Autores: Leydi Johana Moreno Rodríguez[1], Javier Martínez[2] y Dennis Thomas[3]
Resumen
La hidatidosis es una zoonosis parasitaria persistente en zonas endémicas, como la Patagonia argentina. El objetivo general de este estudio fue analizar la presentación radiológica de la hidatidosis en pacientes de una zona endémica, evaluando su distribución temporal, demográfica, anatómica y clasificatoria.
Los objetivos específicos fueron:
- Describir la distribución epidemiológica y radiológica de los casos de hidatidosis en una institución patagónica.
- Analizar la aplicabilidad de la clasificación de Gharbi en estudios multimodales.
Se realizó un análisis retrospectivo de 161 estudios de imágenes con diagnóstico de hidatidosis entre 2016 y 2025 en la Clínica del Valle, Comodoro Rivadavia, provincia de Chubut. La mayoría de los pacientes estaban hospitalizados por otras causas (84,5%), lo que indica que gran parte de los hallazgos fueron incidentales. Predominó la fase inactiva (quistes calcificados, tipo V en 52,1%), lo que sugiere que la enfermedad puede estar siendo subdiagnosticada debido a su carácter frecuentemente asintomático.
La modalidad más utilizada fue la tomografía computada (59%), seguida de ecografía (17,4%), resonancia magnética (15,5%) y radiografía (8%). El hígado fue el órgano más afectado (90,7%), con predominio en pacientes de 61-70 años y leve predominio masculino. El año de mayor incidencia fue 2024 (23 casos).
Estos hallazgos confirman la persistencia de la hidatidosis en la región y resaltan la importancia de la detección precoz. En conclusión, la casuística evidencia una oportunidad de mejora en salud pública: fortalecer estrategias de diagnóstico temprano y tratamiento adecuado permitiría evitar complicaciones graves y reducir la carga de enfermedad en esta zona endémica.
Palabras clave: hidatidosis, diagnóstico por imágenes, clasificación de Gharbi, casuística radiológica.
Radiological case studies of hydatidosis in an endemic area, Comodoro Rivadavia: retrospective analysis of 161 studies in Patagonia (2016–2025)
Abstract
Hydatidosis is a parasitic zoonosis that persists in endemic areas such as Argentine Patagonia. The general objective of this study was to analyze the radiological presentation of hydatidosis in patients from an endemic zone, evaluating its temporal, demographic, anatomical, and classificatory distribution.
The specific objectives were:
- To describe the epidemiological and radiological distribution of hydatidosis cases in a Patagonian institution.
- To analyze the applicability of the Gharbi classification in multimodal imaging studies.
A retrospective analysis was conducted of 161 imaging studies with a diagnosis of hydatidosis between 2016 and 2025 at Clínica del Valle, Comodoro Rivadavia. Most patients were hospitalized for other causes (84.5%), indicating that many findings were incidental. The predominance of inactive phases (calcified cysts, type V in 52.1%) suggests that hydatidosis may be underdiagnosed, as the disease often remains asymptomatic for years.
The most frequently used modality was computed tomography (59%), followed by ultrasound (17.4%), magnetic resonance imaging (15.5%), and radiography (8%). The liver was the most affected organ (90.7%), with predominance in patients aged 61–70 years and a slight male predominance. The year with the highest incidence was 2024 (23 cases).
These findings confirm the persistence of hydatidosis in the region and highlight the importance of early detection. In conclusion, this casuistry demonstrates an opportunity for public health improvement: strengthening early diagnosis strategies and appropriate treatment could prevent severe complications and reduce the burden of disease in this endemic area.
Keywords: hydatidosis, diagnostic imaging, Gharbi classification, radiological case studies.
Introducción
La hidatidosis es una infección parasitaria causada por Echinococcus granulosus y Echinococcus multilocularis (Pedrosa et al., 2000). Es endémica en Sudamérica, África y Asia, con predominio en pacientes de mediana edad (Zavala et al., 2017). El mecanismo de transmisión es fecal-oral, a través de la ingesta de huevos eliminados por cánidos (Maeda et al., 2021).
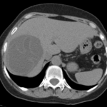
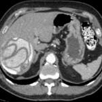
El hígado es el órgano blanco más frecuente (75%), especialmente el lóbulo derecho, seguido por pulmones, bazo, riñón, corazón, cerebro, peritoneo y músculos (Zavala et al., 2017; Fulcher & Turner, 2001). La enfermedad puede permanecer asintomática por años, y las manifestaciones clínicas dependen del sitio anatómico, el tamaño de los quistes y las complicaciones asociadas (Pedrosa et al., 2000).
El diagnóstico se basa en hallazgos clínicos, serológicos y de imágenes. La ecografía tiene una sensibilidad del 90-95% (Silva et al., 2006), mientras que la tomografía computada (TC) y la resonancia magnética (RM) ofrecen mayor especificidad anatómica para definir número, ubicación y complicaciones, así como para caracterizar la extensión extrahepática (Maeda et al., 2021; Singh et al., 2001). El realce de contraste suele ser escaso o nulo, reflejando la baja vascularidad de la lesión (Patnana et al., 2018).
Las complicaciones incluyen ruptura de quistes (14-37% en sistema biliar), infección secundaria, compresión de estructuras vecinas, diseminación peritoneal y comunicación biliar (Pedrosa et al., 2000; Zavala et al., 2017). El tratamiento puede ser farmacológico (albendazol), quirúrgico o mínimamente invasivo (PAIR), dependiendo del estadio y localización (Zulfiqar et al., 2020).
Entre el 40% y el 80% de los pacientes desarrollan un único quiste en un solo órgano, y la confirmación diagnóstica definitiva se logra con la identificación del parásito en líquido o tejido quístico (Pedrosa et al., 2000). La calcificación completa del pericisto indica muerte del parásito, aunque la calcificación parcial no lo asegura (Patnana et al., 2018).
Materiales y métodos
Se realizó un estudio retrospectivo utilizando la base de datos de imágenes y las historias clínicas de la Clínica del Valle, Comodoro Rivadavia, entre 2016 y 2025. Se incluyeron todos los estudios de RX, ecografía, TC y RM con diagnóstico de hidatidosis. Se registraron variables demográficas (edad, sexo), modalidad de imagen, condición de internación (hospitalizado por otras causas o ambulatorio), órgano afectado y clasificación de Gharbi. Los datos fueron sistematizados en tablas y porcentajes para su análisis descriptivo.
Resultados
Número total de estudios: 161 con diagnóstico de hidatidosis.
- Distribución anual: mayor incidencia en 2024 (23 casos).
- Condición de los pacientes: 136 hospitalizados (84,47%) y 25 ambulatorios (15,52%). Esto indica que gran parte de los hallazgos fueron incidentales, detectados en el contexto de internaciones por patologías diferentes.
- Modalidad de imagen: TC: 95 (59%); ecografía: 28 (17,4%); RM: 25 (15,5%); RX 13: (8%).
- Sexo: 85 pacientes masculinos (52,8%), 76 femeninos (47,2%).
- Grupo etario predominante: 61-70 años (35 pacientes, 21,7%).
- Órgano afectado: hígado: 146 (90,7%); pulmón: 5; bazo: 5; riñón: 3; vesícula: 1; estómago: 1.
- Clasificación de Gharbi: tipo I: 16,4%; tipo II: 11%; tipo III: 6,8%; tipo IV: 13,7%; tipo V: 52,1% (calcificados).
La alta proporción de quistes calcificados (fase inactiva) sugiere que muchos casos permanecieron asintomáticos durante años y fueron diagnosticados tardíamente. Esto refuerza la hipótesis de que la hidatidosis puede estar siendo subdiagnosticada en la región, dado que la zona es altamente endémica y la enfermedad suele pasar inadvertida hasta fases avanzadas.






Conclusión
La casuística demuestra que la hidatidosis persiste en Comodoro Rivadavia como una enfermedad endémica, con predominio de hallazgos incidentales en pacientes hospitalizados, a quienes se les realizaron estudios de imagen por otras causas, detectándose la infección parasitaria mayormente en fases inactivas. Este patrón refleja un potencial subdiagnóstico, dado que la enfermedad puede permanecer asintomática durante largos períodos.
La situación representa una oportunidad de mejora en salud pública: fortalecer la detección precoz mediante campañas educativas y la realización de estudios de imágenes en poblaciones de riesgo permitiría establecer diagnósticos tempranos y ofrecer tratamientos adecuados, evitando complicaciones graves, como ruptura, infección o diseminación.
La tomografía computada se consolida como la herramienta clave para caracterizar las lesiones y definir su extensión, mientras que la clasificación de Gharbi continúa siendo útil para orientar el manejo clínico.
Bibliografía
Fulcher, A. S., & Turner, M. A. (2001). Imaging of liver transplantation complications. RadioGraphics, 21 (Suppl. 1), S71-S85. https://doi.org/10.1148/radiographics.21.se01se061085
Maeda, Y., Hwang, H. P., Shetty, A. S., & Mellnick, V. M. (2021). Approach to cystic lesions in the abdomen and pelvis, with radiologic-pathologic correlation. RadioGraphics, 41(5), 1324-1350. https://doi.org/10.1148/rg.2021200207
Patnana, M., Menias, C. O., Pickhardt, P. J., Elsayes, K. M., Cash, B. D., Lubner, M. G., & Bhalla, S. (2018). Liver calcifications and calcified liver masses: Pattern recognition approach on CT. American Journal of Roentgenology, 211(1), 76-86. https://doi.org/10.2214/AJR.18.19704
Pedrosa, I., Saiz, A., Arrazola, J., Ferreiros, J., & Pedrosa, C. S. (2000). Hydatid disease: Radiologic and pathologic features and complications. RadioGraphics, 20(3), 795-817. https://doi.org/10.1148/radiographics.20.3.g00ma06795
Silva, A. C., Vens, E. A., Hara, A. K., Fletcher, J. G., Fidler, J. L., & Johnson, C. D. (2006). Intraoperative US of the liver: Techniques and clinical applications. RadioGraphics, 26(4), 1067-1084. https://doi.org/10.1148/rg.264055120
Singh, A. K., Cronin, C. G., Verma, H. A., Boland, G. W., Mueller, P. R., & Sahani, D. V. (2001). Liver transplantation: Preoperative CT evaluation. RadioGraphics, 21(Suppl. 1), S133-S146. https://doi.org/10.1148/radiographics.21.suppl_1.g01oc03s133
Zavala, E., Mortele, K., Digumarthy, N., Ghosh, F., Vargas, M., O’Rourke, J. F., Chams, D., Paez, N., & Huete, A. (2017). Imaging of hydatid disease with a focus on extrahepatic involvement. RadioGraphics, 37(3), 901-923. https://doi.org/10.1148/rg.2017160172
Zulfiqar, M., Shetty, A., Tsai, R., Gagnon, M. H., Balfe, D. M., & Mellnick, V. M. (2020). Diagnostic approach to benign and malignant calcifications in the abdomen and pelvis. RadioGraphics, 40(3), 731-753. https://doi.org/10.1148/rg.2020190152







