edema en el miembro inferior izquierdo a una compresión de la vena ilíaca izquierda. En 1956, May y Thurner describieron los hallazgos anatómicos de esta enfermedad y Cockett y Thomas, en 1965, informaron los resultados anatómicos y clínicos otorgándole el nombre de síndrome de la compresión de la vena ilíaca (11).
La presencia de la inversión de flujo de la vena iliaca interna ipsilateral, múltiples colaterales pélvicos y una dilatación de la vena lumbar ascendente se pueden observar secundarios a la hipertensión venosa crónica subyacente (12).
El método gold standard para el diagnóstico de esta patología es la flebografía ilíaca, la que permite observar la compresión de la vena ilíaca y también la toma de gradientes de presiones y la presencia de circulación colateral (13). En la actualidad, la angio-TC y la angio-RM venosa se han convertido en los métodos de diagnóstico alternativos (13).
Es importante conocer que la causa de edema persistente de la pierna izquierda puede ser el síndrome de May-Thurner, especialmente en mujeres jóvenes. Puede cursar con varicocele izquierdo y várices lumbares, debido al incremento de presión a nivel de la vena renal izquierda que se transmite de modo retrógrado por la vena gonadal del mismo lado, produciendo un incremento de presión a nivel del plexo pampiniforme, tributario de la vena gonadal, con el desarrollo de varicocele izquierdo, siendoresponsables de un estado clínico típico con dolor abdominal y en flanco izquierdo crónico, además de microhematuria. Este diagnóstico se confirma con una flebografía ilíaca (14).
La terapéutica de elección en el síndrome de May Thurner es la colocación de un stent, auto expandible en su mayoría, de 16 a 22 mm de diámetro. La iliocavografía debe demostrar ausencia de circulación colateral y la desparición del gradiente de presión, que son los dos signos que ratifican la adecuada colocación del stent (15).
CONCLUSIONES
El síndrome de congestión pélvica y los síndromes hipertensivos venosos infradiafragmáticos, son los responsables en muchas pacientes de los síntomas a nivel pélvico y de las várices de los miembros inferiores de etiología desconocida. Las várices pélvicas y las fugas a los miembros inferiores se producen por una hipertensión venosa originada, entre otras causas, por los embarazos y las compresiones.
En la actualidad, los métodos de diagnóstico no invasivos, como el eco Doppler transparietal y transvaginal son de mucha utilidad, además de la confirmación diagnóstica a través de la flebografía, la que permite la realización del tratamiento de embolización en el mismo acto.
Bibliografía
- Díaz-Reyes C. Várices pélvicas y síndrome de congestión pélvica en la mujer Rev CES Med 2012;26(1):57-69 – [en línea] http://www.scielo.org.co/pdf/cesm/v26n1/ v26n1a06.pdf>.
- Leal Monedero J. Indicaciones y tratamiento del síndrome de congestión pélvica Flebología y linfología – Lecturas vasculares. 2010;14 – [en línea] <http://www. sflb.com.ar/revista/2010_5_14-03.pdf>.
- Ignacio E, Dua R, Shawn V, Harper A, Yim D, Vivek M, Venbrux A. Pelvic congestion syndrome: diagnosis and treatment. Semin Intervent Radiol. 2008; 25(4): 361–368 – [en línea] <http://www.ncbi.nlm.nih.gov/pmc/articles/PMC3036528>.
- León-Avellaneda J, Mondragón-Cardona A, Quintero Ramírez F, Montoya-Hidalgo C, Mora-Muñoz J. Síndrome de congestión pélvica. Aspectos generales: clínica, diagnóstico y terapéutica. Revisión sistemática de la literatura Rev. Hosp. Mat. Inf. Ramón Sardá 2012;31(2) – [en línea] < file:///D:/Downloads/88-93%20Actualizaci+%C2%A6n%20(1).pdf>
- Ming Chen Y, Kuan Wang I, Kwan K, Ching Huang CH. Nutcracker syndrome: an overlooked cause of hematuria. Department of Radiology, Chang Gung Memorial Hospital, Taipei; School of Medicine, Chang Gung University, Taoyuan. Oct. 3, 2001- [en línea] <file:///D:/Downloads/251009.pdf>.
- Ferreira M, Lanziotti L, Abuhadba G, Monteiro M, Capotorto L, Spicacci J. Chronic pelvic pain: the role of the nutcracker syndrome. J Vasc Bras. 2008;7(1) – [en línea] <http://www.scielo.br/scielo.php?pid=S167754492008000100014&script=sci_arttext&tlng=en>.
- Harrech Y, Hassan J, Chafiki J, Ghadouane M, Ameur A, Abbar M. Actitud expectante en el síndrome del cascanueces. Departamento de Urología. Hospital Militar Mohammed V. Rabat. Marruecos – [en línea] <http://scielo.isciii.es/pdf/aue/v33n1/v33n1a18.pdf>.
- Takebayshi S, Ueki T, Fijikawa A. Diagnosis of the Nutcracker syndrome with color Doppler sonography , correlation with flow patterns on retrograde left renal venography. AJR Am J Roentgenol. 1999:172:39-43 -[en línea] <http://www.ajronline.org/doi/abs/10.2214/ajr.172.1.9888735>.
- Alcocer-Gamba M, Martínez-Chávez J, Alcántara-Razo M, Eid-Lidt G, Lugo-Gavidia L, García-Hernández E, et al. Successful endovascular treatment of nutcracker’s syndrome with self-expanding stent. Arch CardiolMex. 2012; 82(4):303-7. – [en línea] <http://www.elsevier.es/es-revista-archivos-cardiologia-mexico-293-articulo-tratamiento-endovascular-exitoso-delsindrome-
90168832>. - Shin J, Park J, Seung J, Joon M. Effect of renal Doppler ultrasound on the detection of nutcracker syndrome in children with hematuria. Eur J Pediatr. 2007;166(5): 399–404 – [en línea] <http://www.ncbi.nlm.nih.gov/pmc/articles/PMC1829442/>.
- Santos Arrontes D, Salgado Salinas R, Chiva Robles V, Gómez de Vicente JM, Fernández González I, Costa Subias J. Síndrome del cascanueces. A propósito de un caso. Actas Urol Esp. 2003;27(9) -[en línea] <http://scielo.isciii.es/scielo.php?script=sci_arttext&pid=S0210-48062003000900011>.
- Carvalho Sathler C, Lins Barros M, Rivas Yepez J. Tratamiento endovascular del síndrome de May-Thurner: informe del caso y revisión de literatura. Hospital Vera Cruz. Instituto Hermes Pardini e Hospital Mater. Belo Horizonte-MG. Brasil. [en línea] <http://departamentos.cardiol.br/sbc-depeco/publicacoes/revista/2012/espanhol/Revista02/09-tratamiento.pdf>.
- Butros S, Oliveira G, Ganguli S, Kalva S. Venous compression syndromes: clinical features, imaging findings and management. Br J Radiol. 2013;86(1030):20130284 – [en línea] < http://www.ncbi.nlm.nih.gov/pmc/articles/PMC3798333/>.
- Gil Martín A, Carreras Aja M, Arrieta Ardieta I, Labayen Azparren E. Síndrome de Cockett o de May-Thurner o síndrome de compresión de la vena ilíaca. Servicio de Radiología, Hospital de Cruces, Barakaldo, Vizcaya, España – [en línea] <http://apps.elsevier.es/watermark/ctl_servlet?_f=10&pident_articulo=90354698&pident_usuario=0&pcontactid=&pident_revista=119&ty=8&accion=L&origen=zonadelectura&web=www.elsevier.es&lan=es&fichero=119v56n05a90354698pdf001.pdf>.
- Ayush G, D’Souza DE. May-Thurner syndrome [en línea] <http://radiopaedia.org/articles/may-thurnersyndrome-2>.
- Leal Monedero J. Indicaciones y tratamiento del síndrome de congestión pélvica. Flebología y linfología. 2010:5(14) – [en línea] <http://www.sflb.com.ar/revista/2010_5_14-03.pdf>.
Agradecimiento
A la Dra. Marta Kura, Dra. Diosma Yanuzzio, Dra. Belen Campagno, Dra. Valeria Arch, Dra. Audrey Murcia del Servicio de Ecografía y Dra. Guadalupe Bengoa del Servicio de Flebologia y Linfología. Un agradecimiento especial al Hospital Militar Central Cir. My. Dr. Cosme Argerich y todo el personal de salud por las enseñanzas compartidas y su amistad incondicional.
A los pacientes, que depositaron en nosotros toda su confianza.









