Trabajo de revisión
Autores: Juan Francisco Olivetto, Javier Martínez, Dennis Thomas, Jhon Escudero. [1]
Resumen
El mediastino se define como la estructura de tejidos y órganos que separa los dos sacos pleurales, ubicada entre el esternón por delante y la columna vertebral por detrás, y que se extiende desde la entrada torácica por encima hasta el diafragma por debajo.
El compartimento mediastínico anterior (espacio prevascular) comprende el contenido torácico anterior al pericardio. El compartimento mediastínico medio (espacio vascular) comprende el pericardio y su contenido, junto con los grandes vasos. El compartimento mediastínico posterior (espacio posvascular) contiene la tráquea, el esófago, la aorta descendente y la vena ácigos.
El neumomediastino es la presencia de aire en el espacio mediastinal. Es una entidad muy poco frecuente; en nuestra institución se encontraron tan solo 38 casos en cinco años. Dicha entidad puede pasar desapercibida si es sutil, por lo que es importante que los médicos radiólogos la sospechen ante diferentes situaciones clínicas o signos radiológicos para realizar una búsqueda más rigurosa.
Las causas intratorácicas pueden presentarse en diversos contextos clínicos. El neumomediastino secundario a neumonía es provocado por la rotura de alvéolos, debido a la inflamación y la tos intensa. En el asma, se produce por atrapamiento aéreo debido al estrechamiento de las vías respiratorias o a la obstrucción por mucosidad. En casos de vómitos, parto y levantamiento de pesas, el esfuerzo contra una glotis cerrada puede provocarlo. Un traumatismo torácico cerrado, generalmente por un accidente de tráfico, también puede provocar neumomediastino secundario a la rotura alveolar o a la fractura de la tráquea o los bronquios.
Las causas extratorácicas de neumomediastino son: fractura de senos paranasales o iatrogénicas. Además, puede producirse una disección de aire hacia el mediastino desde el espacio retroperitoneal tras la perforación de una víscera hueca.
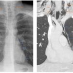
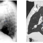
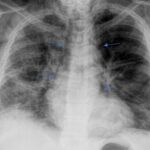
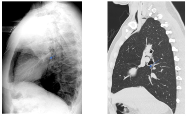
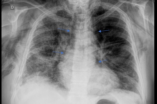
Dentro de los métodos diagnósticos, el neumomediastino se puede diagnosticar mediante radiografías o tomografía computada, donde se va a visualizar la presencia de aire (radiolucidez o hipodensidad lineales) rodeando las estructuras mediastinales. Un signo de muy alta especificidad es el llamado “signo del anillo alrededor de la arteria”, donde se visualiza una imagen radiolúcida o hipodensa en forma de anillo rodeando la arteria pulmonar, principalmente del lado derecho. Este signo ayuda a diferenciar esta entidad del neumopericardio, que puede verse similar en imágenes.
Palabras clave: neumomediastino, enfisema subcutáneo, signos, asociaciones.
Abstract
The mediastinum is defined as the mass of tissues and organs that separates the two pleural sacs, located between the sternum anteriorly and the vertebral column posteriorly, extending from the thoracic inlet above to the diaphragm below.
The anterior mediastinal compartment (prevascular space) comprises the thoracic contents anterior to the pericardium. The middle mediastinal compartment (vascular space) comprises the pericardium and its contents, along with the great vessels. The posterior mediastinal compartment (postvascular space) contains the trachea, esophagus, descending aorta, and azygos vein.
Pneumomediastinum is the presence of air in the mediastinal space. It is a very rare condition, with only 38 cases reported in our institution over 5 years. This condition can be easily missed if it is subtle; therefore, it is important for radiologists to consider it in various clinical situations or radiological findings to conduct a more thorough investigation. Intrathoracic causes can occur in various clinical contexts. Pneumomediastinum secondary to pneumonia is caused by alveolar rupture due to inflammation and intense coughing. In asthma, it occurs due to air trapping caused by narrowing of the airways or obstruction by mucus. In cases of vomiting, childbirth, and weightlifting, the effort against a closed glottis can cause it. Blunt chest trauma, usually from a traffic accident, can also cause pneumomediastinum secondary to alveolar rupture or fracture of the trachea or bronchi.
Extrathoracic causes of pneumomediastinum include paranasal sinus fracture or iatrogenic causes. Additionally, air dissection into the mediastinum from the retroperitoneal space can occur after perforation of a hollow viscus.
Among the diagnostic methods, pneumomediastinum can be diagnosed using X-rays or computed tomography scans, where the presence of air (linear radiolucency or hypodensity) surrounding the mediastinal structures will be visualized. A highly specific sign is the so-called “ring sign around the artery”, where a radiolucent or hypodense ring-shaped image is visualized surrounding the pulmonary artery, primarily on the right side. This sign helps differentiate this condition from pneumopericardium, which can appear similar on imaging.
Keywords: pneumomediastinum, subcutaneous emphysema, signs, associations.
Neumomediastino en imágenes


Materiales y métodos
Se realizó un estudio retrospectivo con una búsqueda en nuestra base de datos entre octubre de 2020 y octubre de 2025 en pacientes ambulatorios e internados a los que se le solicitó radiografías y/o tomografía computada.
Fueron incluidos todos los pacientes a los que se les realizó el estudio, independientemente de la causa por la que fue solicitado, abarcando todas las edades e incluyendo a pacientes de ambos sexos.
Se obtuvieron 38 estudios de radiografías y TC de tórax con diagnóstico de neumomediastino.
Resultados
De todos los estudios realizados, 20 (53%) presentaban enfermedad respiratoria de base (neumonía infecciosa o enfermedad intersticial), en 7 (18%) la causa fue iatrogénica, 5 por neumotórax espontáneos (13%), 4 (11%) presentaron traumatismos (contusos de tórax y de seno maxilar) y en 2 casos la causa fue por retro neumoperitoneo secundario a perforación de víscera hueca (5%).
Cabe destacar que nuestro centro de salud no recibe pacientes politraumatizados, por lo que el número causal por traumatismos se ve afectado.
De los casos mencionados anteriormente, en el 76,3% (29) el neumomediastino se encontraba asociado a otro signo (10 pacientes presentaban dos signos acompañantes). Dentro de estos se encuentra el enfisema subcutáneo (65%), neumotórax (18%), neumoperitoneo (8%), neumopericardio (2,6%) y enfisema de músculos paravertebrales (2,6%).
También vale la pena mencionar que el neumomediastino es una manifestación poco frecuente (<10%) de la neumonía por COVID-19, principalmente en pacientes que requirieron ventilación mecánica invasiva. En nuestra institución, de los 38 casos encontrados, 7 pacientes (18,4%) tenían el diagnóstico de neumonía por COVID-19, encontrándose en cuidados críticos con intubación orotraqueal.


Discusión
El neumomediastino es un trastorno de muy baja incidencia, pero cuando se encuentra suele estar asociado con mayor frecuencia a enfisema subcutáneo, y entre sus causas más frecuentes se encuentran los trastornos respiratorios, iatrogenia y traumatismo de tórax.
Conclusión
El hallazgo de aire a nivel del mediastino suele ser muy sutil y se puede pasar por alto, pero suele tener causas frecuentes y limitadas, y también estar asociado a ciertos signos específicos. El conocimiento de estos y su identificación en imágenes puede llevar al médico radiólogo a una mejor búsqueda de esta entidad para arribar al diagnóstico correcto, lo cual es importante para guiar al médico tratante hacia una terapéutica adecuada y rápida, evitando su propagación y la generación de tensión o infección a nivel mediastinal, lo que puede llevar a una evolución tórpida y de mal pronóstico para los pacientes.
Bibliografía
Kwee, T. C., Kwee, R. M. (2020). Chest CT in COVID-19: What the Radiologist Needs to Know. RadioGraphics, 40(7). https://doi.org/10.1148/rg.2020200159
Singhal, S., Jairam, M. P., Jhala, K., Hammer, M. M. (2024). Abnormal Gas at Chest Radiography: A Primer with CT and 3D Reconstruction Correlation. RadioGraphics, 44(3). https://doi.org/10.1148/rg.230146
Whitten, C. R., Khan, S., Munneke, G. J., Grubnic, S. (2007). A Diagnostic Approach to Mediastinal Abnormalities. RadioGraphics, 27(3), 657-6571. doi: 10.1148/rg.273065136
Zylak, C. J., Pallie, W., Pirani, M., Wandtke, J. C., Kothari, K. (1983). Anatomy and computed tomography. RadioGraphics.
Zylak, C. M., Standen, J. R., Barnes, G. R., Zylak, C. J. (2000). Pneumomediastinum Revisited. RadioGraphics, 20(4), 1043-1057. doi: 10.1148/radiographics.20.4.g00jl131043.
[1] Servicio de Diagnóstico por Imágenes, Clínica del Valle, Comodoro Rivadavia, Argentina.


