Autores: Ricardo José Hernández García, Karina Oyuky López Contreras, María José Gaibor, Marta Kura (Diagnóstico Científico Integral, Buenos Aires, Argentina)
Resumen
El tumor de Brenner deriva del epitelio de la superficie del ovario, que morfológicamente recuerda al epitelio transicional de la vejiga. Es una neoplasia poco frecuente que constituye 1,5%-2,5% del total de neoplasias ováricas, casi siempre unilateral, con mayor tendencia a manifestarse en el lado izquierdo; los bilaterales son muy raros, constituyen 3,7%-8%. Afectan con mayor frecuencia a mujeres en la quinta década de la vida y suelen ser asintomáticos. El tumor de Brenner es sólido y puede asociarse con quistes (mucosos, serosos o endometroides), que constituyen tumores epiteliales mixtos.
El objetivo de esta publicación es dar a conocer un caso poco común, debido a que el tumor de Brenner es excepcional (menos de 2%) entre los tumores del ovario.
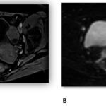
Se presenta el caso de una paciente de 56 años, posmenopáusica, con antecedente de Ca mama en tratamiento con anastrozol, anexectomía derecha por cistoadenoma seroso. Consulta por sangrado uterino anormal de un mes de evolución. Se realizan exámenes complementarios, como ecografía transvaginal y resonancia magnética pélvica, para evaluar la lesión; se categorizó como ORADS IV.
Dados los hallazgos y antecedentes de la paciente, se realiza tratamiento quirúrgico con posterior confirmación anatomopatológica de tumor de Brenner benigno.
La discusión se centra en un caso curioso, debido a que el tumor de Brenner es una patología poco frecuente (<2% de tumores ováricos) y además reúne las características de haberse dado en una persona de avanzada edad, de ser unilateral y de escasas dimensiones, y al mismo tiempo benigno, tal como lo demuestra la literatura. Además, en esta paciente el tumor de Brenner coexiste con antecedente de cistoadenoma de ovario, situación que suele darse con relativa frecuencia.
El artículo concluye resaltando la importancia de considerar a la ecografía como el primer método diagnóstico, y con la RMN de pelvis se estratifica el riesgo de malignidad. Sin embargo, su confirmación diagnóstica concluye con el resultado anatomopatológico posquirúrgico en la mayoría de los casos.
Palabras clave: tumor de Brenner, tumor de células transicionales, tumores ováricos.
Introducción
El tumor de Brenner deriva del epitelio de la superficie del ovario, que morfológicamente recuerda al epitelio transicional de la vejiga. Es una neoplasia poco frecuente que constituye 1,5%-2,5% del total de neoplasias ováricas, casi siempre unilateral, con mayor tendencia a manifestarse en el lado izquierdo; los bilaterales son muy raros, conforman 3,7%-8%. Afectan con mayor frecuencia a mujeres en la quinta década de la vida y suelen ser asintomáticos.
El tumor de Brenner es sólido y puede asociarse con quistes (mucosos, serosos o endometroides), que constituyen tumores epiteliales mixtos.
Objetivos
El propósito de este artículo es proporcionar información relevante para relacionar la presentación clínica, los hallazgos imagenológicos y los resultados de la anatomopatológica. Estas tres pautas generan un desafío en el contexto específico del tumor de Brenner benigno, ya que su incidencia es baja (alrededor de un 3,7%-8%) y su modo de presentación no es igual en todos los casos.
Presentación del caso
Se presenta el caso de una paciente de 56 años, posmenopáusica, con antecedente de Ca mama en tratamiento con anastrozol, anexectomía derecha por cistoadenoma seroso. Consulta por sangrado uterino anormal de un mes de evolución. Se realizan exámenes complementarios, como ecografía transvaginal y resonancia magnética pélvica, para evaluar la lesión; se categorizó como ORADS IV.
Dado los hallazgos y antecedentes de la paciente, se realiza tratamiento quirúrgico con posterior confirmación anatomopatológica de tumor de Brenner benigno.
Discusión
Se centra en un caso curioso, debido a que el tumor de Brenner es una patología poco frecuente (<2% de tumores ováricos) y además reúne las características de haberse dado en una persona de avanzada edad, de ser unilateral y de escasas dimensiones y al mismo tiempo benigno, tal como lo demuestra la literatura. Asimismo, en nuestra paciente el tumor de Brenner coexiste con antecedente de cistoadenoma de ovario, situación que suele darse con relativa frecuencia.
Conclusión
Resaltamos la importancia de considerar a la ecografía como el primer método diagnóstico, y con la RMN pelvis se estratifica el riesgo de malignidad. Sin embargo, su confirmación diagnóstica concluye con el resultado anatomopatológico posquirúrgico en la mayoría de los casos.
Anexos (imágenes)

Bibliografía
- Morales-Palacios, E., Villarreal-Portillo, D. A., Quintero-Cabrera, I. J. E. (2016). Tumor de Brenner fronterizo. Rev Cubana Obstet Ginecol [Internet] [citado 04/03/2019], 42(4), 530-6. http://scielo.sld.cu/scielo.php?script=sci_arttext&pid=S0138-600X2015000200005&lng=es.
- Douherty, D., Onyemkpa, C., Engel, M., Oyasijic, T. (2018). A case report of an incidental Brenner tumor found after resection of a large ovarian mucinous neoplasm. Int J Surg Case Rep [Internet] [citado 04/03/2019], 49, 40-41. http://www.ncbi.nlm.nih.gov/pmc/articles/PMC6039703.
- Nasioudis, D., Sisti, G., Holcomb, K., Kanninen, T., Witkin, S. (2016). Malignant Brenner tumors of the ovary; a population-based analysis. Gynecol Oncol [Internet] [citado 04/04/2019],142, 44-49. http://www.ncbi.nlm.nih.gov/ pubmed/27130406.
