Autores: Aníbal A. Bernasconi, Yeimy G. Guerra, Celsa C. Parra, Vilma C. Fernández, Euritmia C. Manjarrez, Edilberto J. Montenegro
Resumen
El meningioma primario de la vaina del nervio óptico es un tumor raro, cuyo manejo diagnóstico y terapéutico ha variado de manera sustancial en los últimos años. Se trata de tumores inusuales de la vía visual anterior. Se presentan más en la edad adulta (media 45 años), y en mujeres el doble que en hombres.
Sin tratamiento, el crecimiento del tumor lleva a pérdida visual progresiva, hasta la ceguera, debido a la compresión que ejerce sobre el nervio óptico. El estudio ecográfico ocular tiene un papel importante en el estudio de la patología orbitaria, pero la aparición y desarrollo de las técnicas de diagnóstico por imagen, como la tomografía computarizada de alta resolución y la resonancia magnética nuclear, han permitido diagnósticos más precoces y precisos. Este este artículo revisamos, en primer lugar, el protocolo para el estudio de vasos de cuello mediante estudio con Doppler color y Power Doppler, abordaje de arteria oftálmica y nervio óptico, así como también la anatomía orbitaria y la clínica.
Palabras clave: meningioma, nervio óptico, ecografía y Doppler color.
Introducción
La estenosis u oclusión carotídea aterosclerótica causa alrededor del 30% de las isquemias cerebrovasculares. Es importante saber que la mayoría de las lesiones estenóticas se producen a nivel del sector proximal de la arteria carótida interna en una oclusión u obstrucción por lo general mayor al 80%. A nivel de arteria carótida interna aparecen los signos indirectos de estenosis carotídea.
La arteria oftálmica reversa es uno de los signos indirectos en la obstrucción severa u oclusión de la arteria carótida interna que recobran gran importancia en aquellos casos en los que no se identifica el sitio de oclusión o estenosis, pacientes con cuello corto donde dificulta realizar un estudio adecuado, oclusión u obstrucción distal.
En este artículo nos centraremos en la importancia del abordaje ecográfico de la arteria oftálmica como signo de estenosis u oclusión carotídea ateroesclerótica, así como también para detección de patología ocular como herramienta diagnóstica útil en la evaluación de enfermedades oculares y orbitarias, basadas en la capacidad de combinar la imagen bidimensional en escala de grises y el análisis funcional del flujo sanguíneo. Este trabajo busca familiarizar al ecografista con los hallazgos típicos en las patologías más frecuentes ejemplificando con imágenes esos hallazgos.
Los tumores del nervio óptico representan alrededor del 4% de los tumores orbitarios, y pueden ocurrir a cualquier edad.(1) Los tumores más frecuentes son el glioma de nervio óptico y el meningioma de la vaina del nervio óptico (MVNO). Mientras que los gliomas son una neoplasia benigna que ocurren principalmente en niños, los meningiomas son tumores benignos de lento crecimiento que ocurren con mayor frecuencia en mujeres entre la tercera a cuarta década de la vida, y corresponden a un 30% de los tumores primarios de nervio óptico y entre un 5% y un 10% de los tumores orbitarios.(1,2)
Los MVNO son tumores provenientes de las células meningoteliales de las vellosidades aracnoideas y se pueden desarrollar en cualquier lugar del trayecto del nervio óptico. Pueden ser unilaterales, bilaterales o multifocales; estos dos últimos se relacionan de manera importante con pacientes con neurofibromatosis tipo 2.(2)
El propósito de este estudio es presentar el caso de una paciente a la que durante su estudio Doppler de vasos de cuello y arteria oftálmica, se le encontró como hallazgo incidental un MVNO. Abordaremos los hallazgos clínicos y radiológicos de esta patología y la importancia, como imagenólogos, de poder identificarla y describirla en la práctica ecográfica diaria.
Caso clínico
Paciente femenina de 76 años, quien refiere cuadro clínico de seis meses de evolución caracterizado por pérdida de la agudeza visual progresiva del ojo derecho asociado a nistagmos y cefaleas recurrentes. Antecedentes de hipertensión arterial y dislipidemia mixta, medicada con estatinas, por lo que indican Doppler de vasos de cuello y arteria oftálmica.
Material y métodos
Descripción de caso clínico y revisión de la literatura
En las Imágenes A y B se valoran las arterias del eje carotídeo, presentando carótida común, externa e interna: flujos anterógrados laminares conservados con velocimetría conservada.
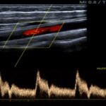
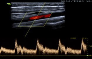
Imágenes C y D: las arterias ciliares, central de la retina flujos anterógrados normales, con espectrometría en parámetros normales (no hay alteración vascular).
Imágenes E y F: ecografía ocular derecha: a nivel retroorbitario en el ojo derecho y en el área correspondiente a la inserción del nervio óptico, se observa una imagen asimétrica con relación al contralateral de ecoestructura sólida ubicada en la vaina del nervio óptico las medidas 11,7 x 9,8 mm.
Conclusión
Dentro de la patología tumoral que puede afectar la órbita se destacan los MVNO. Estos tumores van creciendo de manera lenta, comprimiendo a largo plazo el nervio óptico y demás estructuras, como músculos extraoculares y el globo ocular. Si bien presentan una muy baja mortalidad, pueden provocar una alta morbilidad, llegando a deteriorar seriamente la calidad de vida de quien los sufre, dada la pérdida progresiva de la visión de un ojo, o incluso, de ambos ojos. Su presentación es poco frecuente, por lo tanto, decidimos presentar este caso clínico para contribuir al estudio de los tumores orbitarios.
La adecuada interpretación clínica de este cuadro, asociado a los hallazgos característicos en la ecografía, la TC y la resonancia nuclear magnética, nos permiten hacer un diagnóstico oportuno.
De ahí la importancia de conocer esta patología, sospecharla y diagnosticarla en forma precoz, ya que si bien el abordaje de este tipo de tumores debe ser individualizado, es muy importante destacar cómo durante la valoración mediante el estudio de Doppler de vasos de cuello y la arteria oftálmica, se encuentra este hallazgo incidental de MVNO que permitió ofrecer una mejor alternativa terapéutica para preservar la función visual de nuestra paciente.
Por último, el tratamiento de elección es conservador, la cirugía solo estará indicada en casos de pacientes con enfermedad rápidamente progresiva acompañados de pérdida total de la visión con carácter irreversible, en los que resulta imprescindible eliminar un compromiso mecánico secundario al gran tamaño tumoral; en estos casos es posible combinar con la radioterapia estereotáxica fraccionada o la radioterapia convencional.
Bibliografía
- Zomosa, R. G., Cruz, T. S., Miranda, G. G. y Harbst, S. H. (2016). Meningioma de la vaina del nervio óptico y tratamiento con radioterapia conformacional: reporte de un caso clínico tratado con largo seguimiento / Optic nerve sheath meningioma treated with radiation conformal therapy: clinical case report with long follow up. Rev. Chil. Neurocir, 42(2), 133-136.
- Revista Argentina de Cardiología (mayo/junio 2006). Versión On-line ISSN 1850-3748 v.74 n.3.
- Sánchez, L., Dellamea, M., Feinner Hurtado, J., Zunino, M. J., Togni, F. y Sosa, M. (2016). Arteria oftálmica reversa en doppler patológico de vasos de cuello. Ecografía y Doppler oftálmicos. Servicio de Diagnóstico, Hospital de Clínicas José de San Martín, Buenos Aires. Disponible en: https://congreso.faardit.org.ar/uploads/2019/poster/330.pdf.





