Autores
Dr. Gabriel Rico Morales; Dra. Yesid Remolina (Clínica del Valle Comodoro Rivadavia, Chubut, Argentina)
Esta presentación tiene como objetivos determinar la técnica tomográfica en el estudio del paciente con carcinoma de células renales, describir las características tomográficas que ayuden a distinguir los subtipos de carcinomas de células renales, y discutir el papel del radiólogo en el diagnóstico y la categorización del carcinoma de células renales.
1. Introducción
El carcinoma de células renales (CCR), se encuentra en el grupo de los tumores malignos que derivan del epitelio de los túbulos renales y se considera que se presenta en un 2 a 3% de todas las neoplasias malignas del adulto con una edad media de 60 a 70 años 1. El CCR se presenta en un 90% de las neoplasias renales y tiene factores de riesgo asociados, como el tabaquismo, la obesidad y la hipertensión 1. Tiene predominio en hombres, y a partir de los 75 años la relación hombre/mujer es 3 veces mayor 2.
La triada de hematuria, dolor y masa palpable se presenta en estadios avanzados de la enfermedad, por lo que la mayoría de las veces el CCR se detecta en forma incidental en la ultrasonografía o en la tomografía computada multicorte (TCMC), sobre la cual haremos el enfoque durante la revisión de este tema. Los radiólogos encontramos en esta técnica el mejor método para la identificación, categorización y estadificación del CCR con una precisión del 91%, por lo que permite un enfoque quirúrgico preciso basado en la extensión del tumor, su tamaño y compromiso vascular. La resonancia magnética será el estudio de elección cuando el paciente no tolere el medio de contraste usado durante la TCMC, y la tomografía por emisión de positrones sería el complemento al confirmarse la enfermedad metastásica 3.
2. El papel de la tomografía computada
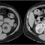
La TCMC ha presentado un gran avance en la evaluación diagnóstica de las enfermedades renales por medio de la rápida adquisición de imágenes y del uso de sus diferentes fases, obtenidas de forma secundaria a la administración del medio de contraste endovenoso. Describiremos cada fase y su importancia 3-4.
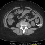
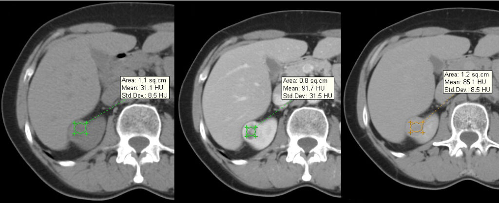
Fase sin contraste o basal
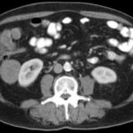
En la exploración renal se debe incluir esta frase dentro del protocolo; la fase proporciona la información inicial de una masa tumoral sospechosa, lo que permite tener un punto de referencia al compararse con las fases post-contraste. Los valores mayores a 12 UH son sospechosos de malignidad; teniendo en cuenta que el CCR es un tumor vascularizado, su atenuación aumenta a 20.
UH o más; si dichos tumores son mayores a 3 cm tienen características más heterogéneas en comparación con los tumores menores a 3 cm, que son más homogéneos.
Las calcificaciones se encuentran hasta en un 30% de los CCR y son más fácilmente visibles durante la fase basal 3-4 (Fig. 1).
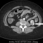
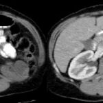
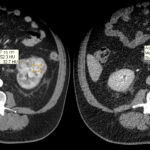
Fase corticomedular y arterial
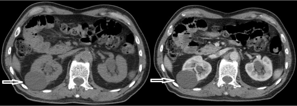
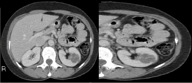
Esta primera fase ocurre en los primeros 25 a 70 segundos posteriores a la inyección del medio de contraste; la corteza renal, al retener el medio de contraste en este tiempo en los capilares corticales aumenta de una manera intensa diferenciándose de la médula renal, que se encuentra hipodensa.
La fase arterial o corticomedular es esencial para la estadificación, extensión y planificación quirúrgica, si fuese el caso de la neoplasia encontrada, ya que ofrece un mejor detalle vascular (opacificación de los vasos), una mayor definición anatómica y de lesiones vascularizadas en el hígado, el bazo o el páncreas, consideradas dentro del contexto de una metástasis (Fig. 2).
Los errores diagnósticos que pueden presentarse durante esta fase se asocian a lesiones de pequeño tamaño; en el caso de un tumor hipervascularizado pequeño aumentaría su atenuación en la misma medida en que lo haría la corteza. Otro error que puede ocurrir es con los tumores pequeños que se localizan hacia la médula, ya que por su ubicación se mantendrían hipodensos durante esta fase 3-4.
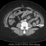
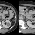
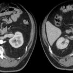
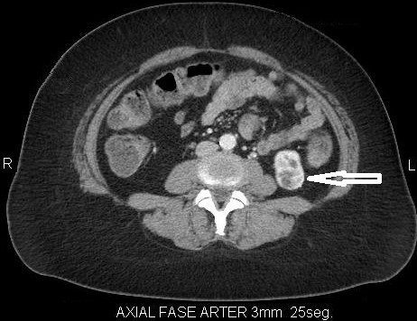
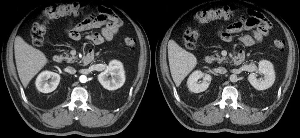
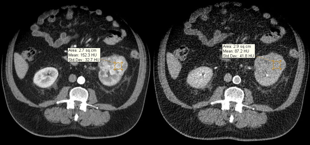
Fase nefrográfica o portal
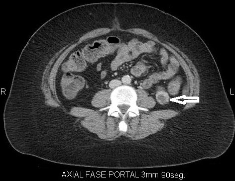
Se logra a partir de los 80 a 180 segundos posteriores a la inyección del contraste; el medio de contraste se encuentra en los túbulos colectores y asa de Henle durante esta fase y su utilidad se basa en el aumento homogéneo del parénquima renal, lo que permite una mejor delimitación de la masa renal.
Durante esta fase se presenta el mayor realce de los tumores sólidos, por lo que se logra una mejor caracterización de las masas indeterminadas. En un estudio sobre la caracterización de las masas renales menores a 3 cm se concluyó que durante las exploraciones en fase nefrográfica se permitió una mayor detección de lesiones y una mejor caracterización de las masas renales pequeñas que en las exploraciones de fase corticomedular 3-5 (Fig. 3).
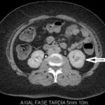
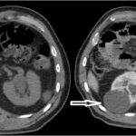
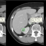
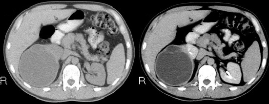
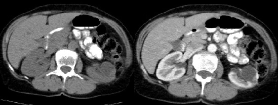
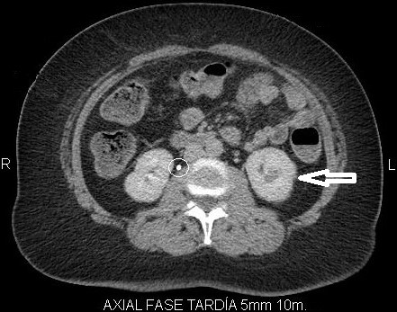
Fase excretora o arterial tardía
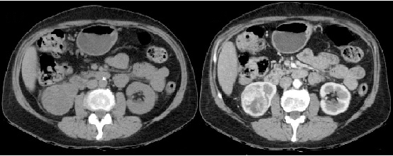
Comienza aproximadamente a los 3 minutos posteriores a la inyección del medio de contraste y permite evaluar su excreción por el sistema colector; por lo tanto, es útil para evaluar la relación de la masa con los cálices y la pelvis renal y llegar a una mejor planificación quirúrgica conservadora en un caso dado 3-4 (Fig. 4).
3. La lesión quística VS. el tumor
Si bien al hablar del CCR se refiere a una lesión tumoral exofítica de componentes sólidos, es pertinente presentar la clasificación de las lesiones quísticas y su correlación de malignidad propuesta por el MD y profesor de radiología Morton A Bosniak en 1986, que fue modificada en 1990 con la inclusión del subtipo IIF; a partir de entonces se da un cambio determinante para el tratamiento de los quistes complejos.
Bosniak I. Se trata de un quiste simple definida como una lesión de forma redondeada u oval, delineado por el parénquima renal circundante, con pared lisa y delgada y contenido homogéneo de densidad de agua 0-20 UH, sin realce tras la administración de contraste endovenoso. Correlación histológica benigna 6-7 (Fig. 5).
Bosniak II. Son quistes mínimamente complicados que presentan algunos tabiques finos, delgados o con engrosamiento muy sutil de la pared, pared lisa, alguna mínima calcificación. Correlación histológica benigna 6-7 (Fig. 6).
Bosniak IIF. Surge de lesiones que fueron categorizadas como Bosniak III y sus resultados histológicos concluían que eran quistes complejos benignos, presentan tabiques con mínimo grosor, pared lisa sin realce al medio de contraste 6-7 (Fig. 7).
Bosniak III. Son quistes con septos y paredes más gruesas e irregulares, con realce al medio de contraste. Estas características fueron encontradas en hallazgos histopatológicos benignos y malignos, por lo que se optaba por la realización de la biopsia y el procedimiento quirúrgico, según fuese el resultado 6-7 (Fig. 8).
Bosniak IV. Presenta lesiones claramente malignas, con paredes y tabiques engrosados, realce post contraste y componente sólido 6-7 (Fig. 9).
4. Carcioname de células renales
Teniendo en cuenta que el CCR es la neoplasia renal más común (90%), el presente análisis se basa en varios estudios en los que se logró una correlación tomográfica e histopatológica con sus diferentes subtipos. Cabe aclarar que el diagnóstico definitivo debe concluir o complementarse con la técnica histológica.
Dentro de los diferentes subtipos se mencionarán el carcinoma de células claras, el papilar, el cromófobo, el multilocular quístico, y otros que se presentan con menor frecuencia, como el carcinoma de conductos colectores, el renal medular y mucinoso tubular.
Subtipo células claras
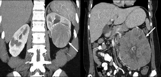
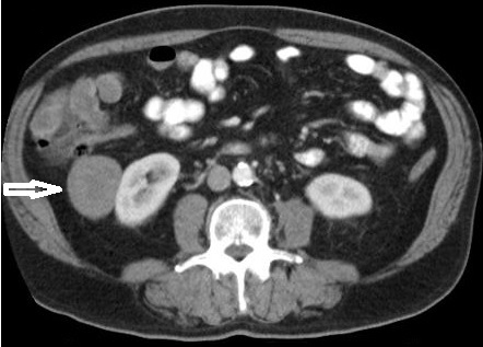
Representa el subtipo más común (70%), se origina a partir de la corteza renal y tiene un componente expansivo. Este tumor tiene un alto contenido de lípidos con áreas de necrosis y focos hemorrágicos, por lo que su característica principal es la heterogeneidad (9); gracias a su amplia red de capilares y vasculatura, con el medio de contraste el realce es evidente en la fase corticomedular de 149 +/- 46 UH, y en la fase excretora con 95 +/- 17 UH aproximadamente 8.
Una vez detectado el tumor se debe proceder a ubicar la extensión del mismo, correlacionándose en un 45% con extensión a la vena renal y metástasis a pulmón, hígado y hueso (2). La tasa de supervivencia a 5 años es del 50% 10 (Fig. 10, Fig. 11).
Subtipo papilar
Segundo subtipo más común (10 a 15%), histológicamente la afectación maligna se da a nivel de los túbulos y papilas renales; se identifican, a su vez, dos subtipos: el I, cubierto por células pequeñas con escaso citoplasma, y el II, que presenta papilas con núcleos pseudoestratificado y abundante citoplasma con mayor agresividad 10.
Se presenta como una lesión más homogénea, hipovascular, con realce tenue de hasta 91 +/- 12 UH en la fase corticomedular y 71 +/- 10 UH en la fase excretora; en los tumores de mayor tamaño pueden observarse aéreas de necrosis y hemorrágicas por lo que será más heterogéneo 8-9-10.
La tasa de supervivencia a 5 años es del 80 a 90%, por lo que se considera menos agresivo y de crecimiento lento en comparación con el de células claras 10 (Fig. 12, Fig. 13).
Subtipo cromófobo
Subtipo poco común (5%) que en la muestra histológica se describe como una muestra de coloración marrón, homogénea, con células poligonales y abundante citoplasma asociado a una membrana celular reticulada prominente 10. En la TCMC se muestra como una lesión relativamente homogénea, bien definida, excepto en los casos en que contienen áreas de necrosis (son raros) y su característica principal es la presentación de una cicatriz central en forma de estrella o rueda, aunque no patognomónica ya que puede encontrarse en los oncocitomas. Su realce tenue post contraste y en fase corticomedular se correlaciona con densidades hounsfield 90 +/- 14 UH y en la fase excretora 67 +/- 6910-11. La tasa de supervivencia a 5 años se estima en un 80 a 90% y su alta incidencia se da en la sexta década, se correlaciona con poca agresividad 10 (Fig. 14).
Otros subtipos
De conductos colectores: es altamente agresivo, representa menos del 1% de todas las neoplasias malignas renales; la relación de hombre / mujer de 2:1; el rango de edad es de 13-83 años (edad media, 55 años); 1/3 de los pacientes tienen enfermedad metastásica en el momento de presentación, y menos de un tercio de los pacientes sobreviven más de 2 años después del diagnóstico 9-10.
Renal medular: es extremadamente raro, se encuentra casi siempre en pacientes jóvenes: el rango de edad normal es de entre 10 y 40 años (edad media, 22 años); la relación hombre-mujer es de 2:1 9-10.
Mucinoso tubular: está asociado con un pronóstico favorable; la relación hombre-mujer es de 1:4; la mayoría de los pacientes son asintomáticos; la edad media es de 53 años, con un rango de edad de rango de edad 17-82 años 9-10.
5. Estadificación
La importancia de la identificación y el uso de la TCMC como método de estudio para el CCR radican en poder planificar un mejor tratamiento del paciente. Para esto se utiliza a estadificación propuesta en 2009 por la Asociación Europea de Urología1 conocida como “estadificación TNM” donde T equivale al tamaño y ubicación del tumor, N a la afectación o diseminación linfática y M a las metástasis del mismo. En base a la TNM se establecen 4 estadios con su respectiva supervivencia a 5 años 1-11 (Tabla 1).
Sistema de clasificación TNM
T. Tumor primario
- TX: el tumor primario no puede ser evaluado.
- T0: no hay evidencia de un tumor primario.
- T1: tumor <7 cm en su mayor dimensión, limitado al riñón. T1a: tumor <4 cm en su mayor dimensión, limitado al riñón. T1b: tumor >4 cm pero <7 cm en su mayor dimensión.
- T2: tumor >7 cm en su mayor dimensión, limitado al riñón. T2a: tumor >7 cm pero <10 cm en su mayor dimensión. T2b: tumores >10 cm limitados al riñón.
- T3: el tumor se extiende a las venas principales o invade directamente la glándula suprarrenal o los tejidos perinéfricos, pero no la glándula suprarrenal ipsilateral y no más allá de la fascia de Gerota. T3a: el tumor se extiende en la vena renal o en sus ramas segmentarias (que contienen músculo) o el tumor invade la grasa peritoneal y/o del seno renal, pero no más allá de la fascia de Gerota. T3b: el tumor se extiende en la vena cava por debajo del diafragma. T3c: el tumor se extiende en la vena cava por encima del diafragma o invade la pared de la vena Cava.
- T4: el tumor invade más allá de la fascia de Gerota (incluyendo la extensión contigua en la glándula suprarrenal ipsilateral).
| Tabla 1. Agrupación en las etapas | ||||
| Categoría | T | N | M | Supervivencia |
| Estadío I | T1 | N0 | M0 | 96% |
| Estadío II | T2 | N0 | M0 | 85% |
| Estadío III | T3 | N0 | M0 | 64% |
| T1-T2-T3 | N1 | M0 | ||
| Estadío IV | T4 | Algún N | M0 | 23% |
| Algún T | N2 | M0 | ||
| Algún T | Algún N | M1 | ||
N. Nódulos linfáticos regionales
- NX: los ganglios linfáticos regionales no pueden ser evaluados.
- No: hay metástasis ganglionares regionales.
- N1: metástasis en un único ganglio linfático regional.
- N2: metástasis en más de 1 ganglio linfático regional.
M. Metástasis a distancia
- M: metástasis distante.
- M0: no hay metástasis a distancia.
- M1: metástasis distante.
Para tratar de detectar las metástasis por el CCR es importante tener en cuenta los sitios y la frecuencia en que se manifiestan:
- Pulmón (50% -60%)
- Huesos (30% -40%)
- Hígado (30% -40%)
- Glándula suprarrenal, riñón contralateral, retroperitoneo y cerebro (5% cada uno).
6. Conclusión
El carcinoma de células renales CCR continúa siendo la neoplasia maligna renal más frecuente. Se encuentra en forma incidental por lo que el radiólogo juega un papel muy importante para su determinación, quien debe apoyarse en el uso y protocolo tomográfico, que incluye la fase basal (sin contraste) y las fases post contraste con su determinado tiempo para una mejor caracterización e la lesión como lo son la fase corticomedular (arterial), nefrográfica (portal) y excretora (arterial tardía). La TCMC sigue siendo el mejor método para el estudio y estadificación TNM de las lesiones tumorales, con el objetivo de realizar un gran aporte al médico tratante.
El CCR se presenta como una lesión exofitica sólida vascularizada y, dependiendo de su tamaño y subtipo, se presenta con mayor o menor heterogeneidad. Se pueden llegar a identificar diversos ubtipos del CCR, como el de células claras, el papilar y cromófobo, entre otros, no sin antes sugerir para mejor beneficio del paciente la muestra histológica ya que existe variabilidad en la supervivencia a 5 años.
7. Bibliografía
- Ljungberg, B; Bensalah, K; Bex, A; Canfield, S; Dabestani, S; Hofmann, F; Hora Muczyk, MA; Lam, T; Volpe, A. Guidelines on renal cell carcinoma, European Association of Urology, 2014.
- Eble, JN; Sauter, G; Epstein, JI; Sesterhenn, IA. Pathology and Genetics of Tumours of the Urinary System and Male Genital Organs, IARC Lyon, 2004.
- Sheila, S; John, C; Horton, KM; Corl, FM; Fishman, EK. Current Concepts in the Diagnosis and Management of Renal Cell Carcinoma: Role of Multidetector CT and Three-dimensional CT. From the Department of Radiology, Johns Hopkins Hospital, 2001, vol. 21, october.
- Tsili, AC; Argyropoulou, MI. Advances of multidetector computed tomography in the characterization and staging of renal cell carcinoma. From Department of Radiology Medical School, University of Ioannina, 2015, june 28.
- Szolar, DH; Kammerhuber, F; Altziebler, S; Tillich, M; Breinl, E; Fotter, R; Schreyer HH. Multiphasic helical CT of the kidney: increased conspicuity for detection and characterization of small (< 3-cm) renal masses, Department of Radiology, Karl-Franzens Medical School and University Hospital, Graz, Austria, 1997, vol. 202, january.
- Bosniak, MA. The Current Radiological Approach to Renal Cysts1. From the Department of Radiology, New York University Medical Center, New York, 1986, vol. 158, january.
- Bosniak MA. The Bosniak Renal Cyst Classification: 25 Years Later1; From the Department of Radiology; NYU-Langone Medical Center; 2012 vol. 262, march.
- Kon Kim, J; Kyoung Kim, T; Jong Ahn, H; Soo Kim, C; Kim, K; Cho, K. Differentiation of Subtypes of Renal Cell Carcinoma on Helical CT Scans. 2002, vol. 178, june.
- Srinivasa, R; Humphrey, P; Catena, J; Narra, V; Srigley, J; Cortez, A; Dalrymple, N; Chintapalli, K. Common and Uncommon Histologic Subtypes of Renal Cell Carcinoma: Imaging Spectrum with Pathologic Correlation. 2006, vol. 26, november-december.
- Low, G; Huang, G; Fu1, W; Moloo, Z; Girgis, S. Review of renal cell carcinoma and its common subtypes in radiology. 2016, may 28.
- Tsili, A; Argyropoulou, M. Advances of multidetector computed tomography in the characterization and staging of renal cell carcinoma. 2015 jun 28.













